没想到一块鸭骨头差点要了我的命……」陈先生提到这事仍心有余悸。原来,陈先生吃饭时误吞鸭骨头 4 天后鸭骨头引起食管穿孔,出现细菌感染,厦门大学附属翔安医院消化内科为他取出要命的鸭骨头。化险为夷,也避免了开胸手术
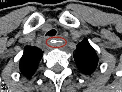
近日,误食鸭骨头 4 天的陈先生因为低烧和吞咽疼痛来到厦门大学附属翔安医院就诊。接诊医生为他安排了食管 CT 检查,CT 显示在食管入口下方卡着一个尖锐且巨大的异物,周围出现积液和气体。

消化内科曾伟副主任医师了解了患者情况后,详细询问病史,仔细查阅 CT 片,发现一根两端带尖角的异物卡在颈部食管,异物大小约 3.5 cm,且已经穿通食管,周围出现细菌感染,形成脓腔。

颈部神经和血管丰富,如果不取出异物,穿孔及感染会进一步加重,容易出现无法控制的感染,或将危及患者性命。且异物穿透食管易伤及大动脉,一旦被刺破,就会导致大出血,抢救不及时,患者几分钟就会死亡,情况异常凶险。
曾伟副主任医师立即联系麻醉手术科及胸外科等相关科室,共同探讨最佳治疗方案,积极商讨后,决定先为陈先生实施急诊内镜下食管异物取出术,如取出失败,再行开胸取出异物。
一系列充分准备后,麻醉手术科张立伟副主任医师为陈先生进行静脉复合麻醉并全程监护,在内镜中心李忍护师的协助下,曾伟副主任医师开始胃镜操作。
胃镜下看到鸭骨头嵌顿食管,两端刺穿食管,白色脓性物流出,由于鸭骨头比较大,表面光滑,两端尖锐,穿透了食管壁,取出有相当大的难度。
曾伟副主任医师胆大心细,交替使用异物钳等各种器械反复夹取、套取,经过不懈努力,终于将鸭骨头取出。当异物顺利被取出那一刻,所有人都松了一口气。

得知鸭骨头被成功取出、避免了开胸手术,患者家属激动得拉着医护人员的手臂连声道谢。
曾伟副主任医师提醒市民,一旦发生误吞异物,应及时就医。食管异物在临床上比较常见,随意使用吞饭、吞菜、喝醋等「土方法」可能造成食管壁损伤、穿孔,导致细菌感染,加重病情,未及时就诊自行随意处置,因二次损伤导致病情加重甚至患者死亡的病例并不少见。
内镜下消化道异物取出术是利用胃镜或肠镜将消化道内的异物取出的治疗方法,具有微创、时间短、恢复快等优点,是消化道异物取出的最佳选择!
好文章,需要你的鼓励