这是一场生命线上的「极限操作」:短时间内通过两次特大型手术,先后排除 2 颗人体大血管「定时炸弹」:近 1 米长的人体大血管全部替换、手术切口累计 98 cm、手术时长累计达 20 个小时、吻合口多达 14 个、心血管外科领域的尖端技术悉数登场……
这是一场生命线上的「极限操作」:短时间内通过两次特大型手术,先后排除 2 颗人体大血管「定时炸弹」:近 1 米长的人体大血管全部替换、手术切口累计 98 cm、手术时长累计达 20 个小时、吻合口多达 14 个、心血管外科领域的尖端技术悉数登场……
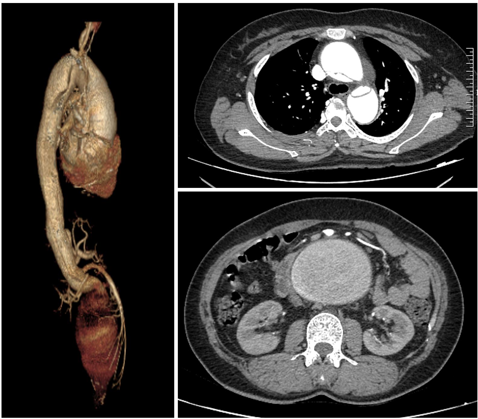
近日,同时罹患两大致命疾病——心脏 A 型主动脉夹层和巨大腹主动脉瘤的患者张英(化名),在武汉大学人民医院(湖北省人民医院)成功接受从主动脉瓣到髂动脉、近 1 米长的主动脉全程替换手术。9 月 27 日,张英康复出院,踏上回家路。
46 岁的张英是湖北麻城一名农妇。今年 7 月的一天,胸腹部一阵撕裂样的剧烈疼痛突然袭来,张英顿时无法动弹,家人见状赶忙将她送往当地医院。
检查结果犹如晴天霹雳!CT 显示,张英同时罹患两大致命疾病:A 型心脏主动脉夹层和巨大腹主动脉瘤。

作为血管的「主管道」,人体主动脉承受着最大压力的血流。高速、高压的血液常年冲击主动脉内膜壁,导致极少部分人的血管内膜被撕裂。血液经内膜破口涌入内膜与中膜之间,撕出一个可容纳血流的新腔隙,形成「夹层」,并向心脏和下肢扩展,最终累及全部主动脉,这就是 A 型主动脉夹层。心脏主动脉夹层一旦破裂「决堤」,即便是在手术台上,也根本来不及抢救。
此外,张英体内还藏着另一颗随时可能引爆的「炸弹」:直径长达 9.3 厘米的巨大腹主动脉瘤。一般情况下,直径超过 5 厘米,破裂风险就很高了;而腹主动脉瘤一旦破裂,也同样没有抢救机会。
由于病情异常复杂,治疗颇为棘手,张英辗转省内多家大医院,都没有人愿意接受这颗「烫手山芋」。最终,张英慕名找到了以治疗心脏大血管疾病闻名国内的武汉大学人民医院(湖北省人民医院)心血管外科主任王志维教授。
王志维教授介绍,张英的病情极为罕见。同时罹患两大致命性大血管疾病,可能与其血管质量先天性不高有密切关系。
尽管 A 型主动脉夹层是创伤最大的手术,被公认为是外科手术的「皇冠」,但在武汉大学人民医院心血管外科,这已经是常规操作:先手术替换升主动脉和主动脉弓,同时在降主动脉处植入支架,而降主动脉以下的病变会留待若干年后二期手术处理。但张英还合并有巨大腹主动脉瘤,破裂风险极高,她的腹主动脉段病变根本不可能留到将来再处理。
要想拯救生命,尽快根治这两大致命疾病,唯一的办法就是将 1 米长的人体主动脉血管全程替换为人工血管。然而,主动脉与心脏连接,经由胸部、腹部,终止于双髂动脉,这项手术将涉及人体所有的重要器官:心脏、脑、脊髓、肺、肝、肾和胃肠的血管和神经保护,手术时间长、创伤大、出血多,术后并发症和死亡率高,是国际主动脉外科领域最复杂的手术。
习惯于挑战常规、勇于创新的王志维教授,决定为了患者的生命,再度冒险。心血管外科团队精心筹划,制定了缜密的救治计划。拟定的手术分两次进行:第一次手术正中开胸替换主动脉瓣、升主动脉、主动脉弓,并在降主动脉植入象鼻支架;第二次手术,从右胸经腹部到左侧大腿根部开超长切口,替换胸降主动脉、腹主动脉,重建脊髓、双肾、肝脏、肠道、双下肢血流。

为确保手术安全,麻醉科主任夏中元教授,心外科体外循环组张敏博士、戴飞锋博士组成的生命支持和体外循环团队精心为其全程保驾护航。王志维教授、胡知朋副教授、闵心平博士、李博文博士组成的手术团队实施本次超大型手术。
7 月底,张英进行了第一次手术。术中,在体外循环技术的配合下,张英的心脏停止跳动,全身各大重要器官的血液供应,由体外循环机负担。在夏中元教授的精心麻醉下,王志维教授团队从患者胸部正中切开长约 23 厘米的切口,争分夺秒切除病变的主动脉瓣和升主动脉,替换为 10 余厘米长的人造血管,并重建冠状动脉。
然后,在医护人员的精心操作下,张英全身血液被深度降温至 25°。这一温度下可以延长器官耐受缺血的时间,最大可能减轻器官受到缺血缺氧导致的不可逆损伤。在全身停循环的状态下,王志维教授团队成功完成了主动脉弓的替换和降主动脉支架的植入。
第一期手术完全达到了预期目的,风险最大的第一颗「定时炸弹」,已被成功拆除。经过 42 天的康复治疗,9 月 8 日张英迎来了自己的第二次手术。这次手术仍然在麻醉科主任夏中元教授保驾护航下进行。
手术台上,王志维教授团队从患者右胸经腹部到左侧大腿根部,切开长约 75 厘米的超长切口,同时经股动脉插管,将主动脉切开后流出的血液快速回输体内。随后阻断降主动脉,用近 90 厘米长的人造血管,整体替换降主动脉及腹主动脉,再将切口逐一缝合,确保下肢、脊髓、肝脏、肾脏、肠道等生命通道的供血。第二颗「定时炸弹」,也被医护团队安全拆除。
人体血管是一个整体。将两根人工血管顺利对接,是手术团队面临的最后一道关卡。在医生的精妙缝合下,两次手术的人造血管顺利「合龙」。累计历时 20 个小时手术后,张英体内从主动脉瓣到髂动脉的主动脉,完全被替换为了人造血管,解除了主动脉破裂的生命危机。
术后,在心血管外科护士长蔡馨带领的重症监护团队精心护理下,张英成功度过了出血关、感染关,手术后没有出现中枢神经系统损害、肾功能衰竭及截瘫等并发症。
在快速康复外科理念支持下,第二次术后 3 天,张英就下床活动了。如今她的伤口已愈合,近 1 米的人造血管在她体内正常运作。9 月 27 日,张英康复出院,「虽然体内的主动脉全是人造血管,但我丝毫没有感到异常。我现在只想赶紧回家,和家人团聚。」


经查询,这一创造生命奇迹的手术方式,目前国际上还未见相关报道。
好文章,需要你的鼓励