本应在术后 3 个月取出的输尿管支架管,因患者疏忽,在体内「超期服役」8 个月。经检查发现,支架管表面已被结石完全覆盖,取出难度较大。面对挑战,湖北省第三人民医院阳逻院区泌尿外科团队迎难而上,凭借精细操作,成功完成碎石并完整取出支架。
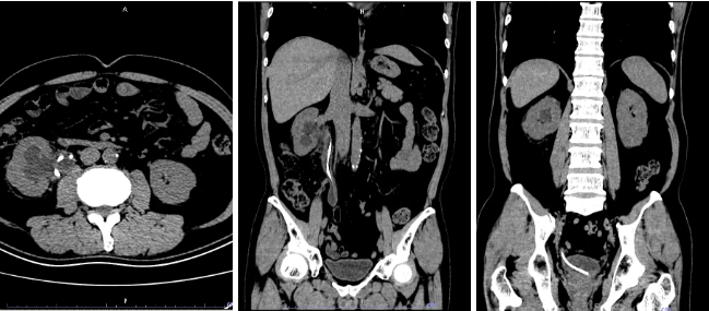
今年 4 月,患者胡先生(50 岁)在该院接受泌尿系微创手术后,置入了一根输尿管支架管,医嘱要求 3 个月后复诊拔除。然而,因个人原因,胡先生直到 8 个月后才因腰部持续不适到医院就诊。影像检查显示:支架管全程(上段、中段、下段)均被大小不一的结石包裹,管壁与结石紧密粘连,拔除难度较高。

泌尿外科主治医师李国栋与患者充分沟通病情,告知支架长期滞留可能引发输尿管穿孔等严重并发症,建议在全麻下行经尿道输尿管支架取出术。针对这一复杂病例,副主任医师占必兴与李国栋医师制定了「分步碎石+精准拔管」的个性化方案:借助钬激光碎石设备,先将膀胱内包裹支架的结石击碎,与支架管完全分离,再通过输尿管镜将输尿管全程及肾盂内包裹支架管的结石碎开,彻底「解放」出支架管,最后在直视下轻柔完成拔管操作。
12 月 16 日,手术顺利开展,整个过程如同「精准拆弹」,操作团队全程高度专注:激光光纤既要精准击碎结石,又要严格控制能量,避免损伤正常膀胱、输尿管组织及支架管本身——一旦支架管断裂,将导致取出难度进一步升级。经过近 2 小时的精细操作,团队成功将全程结石与支架管完全分离,并完整拔出这根「长满结石的支架管」。


「支架管留置时长需严格遵循医嘱,通常为 1-3 个月,具体需结合患者病情调整。」占必兴主任强调,植入支架后,患者务必按时返院复查,由医生评估后及时更换或取出,切勿拖延,让「帮手」变「负担」。规范管理,才能让小小支架真正成为守护泌尿健康的「安全通道」。
好文章,需要你的鼓励