癌症发生转移,生命就开始倒计时?
明明是一个器官发生癌变,为什么其他器官或组织也跟着「叛变了」?
癌症发生转移,生命就开始倒计时?
如果看完这篇文章,你还这么认为,那就是小编该打。
我们先来听听医学界流传的一个说法。
传说,死亡的癌症患者中,有 1/3 是被吓死的,有 1/3 因用药过度无法耐受而死,还有 1/3 因治疗无效而死。
其实癌症并非不治之症,癌细胞转移也没有那么可怕,61 岁的王爷爷刚经历了一次癌细胞转移 。
3 年前,他被确诊为肾癌,治疗效果良好,日常生活并无大碍。可近一个月来,王爷爷经常出现右肩胛间区疼痛,他以为得了颈椎病,但治疗后,症状时轻时重。岂料一觉醒来,症状突然加重,疼痛剧烈,立即到医院就诊。
颈椎磁共振检查结果让王爷爷和家人大吃一惊。


心脏后面,胸椎第二节椎骨上长了个瘤子,瘤子很大,占椎管的 90%,已经压迫脊髓和神经。
最终王爷爷被诊断为左肾肾癌并发骨转移,医生建议到上级医院治疗。
王爷爷一家人万念俱灰,本想着这几年肾癌控制的还可以,却没想到已转移到脊柱。
肺癌、肝癌、乳腺癌、甲状腺癌、前列腺癌等常见癌症容易转移到骨骼系统。
根据国内外文献统计,高达 70% 的癌症患者可发生骨骼相关事件,很多患者认为这意味着癌症到了晚期,再进行治疗已经没有多大意义。这种想法是非常错误的。
看着王爷爷每日疼痛难忍,日渐消瘦,子女暗下决心无论如何都要解决父亲的病痛。
经过多方打听,儿女带着他找到郑州大学附属郑州中心医院。神经脊柱外科主任孙国绍查阅王爷爷病历资料,询问病史并进行详细的体格检查,最终确诊为肾癌胸 2 椎体转移病变组织突向后方椎管导致脊髓受压。
现在的王爷爷体质良好但常常痛得夜不能寐,下肢也出现瘫痪,不能抬起。
癌转骨痛有哪些危害?
1、当疼痛来袭时常会食欲不佳、食量减少,这会影响到患者营养状况,加重身体消耗;
2、严重的疼痛还会影响到多种激素分泌,出现血压升高,心动过速或心律失常;
3、癌转骨痛会加重糖尿病患者血糖不稳定,胸腹部疼痛会影响到呼吸功能;
4、长期吃不好、睡不着会导致身体抵抗力下降,而肿瘤细胞一般在人体抵抗力较差时发展最迅速;
5、脊柱转移性肿瘤如不积极治疗任其发展,极易造成瘫痪;
6、如果一些预后较好的肿瘤较为局限,如乳腺癌、前列腺癌,完全可以进行全脊椎整块切除,这样患者可以实现无瘤状态,像正常人一样生活。
疼痛原因找到了,下一步如何解决疼痛进行治疗呢?
经郑州大学附属郑州中心医院脊柱转移癌专家团队会诊,决定为王爷爷进行手术+放疗等综合治疗。
手术在全麻下进行两小时取得圆满成功,手术当天王爷爷疼痛就消失了,下肢瘫痪也明显改善。
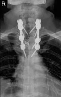
术后


现在王爷爷不仅不痛了,还能正常行走。
孙国绍介绍,在骨转移癌中,脊柱转移癌是最为常见的一种。

75% 的脊柱转移癌患者继发于乳腺癌、肺癌、肾癌、前列腺癌、甲状腺癌等常见恶性肿瘤。
脊柱肿瘤引起截瘫的患者需要考虑尽快手术治疗,否则将造成脊髓损伤向不可逆发展,丧失最佳治疗时机。
当肿瘤发生脊柱骨转移时并不需要悲观面对,寻找合适解决方案,手术治疗,可无痛延续生命。
好文章,需要你的鼓励