70 岁的李阿婆(化名)怎么也没想到,原本 为了预防血栓风险 置入的下腔静脉滤器,三个月后想取出时却遭遇了难题——滤器出现严重倾斜,因操作难度大,阿婆和家属找到了北京积水潭医院郑州医院(郑州市中心医院),最终在北京积水潭医院血管外科专家、我院副院长田轩团队的精心施治下,这枚「卡壳」的滤器被顺利取出。
求医困境:
滤器倾斜难取出
三个月前,李阿婆因下肢深静脉血栓形成,在当地医院接受了下腔静脉滤器置入术,这枚滤器如同血管内的「防护网」,能有效拦截脱落的大块血栓,降低肺动脉栓塞的风险。
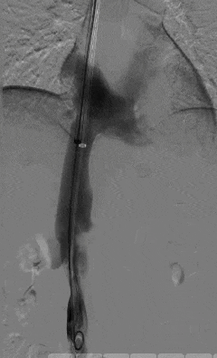
三个月后,滤器完成临时防护使命,阿婆按计划回到当地医院准备取出,可检查结果却让所有人犯了难——影像显示,滤器出现严重倾斜,大大增加了介入取出的操作难度,稍有不慎便可能造成血管损伤。

滤器作为体内异物,长期留置可能引发移位、血栓加重、下腔静脉阻塞等多种并发症。

北京积水潭医院血管外科专家、郑州医院副院长田轩得知阿婆的就诊经历和身体情况后,第一时间为其专业评估,仔细查看影像资料,明确滤器倾斜的具体程度和位置,并告知阿婆及家属,可通过介入手段尝试取出,让阿婆悬着的心终于放了下来。
随后,医院快速为阿婆安排住院,医疗团队结合其个体情况制定详细术前方案,逐一完善各项准备,从器械筹备到风险防控,每一个环节都认真准备,筑牢手术安全基础。
精准施治:
顺利取出「卡壳」滤器

一切准备就绪后,田轩带领介入诊疗团队为阿婆实施下腔静脉滤器取出术。

术中,团队在影像设备的精准引导下,娴熟操作介入器械,精准定位倾斜的滤器,避开血管周边组织,逐步完成滤器的调整、抓取与取出操作。



整个手术过程十分顺利,未出现任何血管损伤等意外情况,这枚让阿婆和家属忧心许久的「困难」滤器被成功取出,术后阿婆生命体征平稳,身体状况良好。
血栓拦截网
下腔静脉滤器 是临床预防下肢深静脉血栓或肺动脉栓塞的常用介入装置,通常被放置在肾静脉下方的下腔静脉内,如同血管内的「血栓拦截网」,

它能有效阻挡脱落的大块血栓随血液流动引发致命的肺动脉栓塞,为血栓患者的治疗保驾护航。
但需注意,滤器属于体内异物,并非永久性植入装置,长期留置可能引发多种并发症,因此滤器取出术成为必要的后续操作。
结合临床诊疗经验,关于下腔静脉滤器的使用与取出,有三点建议需谨记:
一是
滤器选择
临床中应尽量选用可回收滤器,严格遵循 「短期使用、及时取出」 原则,减少长期留置风险;
二是
把握取出时间窗
多数可回收滤器 建议在置入后 2-4 周内取出,超出 3 个月易出现倾斜、移位等情况,降低取出成功率;
三是
选择专业诊疗团队
滤器取出术对操作经验要求较高,专业医生能有效降低操作风险,尤其针对困难滤器取出,需主刀医生具备应对突发状况的能力,为手术安全增添保障。
好文章,需要你的鼓励