中年女性,咀嚼、说话时情况下左侧下颌区间隙性疼痛不适 4 年余,冬天时明显;头部及颈肩部不适数年,无外伤手术史。临床初步诊断:三叉神经病变待查、颈椎病,于本院行颅脑磁共振平扫+增强+血管成像,颈椎磁共振平扫检查。






MRI 影像所见:
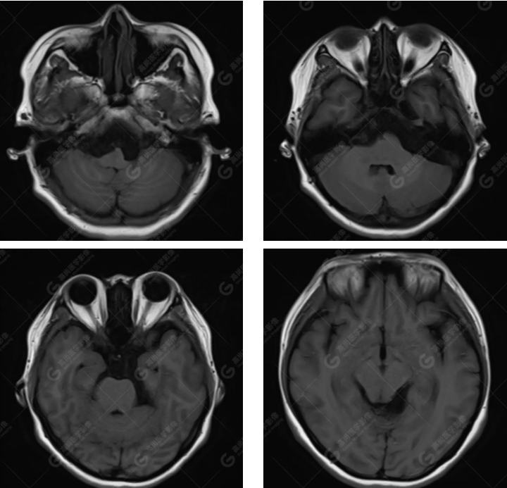
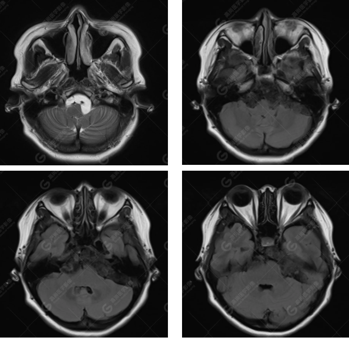
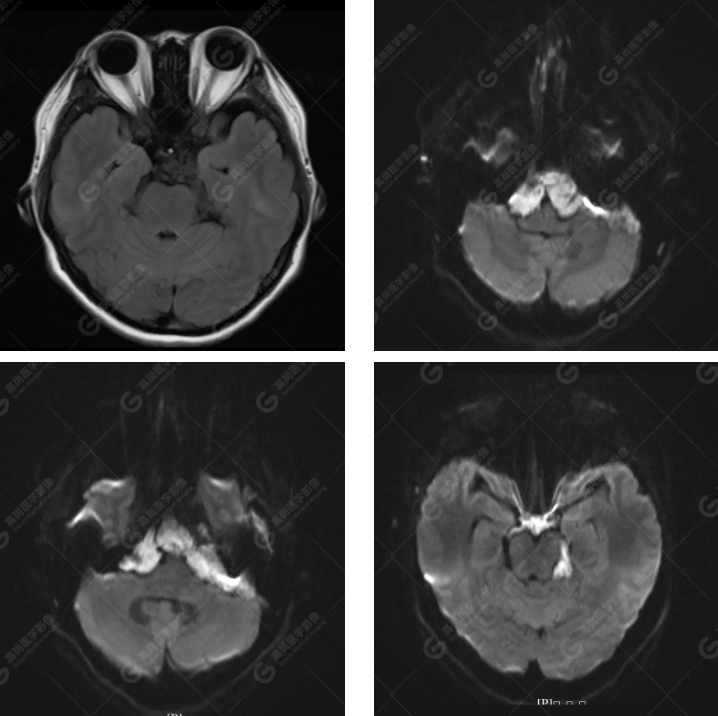
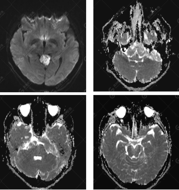
延髓池、桥前池、双侧桥小脑角区、鞍上池至左侧小脑幕下见团片状异常信号影,呈长 T1 长 T2 信号,FLAIR 序列呈不均匀稍低信号,DWI 序列呈高信号,ADC 图低信号,增强后无强化。右侧面听神经受压向后移位,双侧三叉神经及左侧面听神经被包埋,显示不清。
初步考虑:
延髓池、桥前池、双侧桥小脑角区、鞍上池至左侧小脑幕下胆脂瘤,右侧面听神经受压向后移位,双侧三叉神经及左侧面听神经被包埋
病理:
胆脂瘤
颅内表皮样囊肿
先天性缓慢生长的良性病变
颅内表皮样囊肿 (epidermoid cyst,EC) 是先天性缓慢生长的良性病变,又称「胆脂瘤」或「珍珠瘤」,为神经管封闭时皮肤外胚层剩件残留导致的外胚层包涵物;占原发性颅内肿瘤和肿瘤样病变的 0.2%-1.8%;90% 的病变位于脑外硬膜下,多远离中线区或位于中线旁,好发于桥小脑角区、基底池、鞍旁区和脑室内,少数位于脑实质内或硬膜外。
肿瘤内容物主要是角化蛋白、脂肪酸、胆固醇结晶及坏死细胞碎屑。
临床表现
会影响到相应的颅神经,导致视力下降,耳鸣、听力下降,面部麻木,面部抽搐、疼痛、吞咽困难、声音嘶哑等症状;如果胆脂瘤长到比较大的时候,会压迫脑干,造成一侧肢体的麻木,疼痛,肢体无力、活动不利等症状,也会造成癫痫,行走不稳,脑积水,导致头痛、呕吐等颅内高压的症状。
影像表现
CT
CT 表现为形态不规则的低密度病变,密度低于或近似于脑脊液, 也可为负值,可达-10 Hu, 边界清楚光滑,增强时常不强化,极个别周边可轻微强化,包膜上有时可见散在钙化点。
MRI
MRI 表现为 T1WI 呈略高于脑脊液的低信号,T2WI 呈均匀高信号,信号接近于脑脊液,T2-FLAIR 序列上病灶信号未完全被抑制高于脑脊液,DWI 高信号,ADC 低信号(具一定特征性)。
鉴别诊断
颅内胆脂瘤主要应与蛛网膜囊肿、皮样囊肿、颅咽管瘤、脑膜瘤、三叉神经瘤作鉴别 [1]。
1、蛛网膜囊肿:缺乏沿脑裂隙和脑池生长的特点,CT 表现为呈圆形或椭圆形的囊性低密度区, 不发生钙化和强化,MRI 的信号强度与脑脊液变化同步, 任何序列均与脑脊液信号一致, 不随扫描时间参数 TE 的延长而增强。
2、皮样囊肿:较表皮样囊肿少见,约为 1∶4 ,其钙化较表皮样囊肿多见,皮样囊肿常含有更多的脂肪组织 [2,3] , 多呈圆形,边缘锐利,好发于鞍旁、前颅窝底及后颅窝,MRI 检查示其信号特点复杂多样,常在 T1WI 上呈高信号,T2WI 亦为高信号,但信号强度较低,应用脂肪抑制技术,可见高信号消失,显示囊壁厚薄不均,可伴钙化。
3、颅咽管瘤:好发于鞍区, 肿瘤形态以结节状、分叶状为主,肿瘤有包膜,边界清 楚;可伴蛋壳样钙化,肿瘤信号复杂,占位效应明显,Gd - DTPA 增强扫描后,肿瘤实性部分明显不均匀强化,囊性部分弧形或环状强化。
4、脑膜瘤:CT 表现为境界清楚,密度较均匀,可有周围脑水肿且常导致局部颅骨破坏或增生,脑膜瘤经注射对比剂后可见肿瘤密度明显增强并可见脑膜尾征。
临床治疗
手术是治疗的主要手段,手术切除肿瘤以保护颅神经功能为前提,应避免囊内透明角质物外溢而造成无菌性脑膜炎。术后常见复发。
主要参考文献:
[1] 任翠萍, 程敬亮, 周振木, 等. 颅内先天性表皮样囊肿的 MRI 诊断 [J]. 河南医科大学学报,1997,32(2):87-89.
[2]Wesenko JJ,Rosenbloom SA,Estes M, et al.Magnetic resonance ofintracranial epidermoids[J].Eur J Radiol,1991,13:103.
[3]Abramson RC,Morawetz RB,S chlitt M. Multiple complicationsfrom an intracranial epidermoid cyst : case report and literature review[J]. Neurosurgery,1989,24:574.
好文章,需要你的鼓励