患者:男性,84 岁。
左足跟部黑色肿瘤半年余,未行活检;
肿瘤标志物未查;
既往梅毒病史;
否认结核、肝炎、高血压、糖尿病。





PET/CT 示:
左侧足根部内侧皮肤处见一结节状放射性摄取异常增高影,大小约 1.5 cm×1.0×1.2 cm,SUV 最大值为 7.4,CT 于上述部位见软组织增厚突起影,边界清晰,密度尚均匀,CT 值约 20 Hu,呈宽基底与皮肤相贴。
PET/CT 结论:
左侧足根部内侧皮肤结节状高代谢病灶,考虑为恶性肿瘤(拟黑色素瘤),请结合病理学;其余区域未见明显高代谢相关转移征象。
病理结果:
符合恶性黑色素瘤。
患者:男性,67 岁。
左上腹部黑色小肉瘤,逐渐长大,近期明显增大;
肿瘤标志物未查;
小腿外伤骨折史,20 年前曾患乙肝;
否认结核、高血压、糖尿病。





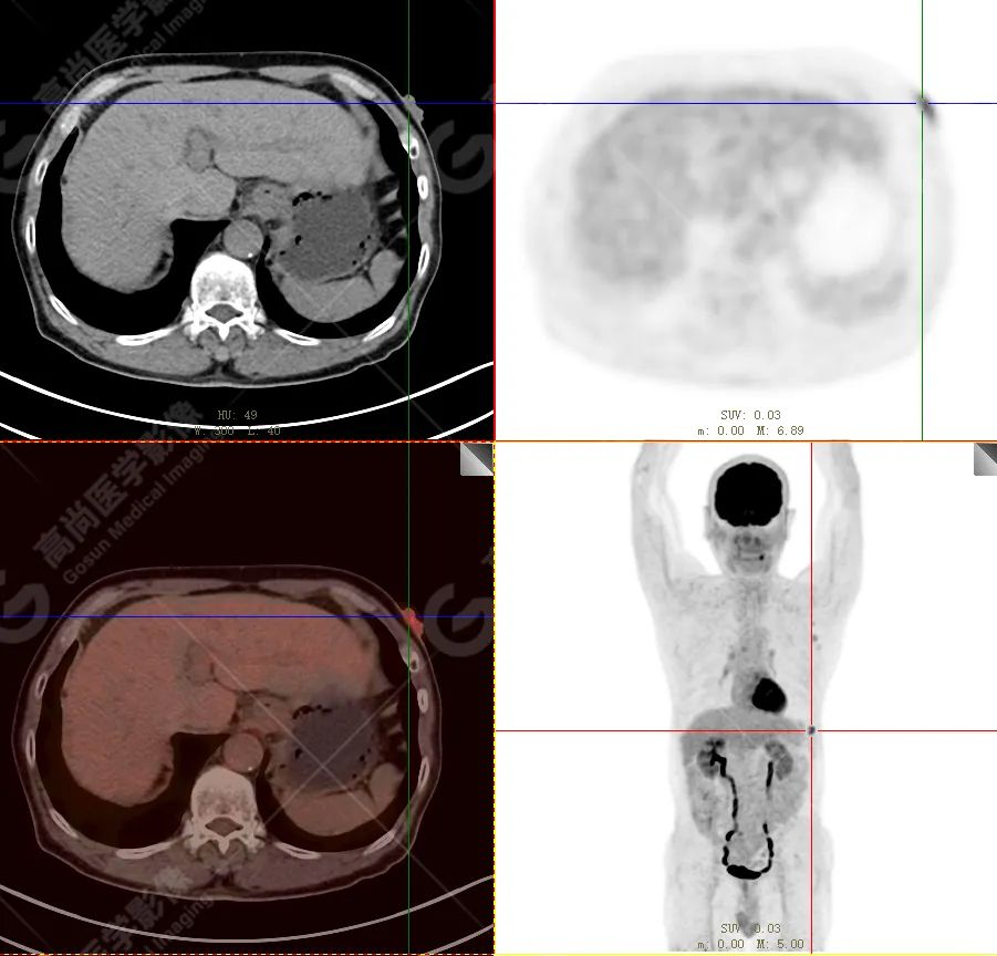
PET/CT 示:
左下胸壁(约左侧第 8 前肋水平)皮肤见一小片状放射性摄取轻度增高影,范围约 0.8 cm×2.2 cm×1.6 cm,SUV 最大值为 3.9,CT 于上述部位见异常软组织密度影,边界尚清,密度尚均匀,CT 值约 40.0 Hu,局部突出体表。
PET/CT 结论:
左下胸壁(约左侧第 8 前肋水平)皮肤小片状代谢轻度增高灶,结合病史,考虑为恶性肿瘤(黑色素瘤)。
病理结果:
符合黑色素瘤(结节型)。

病例三
患者:男性,67 岁。
上腭部粘膜下黑色肿物半年,突出于黏膜表面,呈黑色,自觉范围增大,现未行活检;
肿瘤标志物未查;
否认结核、肝炎、高血压、糖尿病。







PET/CT 示:
上腭前部见一结节状放射性摄取增高影,大小约 1.6 cm×1.4 cm×1.0 cm,SUV 最大值为 10.5,CT 于上述部位见软组织密度影,边界不清,CT 值约 73 Hu(假牙金属伪影较多致 CT 值偏高)。右侧颈部(Ⅱ、Ⅲ区)及左侧颈部(Ⅰb、Ⅱ、Ⅲ区)见多发结节状及块状放射性摄取增高影,最大约 2.7 cm×2.6 cm×3.1 cm,部分放射性摄取增高,SUV 最大值为 17.7,部分病变内见放射性减低区,CT 于上述部位见增大淋巴结影。
PET/CT 结论:
1. 上腭前部结节状高代谢病灶,多考虑为恶性肿瘤(结合病史,较倾向于黑色素瘤),请结合病理学检查。
2. 右侧颈部(Ⅱ、Ⅲ区)及左侧颈部(Ⅰb、Ⅱ、Ⅲ区)多发淋巴结转移。
病理结果:
恶性黑色素瘤。
恶性黑色素瘤
概 述
恶性黑色素瘤是一种高度恶性的黑色素细胞肿瘤,多见于皮肤,也可见于皮肤以外的粘膜、呼吸道、消化道、心脏、生殖系统及眼脉络膜和软脑膜等处。易发生转移,复发率高,预后差,多见于中、老年人,年龄越大,发病率越高,男性多于女性。
病因及高危因素
发病因素包括遗传、环境、外伤等因素,目前认为长时间紫外线过度照射是诱发黑色素瘤的重要因素。
具有下列危险因素者,罹患黑色素瘤风险增加:肤色白皙、晒伤史、过多紫外线暴露、多发痣或发育不良痣、黑色素瘤家族史、免疫系统衰弱、某些疾病或药物等。
临床表现
90% 以上黑色素瘤原发于皮肤,常见部位包括足底指 (趾) 间、下肢和躯干皮肤和甲床等,50% 皮肤黑色素瘤起源于良性痣,表现为痣或色素斑增大、隆起、边缘不规则、颜色改变、局部形成水疱、瘙痒、刺痛等症状和体征。部分患者表现为新发皮肤肿物或外伤后伤口迁延不愈伴黑斑形成,晚期肿瘤破溃、出血。
80% 的皮肤黑色素瘤先发生区域淋巴结转移,再继发远处转移,常见转移部位包括远处淋巴结、皮肤、皮下组织、肺、肝、脑、骨等。
非皮肤来源性黑色素瘤的原发部位包括眼睛睫状体、虹膜、脉络膜、鼻腔、呼吸道、消化道、生殖系统黏膜和脑膜等。非皮肤来源黑色素瘤表现为原发部位肿物,易血行播散,预后差。临床表现特异性相对较差,主要与发病部位、肿瘤的大小以及生长位置有关,因此临床表现多样,不同时期具有不同的临床表现,如脉络膜黑色素瘤患者,可出现视力下降、视野缺损、视物变性、眼痛。
诊 断
● 皮肤痣若出现如下改变应警惕黑色素瘤:
①形状不规则,表面隆起;
②边缘呈锯齿状,边界不清;
③颜色异常改变;
④直径>6 mm;
⑤病变增大或出现溃疡、瘙痒等变化。
皮肤外恶性黑色素瘤诊断,目前主要依靠影像学及病理学。
通常初次筛查建议包括区域淋巴结超声、胸部 CT、腹盆部超声、增强 CT 或 MRI、全身骨扫描、头颅增强 CT 或增强 MRI,如有条件也可行 PET/CT。
● 皮肤黑色素瘤多由痣开展而来,痣的早期恶变病症可总结为以下 ABCDE 法则:
A. 非对称〔asymmetry〕:色素斑的一半与另一半看起来不对称。
B. 边缘不规则〔border irregularity〕:边缘不整或有切迹、锯齿等,不像正常色素痣那样具有光滑的圆形或椭圆形轮廓。
C. 颜色改变〔color variation〕:正常色素痣通常为单色,而黑色素瘤主要表现为污浊的黑色,也可有褐、棕、棕黑、蓝、粉、黑甚至白色等多种不同颜色。
D. 直径〔diameter〕:色素痣直径>5~6 mm 或色素痣明显长大时要注意,黑色素瘤通常比一般痣大,对直径>1 cm 的色素痣建议做活检评估。
E. 隆起〔elevation〕:一些早期的黑色素瘤,整个瘤体会有轻微的隆起。
影像表现
1.CT 表现为规则或不规则软组织密度灶,密度不均匀,早期可发生直接浸润或淋巴结转移,使用造影剂后病变大部分轻度欠均匀强化;
2.MR 平扫时常表现为 T1WI 呈稍高或高信号,T2WI 呈低信号,与其他肿瘤信号相反,瘤体血供丰富,增强后呈强化不均,部分肿瘤内可合并出血;
3.PET/CT 表现为规则或不规则软组织密度灶,密度不均匀,早期可发生直接浸润或淋巴结转移,使用显像剂后病变大部分可见药物摄取。
鉴别诊断
1. 鳞状细胞癌:简称鳞癌,恶变角质形成细胞突破表皮层进入真皮层甚至发生远处转移,是较为常见的皮肤恶性肿瘤。鳞癌常发生于一些慢性皮肤病基础上,如慢性溃疡、烧伤疤痕、慢性放射性皮炎等,常表现为暗红色斑块或丘疹,边界不规则,表面常出现溃疡、出血及不同程度的增生,也可以因为组织坏死而出现臭味。在身体某处长期存在的皮疹突然出现破溃、出血或在半年内迅速增大时,需及时就诊。
2. 基底细胞癌:是相当常见的皮肤恶性肿瘤,该病的病变细胞位于表皮或附属器上皮的基底细胞,因此肿瘤细胞位置可以在真皮甚至真皮深层较深在的位置。虽为恶性肿瘤,但其恶性程度低,表现为进展缓慢,可破坏局部组织却很少发生远处转移。多发生于曝光部位,特别是眼周、鼻部、鼻唇沟等部位。皮损初期为隆起于皮面的皮色至黑色丘疹,可逐渐增大,表面可以破溃、坏死,但很少出现脱屑。基底细胞癌分型多样,但共同的形态特征为界限清楚,边缘如「珍珠串样」隆起,绕以中央各种表现的肿瘤组织。
治 疗
● 外科手术: 当黑色素瘤没有扩散到周围组织时,外科手术可以切除患处,一旦扩散到周围组织或其他身体部位,可能需要切除一些淋巴结或其他组织,并辅以化疗和放疗。
● 放射治疗: 电离辐射的能量会破坏黑色素瘤的 DNA,以阻止其继续生长。这种治疗方式主要应用于不能外科手术或是已经扩散到其他身体器官的病人。
● 化疗: 化疗可以安排在手术前或后,或者可以用于治疗无法进行手术或放疗的大型黑色素瘤,或扩散到其他身体部位的黑色素瘤。
● 免疫治疗: 可以帮助患者的免疫系统识别和攻击黑色素瘤细胞。这种治疗通常在黑色素瘤已扩散到其他身体部位,或在手术、放疗、化疗等方法后进行。
具体采用哪一种治疗方案,要根据黑色素瘤的发展情况、患者的身体状况以及哪些治疗方式更适合于患者等多种因素来综合考虑,患者应根据实际情况和医生的建议,选择更合适的治疗方案。
预 后
黑色素瘤的预后与性别、年龄、部位、肿瘤分期等相关。通常来说,女性预后好于男性,年轻人预后好于老年人,四肢预后尤其良好、躯干其次,头颈部预后尤为差。发现越早、治愈可能性越大,预后越好。
参考资料:
[1] 黑色素瘤诊疗指南(2022 年版).
[2]CSCO 黑色素瘤专家委员会.CSCO 黑色素瘤诊疗指南解读——前哨淋巴结活检的意义, 操作及治疗专家共识 [J]. 临床肿瘤学杂志,2021,26(9):11.
[3] 岳建兰, 尹亮, 黄世明, 林志春. 鼻腔鼻窦黏膜黑色素瘤~(18)F-FDG PET/CT 表现及分期 [J]. 中华肿瘤防治杂志,2021,28(10):748-752.DOI:10.16073/j.cnki.cjcpt.2021.10.06.
[4] 杨昕宇, 高慧. 皮肤恶性黑色素瘤的诊断研究进展 [J]. 中国基层医药,2021, 28(6):3.
好文章,需要你的鼓励