今年 50 岁的林姨(化名)经常肚子总会感到「痛断肠」。这种断肠之痛,伴随了林姨二十年。给孩子开家长会时会痛,自己躺着啥事不干也会痛。
忍无可忍的林姨,最终选择前往深圳市第四人民医院(深圳市萨米医疗中心)普通外科就诊。
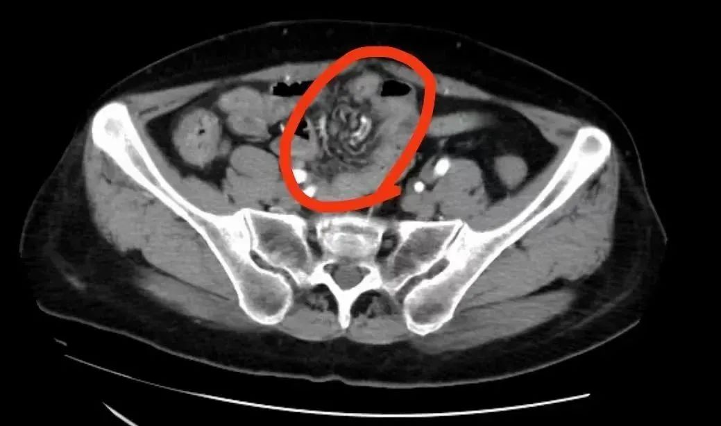
接诊的普通外科医生拿起林姨的 CT 报告,果然发现一系列异常:
首先是她盆腔区域内,有一小段回肠的走行出现了扭曲,这可能是受到某种不明异物的缠绕、牵连。

其次,该区域的肠壁也有增厚的迹象,这表明存在发炎的情况。
综合这些症状,医生判断,这很有可能是腹腔粘连!
什么是腹腔粘连?
它是指因为各种原因引起的肠管与肠管之间,肠管与腹膜之间发生的不正常粘附。
其病因有以下几种:腹部手术、腹腔内感染、非医源性创伤、出血、腹腔内有异物等。
那么「不明异物」究竟是如何缠上林姨的?
在普通外科医生的引导下,林姨回想起二十多年前,自己经历过的一场剖宫产手术。
所谓的「不明异物」,很有可能是在伤口愈合时慢慢形成的。
医生紧接着提醒林姨:腹腔粘连只是机率比较大,不排除有其他异物勾连的可能性。
最为重要的是,林姨回肠扭曲的部位,管腔十分狭窄,随时会阻塞食物,引发更严重的肠梗阻、肠内疝等严重疾病,到时可不仅仅是腹痛这么简单。
秉着对患者负责的态度,为了彻底查明病情,普通外科医生告知林姨有做腹腔镜探查的指征。
听了医生的嘱咐,同时林姨又自行查询了一下该病的危害后,最终同意手术。
普通外科团队在经过详尽的术前讨论后,决定为林姨施行腹腔镜下腹腔粘连松解术。
这是一种微创手术,团队通过腹腔镜的探查,证实了医生之前的判断。一条细细的索带像一条蛇一样紧紧咬住林姨的回肠。

凭借多年的手术经验,面对这个让林姨饱受二十年之久的隐蔽祸根,普通外科团队没有丝毫犹豫。一刀精准地切断了那束缠扰她多年的索带,让她的回肠重获自由。
普通外科团队温馨提示,若出现以下症状,请警惕腹腔粘连:
❶ 慢性腹痛:持续性或间歇性,可能出现在不同部位。
❷ 异常排便:腹泻、便秘或交替出现。
❸ 不明原因的体重减轻。
❹ 不孕不育:粘连也会影响生殖附件的结构。
好文章,需要你的鼓励