近日,南昌大学第二附属医院肝胆外科、急诊科、麻醉科、手术室、输血科、ICU 等多学科通力合作,成功救治了一名肝癌破裂出血、失血性休克患者。
2025 年 1 月 27 日,春节假期开始前的最后一个工作日,当天下午,南昌大学第二附属医院肝胆胰外科主任王恺在完成一台机器人腹腔镜下胆管癌根治术及腹腔镜下胃-空肠吻合术后,接到兄弟医院的紧急电话:有一位肝癌破裂出血的患者,在接受介入止血治疗后仍存在活动性出血并休克,需紧急转诊进行抢救治疗。
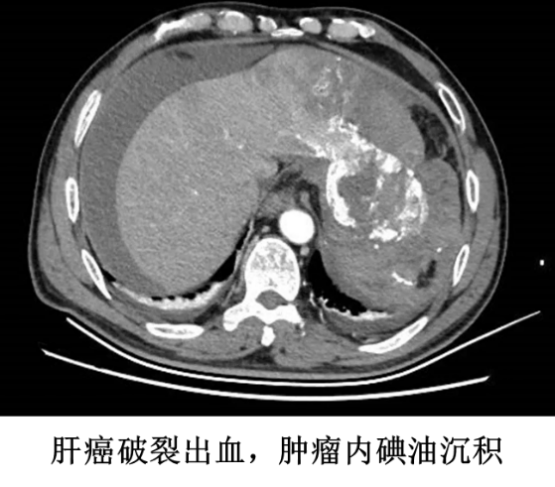
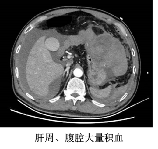
接到电话后,王恺立即安排科室同事做好接诊准备,并积极完善术前准备工作。根据患者家属描述,患者 2 天前突发腹痛,于当地医院行腹部 CT 检查提示肝癌破裂出血,并于当日在兄弟医院行急诊肝动脉栓塞术止血。术后第二天,患者诉腹部疼痛症状加重,复查血常规见血红蛋白仍呈下降趋势,血压下降、心率加快,提示仍有活动性出血并失血性休克。患者由急诊 120 转运至南昌大学第二附属医院急诊抢救室后,医院立即予以积极抗休克治疗,并迅速完成腹部增强 CT 检查,证实肝癌破裂出血并腹腔大量积血,估算出血量超过 2500 ml。


根据患者治疗病史、当前临床表现及影像学分析,患者的肿瘤位于左肝外叶,外生性生长,血供丰富,肝动脉栓塞后止血效果不佳。
入院时,患者已进入休克期。经过与家属详细沟通,告知病情危急,有急诊剖腹探查手术指征。患者家属经过考虑后,决定行手术治疗。
考虑到患者失血性休克,需大量输血,且因春节临近血库极为紧张,医院输血科积极联系多方渠道调配血源。在手术室及麻醉科同事的积极准备下,患者在最短时间内被送入手术室。
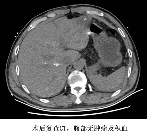
由于出血量大,且仍存在活动性出血可能,患者随时可能因重度贫血及休克导致心跳骤停。在与麻醉科、输血科及手术室同事的通力配合下,在迅速输血、抗休克、生命支持等基础上,王恺教授手术团队快速开腹并迅速控制肝门入肝血流,在控制活动性出血后,快速清理腹腔积血约 3000 ml,随后仅用时 10 分钟左右将左肝外叶及破裂出血的肿瘤完整切除。
术中、术后患者生命体征平稳。

考虑到患者经历失血性休克打击,术后需呼吸机支持,患者被转入 ICU 病房继续治疗。术后通过呼吸支持、输血、护肝、补液、营养支持、控制血糖等治疗后,患者血红蛋白稳步上升,呼吸功能逐步好转,并逐步恢复饮食及活动。腹腔引流管已拔除,切口愈合良好并拆线,术后 9 天顺利出院。


在多个学科的通力配合下,患者最终得到及时有效的救治,充分展现了南昌大学二附院医疗团队的齐心协作、作风优良、技术过硬,展现了医院的综合救治能力。接下来,南昌大学第二附属医院将继续全力以赴,为人民群众的生命安全和身体健康保驾护航!
好文章,需要你的鼓励