在医学诊疗领域,穿刺活检是明确病灶性质、制定后续治疗方案的「金标准」。但面对解剖位置刁钻、周边血管密布的病灶,每一次穿刺都是对医者技术、眼力与定力的多重考验。近日,南昌大学第二附属医院超声科介入团队迎难而上,凭借精湛的超声引导技术,成功完成一例超声引导下肝 S1 段占位穿刺活检术,用精准操作为患者打通了后续治疗的关键通道。
患者欧某在体检中发现肝脏占位,需依靠穿刺活检明确病理诊断及分型,以指导后期治疗。肝 S1 段(尾状叶)因解剖位置特殊、空间狭小,属于肝脏穿刺的「高危区域」。该处病灶紧邻肝门、下腔静脉、门静脉等多条大血管,周边血管网络错综复杂。穿刺路径稍有偏差,就可能引发大出血、血管损伤等严重并发症,操作难度极大。患者亲属中亦有医务工作者,经多方咨询后均被告知「穿刺难度太大、风险过高」,这让患者和家属陷入了深深的焦虑。
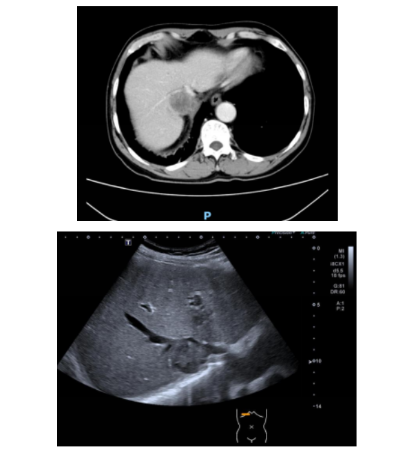
患者入住该院后,临床医师考虑到 CT 下穿刺难度大,建议其前往超声科评估是否存在超声下的安全穿刺路径。接诊后,超声科介入团队高度重视,立即对患者进行全面细致的超声影像学评估。检查发现,患者肝 S1 段占位前方有肝右静脉横亘,穿刺路径上亦有多条血管阻挡,常规穿刺路径完全行不通。经反复扫查病灶位置、大小、形态,并精准标记病灶周边血管走行与毗邻关系,团队最终锁定了唯一的安全穿刺通道。

本次穿刺由主治医师胡震主刀。在超声实时动态引导下,胡震屏息凝神、稳扎稳打,手持穿刺针在超声影像的「导航」下,沿着术前规划的精准路径缓缓推进。全程紧盯屏幕,实时调整进针角度,在错综复杂的血管缝隙中「穿针引线」。每一步推进都精准到毫米,完美避开所有高危血管,准确命中病灶无血管遮挡的边缘部分。


此次高难度肝 S1 段占位穿刺活检的成功开展,不仅打破了此类疑难病例的诊疗困境,也标志着该院超声科介入诊疗技术再攀新高,在复杂部位、高风险病灶的穿刺活检领域积累了宝贵经验。
超声介入作为微创诊疗的核心技术之一,具有创伤小、定位准、恢复快、安全性高等优势,广泛应用于全身各部位病灶穿刺活检、积液引流、囊肿硬化等诊疗场景。相较于传统操作,超声引导能够实现实时可视化,彻底告别「盲穿」风险,为疑难、高危病例提供了更安全、高效的诊疗选择。
未来,南昌大学第二附属医院超声科介入团队将继续深耕微创诊疗领域,不断攻克技术难关,以精益求精的医术和暖心负责的态度,为更多疑难病例患者打通诊疗通路,用精准介入守护群众生命健康。

胡震,南昌大学第二附属医院超声科介入组主治医师,中国超声医学工程学会介入超声专业委员会青年委员、中国超声医学工程学超声治疗及生物效应专业委员会青年委员、中国民族卫生协会超声医学分会青年委员、中国医药教育协会介入微创甲状腺消融分会委员。擅长:介入性超声的诊断与治疗,包括各类超声引导下穿刺活检(如肝、肾、乳腺、甲状腺等)、置管引流(如 PTCD、胆囊造瘘、各类积液等)及囊肿的硬化治疗。主持省级课题 1 项,参与国家自然基金、省厅级课题多项。以第一作者或通讯作者发表 SCI 及中文核心期刊论文 5 篇。
好文章,需要你的鼓励