

对于罹患复杂肝胆胰肿瘤的患者而言,能否获得根治性手术切除常常是决定生存希望的关键。近日,南昌大学第二附属医院肝胆胰外科团队成功完成一例高难度的「联合围肝门切除及肝动脉切除重建胆囊癌根治术」,为一位肿瘤侵犯关键血管和胆管的进展期胆囊癌患者实现了肿瘤的彻底清除(R0 切除),同时成功保留了足够的健康肝脏。术后患者恢复良好,肿瘤指标降至正常,已顺利出院。此项技术的成功开展,标志着该院在复杂肝胆胰肿瘤的外科诊疗领域已达到国内先进水平,为江西省乃至周边地区的复杂肝胆疾病患者带来了新的治疗选择和生命曙光。

近年来,南昌大学第二附属医院肝胆胰外科借助与浙江大学医学院附属第一医院共建国家区域医疗中心的有利契机,积极引进和学习国内外先进的外科理念与技术。团队特别注重在肝移植及复杂血管处理技术方面的深度交流,多次派遣技术骨干赴浙大一院观摩学习诸如「联合自体小肠移植的胰腺癌根治术」(对应图 1)等顶尖手术,并将这些高精尖技术消化吸收,自主应用于临床实践。
针对肝胆胰恶性肿瘤,该科室始终坚持多学科协作(MDT)诊疗模式,整合了肝胆胰外科、肿瘤科、影像科、病理科等多个科室的专家智慧,为每一位患者量身定制从术前评估、手术方案、精准施治到术后康复和长期随访的「全周期」个体化诊疗方案,显著提升了肿瘤的规范化诊疗水平。

生命通道的「精细再造」:毫米级血管吻合攻克手术难关
本例患者在接受胆囊切除术后一月余,出现皮肤巩膜黄染,经检查诊断考虑胆囊癌累及胆囊管及肝门胆管(图 2A),肿瘤已累及肝门区胆管并侵犯了右肝动脉主干及其分支起始部(图 2B)。这种情况下的根治性手术极具挑战,如同在「生命禁区」进行精细作业。
据南昌大学二附院肝胆胰外科学科带头人王恺教授介绍,传统的联合右半肝切除方案虽能切除肿瘤,但会导致剩余肝脏体积不足,术后发生肝功能衰竭的风险极高。为确保手术安全与效果最大化,以王恺教授为首的多学科团队(MDT)经过精密术前评估,最终制定了更为复杂但能最大限度保留肝功能的手术方案:联合围肝门切除,并只切除受侵犯的部分右肝动脉,然后进行精细的血管重建。


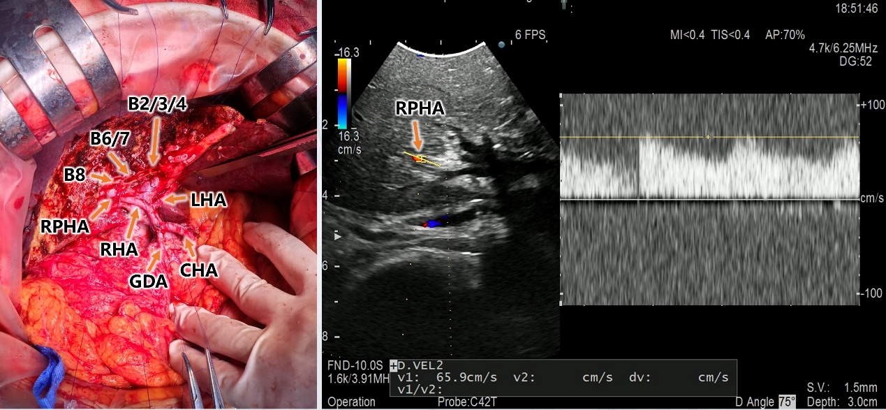
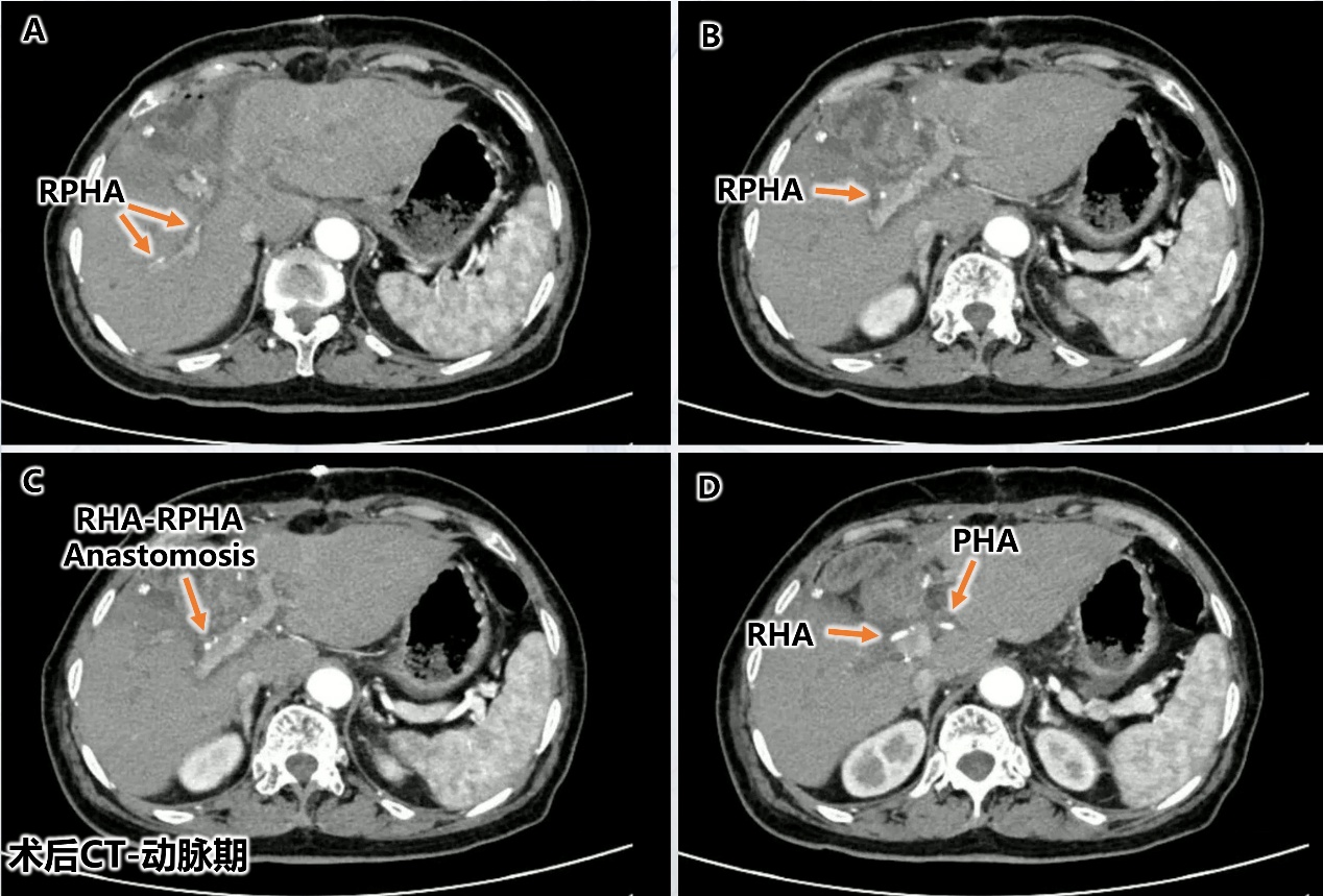
手术中最关键、最富挑战性的环节在于肝动脉的切除与重建。术中,主刀医生需要将直径不足 3 毫米的右肝动脉主干与直径更是不足 2 毫米的肝右后动脉进行端端吻合。这要求手术团队具备高超的显微外科技术和稳定的心理素质。最终,团队凭借在血管精细解剖与吻合方面积累的深厚功底,成功完成了毫米级的动脉吻合重建。术中超声实时监测确认血流畅通无阻(对应图 4),术后增强 CT 也再次证实了重建动脉的通畅,肝脏血供良好,未见缺血表现(对应图 5)。


患者康复见证实力:技术突破带来显著疗效
本例手术历时约 7 小时,术中出血量控制良好,未予输血。术后患者恢复进程顺利:术后一周,因胆道梗阻而飙升的血清总胆红素已降至正常范围(对应图 6A);术后两周,重要的肿瘤标志物 CA-199 也恢复至正常水平(对应图 6B);术后三周,患者康复出院。最终的术后病理报告显示,肿瘤切缘干净,清扫的淋巴结未见癌转移,实现了根治性切除(R0 切除)的目标(对应图 7)。截至目前,患者术后已随访 5 月余,身体状况良好,无肿瘤复发迹象。
专家解读:勇闯「禁区」为患者争取生机
王恺教授指出,胆囊癌恶性程度高,起病隐匿,多数患者确诊时已属中晚期,治疗效果不佳。对于肿瘤侵犯肝门区重要血管和胆管而无远处转移的患者,联合高位胆管和受累血管的切除重建,是提高 R0 切除率、改善预后的关键手段。「围肝门区域」解剖结构极为复杂,重要管道密布,手术难度和风险极高,曾是外科医生望而却步的「禁区」。此次手术的成功,不仅体现了医院肝胆胰外科团队勇于挑战、技术精湛的作风,也标志着医院在复杂肝胆胰肿瘤综合诊治能力上的又一次重大飞跃,将为更多疑难重症患者带来生的希望。
好文章,需要你的鼓励