(丁聪聪、舒羿报道) 近日,南昌大学第二附属医院(简称「南大二附院」)凭借成熟的多学科协作(MDT)平台与高通量基因测序技术,成功为一名 18 岁女性患者破解了罕见高血压背后的病因,并通过同期手术实现康复。这一案例不仅展现了医院在复杂疾病诊疗领域的技术实力,更凸显了多学科协作在精准医疗中的关键作用。

突发重症:少女高血压背后藏「多器官隐患」
该患者因突发剧烈头痛就诊,血压最高飙升至 224/126 mmHg,远超正常范围,被紧急送往南大二附院心内科。心内科董一飞主任团队迅速介入,在控制血压的同时启动继发性高血压筛查。
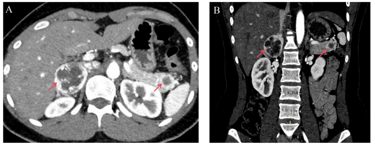
CT 检查结果揭示了更复杂的病情:患者右侧肾上腺存在一个直径约 4 厘米的肿物,结合血清及 24 h 尿儿茶酚胺水平异常升高,提示可能为嗜铬细胞瘤(一种可引发严重高血压的肿瘤);更棘手的是,其胰腺尾部还发现一个 2 厘米的肿物,性质不明,需与转移灶、囊肿、腺瘤及神经内分泌瘤等多种病变鉴别。
「患者年仅 18 岁却出现多器官病变,结合其母亲曾患小脑血管母细胞瘤及可疑肾上腺肿瘤的病史,我们高度警惕遗传性疾病的可能。」董一飞主任表示,这一特殊性让诊疗团队将目光投向了罕见的遗传性综合征。
多学科攻坚:基因测序锁定 VHL 综合征
面对复杂病情,医院立即启动 MDT 多学科协作机制。心内科、泌尿外科、肝胆外科、内分泌科、影像科、麻醉科及遗传科专家齐聚会诊。泌尿外科曾涛主任团队(巢海潮医师)、肝胆外科王恺主任团队(梁博副主任和周兵海医师)、内分泌科杨雅主任、影像科刘元元主任结合影像学特征与家族病史,提出了 「VHL 综合征」的可能性——这是一种以多器官肿瘤为特征的常染色体显性遗传病,可累及肾脏、肾上腺、胰腺、中枢神经系统、视网膜等多个部位。
为验证猜想,遗传科为患者及家属进行了高通量基因测序。结果显示,患者存在明确的 VHL 基因突变,其母亲也携带相同变异,最终确诊为 VHL 综合征,高血压的罕见病因终于水落石出。
同期手术闯关:多科室协作化解双重风险
确诊后,MDT 团队面临关键决策:两个肿物是否需要手术?何时手术?「同期切除肾上腺和胰腺肿物,能避免患者承受两次手术的创伤与风险,但手术难度和术中血压波动的风险会大幅增加。」泌尿外科曾涛主任解释道。经过反复评估患者获益,团队最终决定「一次手术解决双重问题」。
术前,泌尿外科与心内科联合制定方案,通过药物扩容、精准调控血压和心率,为手术创造最佳条件;术中,当切除肾上腺肿物时,患者血压骤升骤降(220/110 mmHg 至 76/40 mmHg),心率剧烈波动(60–160 次/分),麻醉科李茜主任团队凭借精准的血流动力学监测,实时调整用药,稳稳控制住险情;泌尿外科与肝胆外科团队默契配合,历时近 5 小时,成功切除两处肿物,出血量不足 100 毫升。
术后病理证实:肾上腺肿物为嗜铬细胞瘤,胰腺肿物为神经内分泌肿瘤(G2 级),与术前诊断完全吻合。
康复见证奇迹:MDT 模式彰显综合诊疗水平
术后当天,患者血压即恢复正常,头痛症状消失;1 个月随访时,血压稳定在 100/60 mmHg,心率 80 次/分,无需再服用降压药,彻底摆脱了高血压困扰。
此次救治的成功,是南大二附院 MDT 模式的生动实践:通过整合多学科资源,实现了从病因筛查、基因确诊到手术实施的全流程精准诊疗。「对于罕见病和复杂病例,单打独斗难以突破,多学科协作才能为患者找到最优解。」医院相关负责人表示,未来将进一步持续完善 MDT 平台,以技术创新与团队协作守护患者生命健康。
好文章,需要你的鼓励