近日,西安交通大学第二附属医院肝胆胰与肝移植外科上演了一场惊心动魄的生命保卫战。一名巨大肝癌并突发破裂出血的危重患者,在蒋安主任医师团队精准、果敢的手术下转危为安,目前已经康复出院。
肿瘤破裂命悬一线,巨大病灶占据肝脏
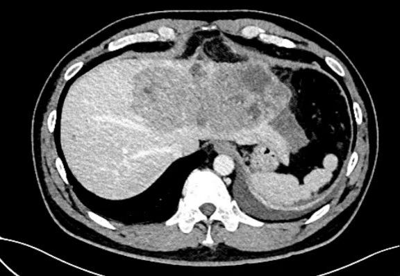
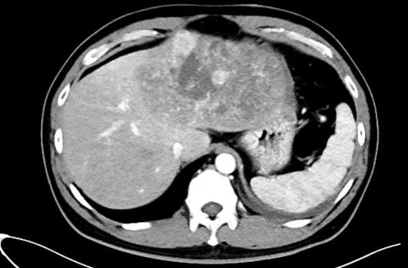
一名四十岁男性患者突发腹痛 1 天由外院转来。患者有慢性乙肝病史,已经多年未做检查,急诊 CT 显示:一个直径约 16 cm×10 cm 的巨大肝癌充满患者左半肝,挤压侵犯第二肝门肝中静脉(图 1,图 2)。更危急的是,肿瘤周围大量积液,怀疑肝癌已发生破裂,患者血压 90/60 mmHg,生命体征岌岌可危。蒋安主任医师接诊后联系输血科董艳迎主任快速输血,迅速纠正休克,使生命体征稳定。


当机立断紧急手术,精湛技艺力挽狂澜
抗休克同时,蒋安主任医师团队完善必要的术前检查:患者 Child A 级肝功,ICGR15 <10。经肝脏三维重建模拟计算后发现:肝肿瘤体积约为 888.6 cm3,拟切除包含肝中静脉的扩大左半肝体积为 1096.3 cm3,,残肝体积 1306.6 cm3,,标准肝体积 1374.1 cm3,,残肝比达到 95%(图 3、图 4)。经过与曲凯副主任科室讨论后认为,残余肝脏满足安全需求,在患者条件满足一期手术的情况下急诊切除肿瘤,较介入止血更为直接。决定为患者实施切除肝左、肝中静脉的扩大左半肝切除术。


术中快速精准止血,多科配合完整切除
术中所见证实了病情的严重性:巨大肿瘤组织已破裂,腹腔内充满血凝块,出血汹涌。为迅速控制出血,蒋安主任首先果断结扎了肿瘤的主要供血血管——左肝动脉,出血迅速控制,为后续安全切除创造了条件。随后,克服肿瘤巨大,手术空间狭小的困难,实施了精准的扩大的左半肝切除术,成功将巨大且已破裂的肿瘤连同左肝及部分右肝组织完整切除,并仔细清理了腹腔内积血(图 5)。整个手术过程紧张有序,张珍妮副主任医师率麻醉团队配合默契,最终顺利完成。

得益于手术的及时有效,患者术后恢复顺利,已经康复出院。这场高难度、高风险手术的成功实施,不仅挽救了患者的生命,也充分展现了肝胆胰外科团队在复杂肝胆外科手术领域的高超技术和面对急危重患者时的应急救治能力。
防止肝癌破裂出血:早筛、早诊是关键
蒋安主任医师借此病例提醒公众:肝癌起病隐匿,部分患者确诊时肿瘤已较大,甚至发生破裂等严重并发症,危及生命,极大增加救治难度和风险。所以有肝炎、肝硬化等基础肝病的肝癌高危患者,应重视每 3-6 个月检查肝脏超声和肿瘤标志物等,做到肝癌早发现、早诊断、早治疗,才是提高肝癌疗效和生存率的关键。
好文章,需要你的鼓励