「没想到这么大年纪还能坐起来,感谢医生给了我生活的希望!」来自兵团第七师的宋奶奶(化名)在出院时激动地表示。
8 月 7 日,经过我院脊柱外科团队的精湛手术和系统康复治疗,一位曾因高位椎管严重狭窄导致双下肢瘫痪、经兵团北疆航空医疗救援紧急转运入院的 87 岁高龄患者宋奶奶,顺利康复出院。
出院时,困扰她已久的双下肢抽搐症状已消失,精神状态良好,重新燃起了生活的希望。这标志着一次跨越地域的空中生命救援与突破高龄禁区的高难度脊柱微创手术取得圆满成功。


▲图为兵团北疆航空医疗救援直升机紧急转运患者
两周前,来自兵团第七师 87 岁的宋奶奶突发双下肢不自主抽搐并伴大小便失禁,情况万分危急。为抢抓黄金救治时间,家属果断 拨通兵团北疆航空医疗救援电话(0993-2858120)。伴随着航空医疗救援直升机引擎的轰鸣,这条跨越地域的「空中生命通道」迅速搭建,将宋奶奶第一时间安全送达石河子大学第一附属医院急诊医学中心。抵院后,医院立即启动绿色通道,高效完善的检查迅速锁定病因——严重的颈胸交界区椎管狭窄导致脊髓严重受压,如不及时手术解除压迫,瘫痪将不可逆转。


面对如此高龄且基础疾病复杂的患者,传统开放手术风险极高。我院脊柱外科团队迎难而上,经周密评估,果断决定采用目前国际领先的全内镜下胸椎椎管减压术(椎板间入路)。术中,医生仅在患者背部切开 微小切口(约 1 厘米), 借助高清内窥镜的精准视野,如 同操作「钥匙孔」般精细 地磨除压迫脊髓的增生骨质与骨化韧带,彻底解放被「禁锢」的脊髓神经。该技术出血少、创伤小,显著降低了高龄患者的手术风险。


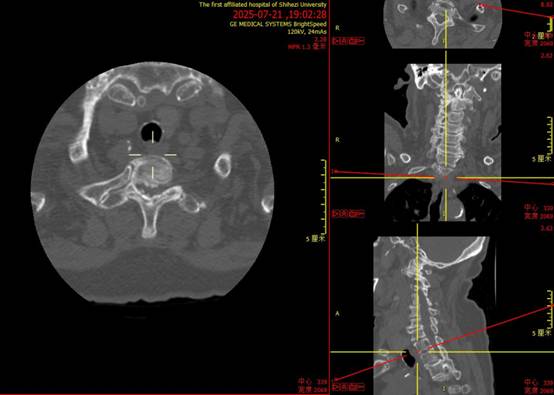
▲图为术前椎管内受压情况

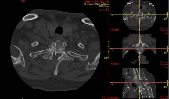
▲图为术后椎管内受压解除情况
得益于微创手术的显著优势和团队的精细操作,宋奶奶术后恢复迅速且顺利。令人欣喜的是,术前困扰她的双下肢抽搐消失,在医护人员指导下已能进行早期自主活动训练。经过系统康复,高压氧氧疗,老人精神状态良好,最终如期出院,回归家庭生活。

▲图为目前患者出院随访视频,双腿活动自如。
「此例超高龄危重患者的成功救治,是 航空医疗救援体系与脊柱微创技术强强联合的典范。」主刀医生、我院脊柱外科主任孙建华教授强调,「内镜下微创减压术具有创伤小、恢复快、安全性高的突出优势,特别适合像宋奶奶这样基础状况欠佳的高龄椎管狭窄患者。它突破了传统手术的年龄限制,为更多老年脊柱疾病患者带来了安全有效的治疗新选择。」
随着社会老龄化进程加速,胸腰椎管狭窄症发病率逐年攀升。此例高龄危重患者的成功救治,不仅彰显了我院在航空医疗应急响应、疑难脊柱疾病微创诊疗及复杂围手术期管理方面的强大综合实力,也为疆内高龄脊柱疾病患者提供了重要的救治参考,点亮了更多家庭重获行走尊严的希望之光。
好文章,需要你的鼓励