女,47 岁。无明显症状于高尚医学影像诊断中心体检。


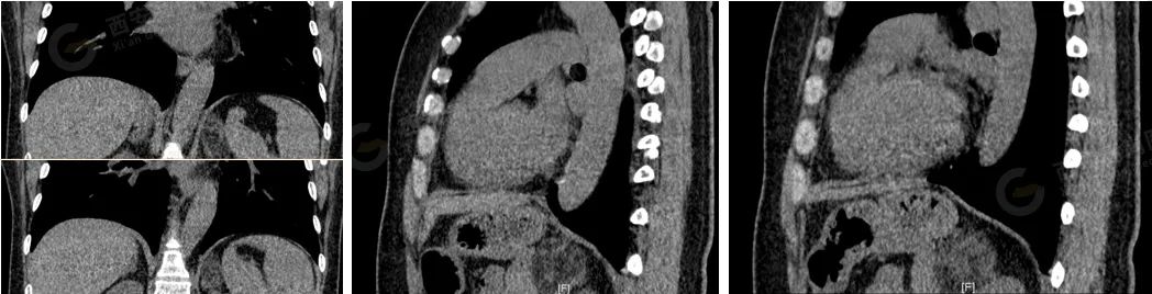
左侧肾上腺区可见一混杂密度肿块影,边界尚清楚,大小约 3.4×3.8 cm,内部以脂肪成分为主,可见少许实性等密度影,与肾上腺关系密切。考虑来源于肾上腺肿瘤,髓样脂肪瘤可能性大。
手术切除病理结果:髓样脂肪瘤。
肾上腺正常解剖:
1、皮质分为球状带-盐皮质激素(醛固酮)、
束状带-糖皮质激素(皮质醇)、网状带-性激素。
2、髓质分为嗜铬细胞(儿茶酚胺)、节细胞。
正常 CT 表现:
1、形态:肾上腺分为内外侧支以及内外侧支相交构成体部。侧支厚度小于 10 mm,窄于同侧膈肌脚。
2、右侧肾上腺以线条形多常见,三角形很少见。
3、左侧以倒 V 字形或人字形最多见,其次是三角形。
4、CT 平扫密度均匀,增强均匀强化。
肾上腺髓样脂肪瘤又称肾上腺骨髓脂肪瘤,是一种少见的肾上腺无功能性良性肿瘤,由成熟脂肪组织和不同比例的小岛状骨髓样造血组织构成,无恶变倾向。腺髓样脂肪瘤主要发生于肾上腺皮、髓质,极少数可发生于腹膜后、纵隔及盆腔。本病多数患者临床上无明显症状,常在体检或尸检时偶尔发现,尸检发生率为 0.08-0.2%,发病年龄为 20-70 岁,可见男女发生率相近,右侧好发,约占 80%,双侧发病很少见。体积较大有压迫症状、自发性出血、发热、血尿、尿路感染、高血压等。
1、肿瘤多为类圆形肿块,境界清楚,边缘较光整,有假包膜,其内不均匀,以脂肪密度为主,另见索条状、分隔样及点片状稍高骨髓样密度影,瘤体 CT 值多在-20 hu 以下。
2、10%-20% 的病灶内可见钙化;部分瘤体较大者可自发破裂出血。
3、增强扫描除脂肪成分不强化外,其余骨髓组织等成分可呈轻、中度强化。
1、脂肪型:以脂肪成分为主,大部分呈低密度。
2、混合型:为脂肪和髓样软组织混合构成,呈低、等、稍高混杂密度肿块。
3、软组织型:以髓样软组织为主,大部分呈等、稍高密度,内夹杂少量点、片状脂肪密度。
1、肾上腺脂肪瘤
2、肾上腺腺瘤
3、肾血管平滑肌脂肪瘤
4、腹膜后脂肪肉瘤
5、畸胎瘤
1、肾上腺脂肪瘤是一种极为罕见的含脂肪的肾上腺病变,是间质起源的良性肿瘤,包含成熟的脂肪组织,被纤维囊包围,文献中多为个案报道。
2、CT 上表现为均匀一致的低密度脂肪肿块,边界清楚。
1、最常见的肾上腺病变,各年龄段均可发病,随年龄增长发病率增高,大部分(95%)是无功能的,功能性腺瘤的症状表现为 Cushing 综合征(皮质醇过多),Conn 综合征(醛固酮增多),性激素过多症状。
2、脂质丰富的腺瘤(70%):含细胞内脂质,CT 值低于 10 hu,MRI 反相位信号减低。
3、乏脂性腺瘤(30%):不含有细胞内脂质,通过对比剂廓清率辅助鉴别。
肾血管平滑肌脂肪瘤是肾脏最常见的良性肿瘤,约占所有肾脏肿瘤的 3.9%,以往被认为是畸形血管、平滑肌、脂肪三者组成的瘤样畸形,是一种错构瘤,近年来研究认为,其起源于血管周围上皮样结构,具有独特的免疫组织学特征,是单克隆增生而形成的真性肿瘤,其发生与 X 染色体非随机性失活有关。
1、脂肪肉瘤是一种恶性脂肪组织肿瘤,它约占所有软组织肿瘤的 15%;其中,10-15% 的脂肪肉瘤起源于腹膜后间隙;与四肢脂肪肉瘤相比,腹膜后脂肪肉瘤的预后更差。
2、肿瘤小时无症状,较大时可表现为腹痛、腹胀、腹部包块,压迫邻近脏器时可有相应症状,巨大者可以形成腹股沟疝。
1、畸胎瘤是由多潜能干细胞和不同胚层的原始细胞分化而来的一种生殖细胞肿瘤,含有内、中、外三个胚层的多组织成分,偶见只含有一个胚层成分。
2、通常发生于青少年,女性多于男性。
3、肿瘤的良恶性取决于组织分化程度,成熟畸胎瘤由于组织分化成熟,通常呈囊性。
4、一般无明显临床症状,随着肿瘤的生长压迫周围的血管神经和脏器而出现腹胀、腹痛和腰痛。
1、良性病灶,没有明确的恶性潜能。
2、若图像特征典型,病灶较小,无需治疗随诊观察。
3、若病灶较大或存在出血,可以进行外科手术切除。
好文章,需要你的鼓励