近日,广西医科大学第一附属医院心胸外科郑宝石教授团队联合超声科、麻醉手术室等多科室为一位高龄、重度退行性二尖瓣反流患者实施经导管二尖瓣缘对缘修复(TEER)。本次手术标志着团队承接的「评价经导管二尖瓣缘对缘修复系统用于治疗中重度或重度退行性二尖瓣反流的安全性及有效性的前瞻性、多中心、单组目标值临床研究」正式启动入组。同时,团队成功应用国产企业自主研发的「创新性经右胸小切口穿房间隔二尖瓣缘对缘修复系统」(Mitral-Bracket)进行手术,是广西首例。

患者为 71 岁高龄男性,因胸闷气促半年有余入院,自诉无明显诱因下出现胸闷气促,伴心悸,劳累时加重,伴有夜间阵发性呼吸困难。于当地医院就诊,行心脏超声提示二尖瓣关闭不全,当地医院予强心利尿等对症治疗,为求进一步治疗来到我院。
心胸外科黄柳柳副主任医师介绍,二尖瓣疾病是较为常见易发瓣膜疾病,逾 65 岁高龄人群中,二尖瓣反流发病率居心脏瓣膜病首位,75 岁以上人群发病率超过 10%,其中 FMR(功能性)占比约为 70%,DMR(退行性)约为 30%。
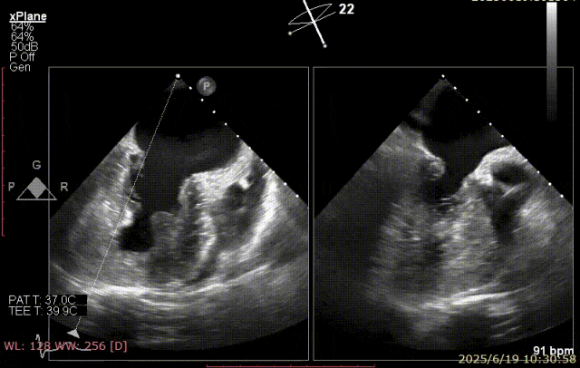
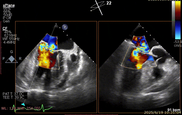
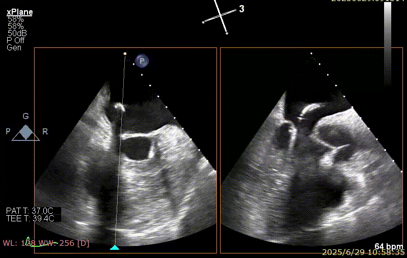
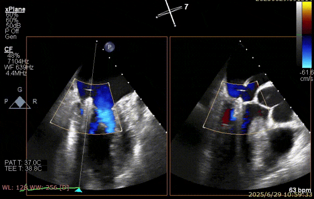
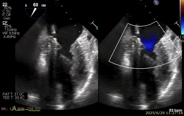
术前超声




患者术前 TEE 可见 P3 区脱垂二尖瓣环前后径(AP)约 37 mm,CC 径约 41 mm,瓣叶无明显钙化及裂隙,后瓣瓣尖探及一长约 9 mm 短带样回声漂附,二尖瓣口面积约 5.3 cm²。
经我院心脏超声检查提示:左房室增大伴二尖瓣后瓣脱垂(P3 区,腱索断裂)并重度关闭不全(Carpentier IIb 型,反流分级 4+);符合高血压性心脏病改变;少至中等量心包积液;左室舒张功能降低,收缩功能测定在正常范围并呈假性高排表现。
术前,我院心胸外科郑宝石教授团队通过患者病史和超声特点,结合心胸外科重症监护室及药学部会诊,认为该患者具备实施介入手术指标,且可从经导管二尖瓣缘对缘钳夹术修复中获益。我院超声科副主任吴棘教授仔细评估,认为患者的二尖瓣病变符合退行性反流的特点,揭破结构适合行二尖瓣钳夹术。
经过与患者和家属沟通,详细说明手术治疗的必要性及风险,患者及家属同意手术方案。
2025 年 6 月 29 日,经过对术前超声和 CT 影像进行深入分析,团队制定了周密手术计划。在麻醉手术中心副护士长刘菊梅的充分术前准备和中国医学科学院阜外医院欧阳文斌教授的指导下,凭借团队的紧密协作和娴熟操作,单纯利用超声影像精确引导,通过导引导管系统经右胸、右房,穿房间隔,建立到达左房通路;经该通路将两枚二尖瓣钳夹成功植入二尖瓣病变部位进行夹持,夹合器位于 3 区及部分 2 区,固定好,运动协调,瓣叶启闭灵活,瓣口轻度反流,二尖瓣平均跨瓣压差 2 mmHg。手术圆满完成。
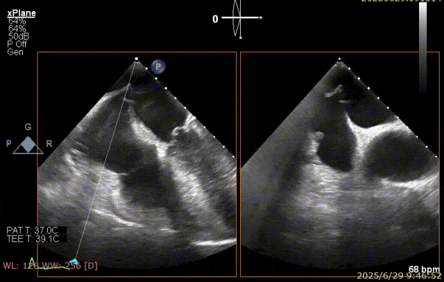
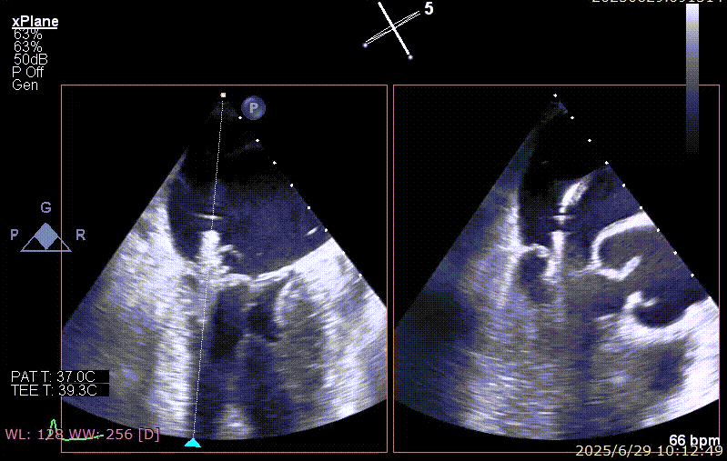
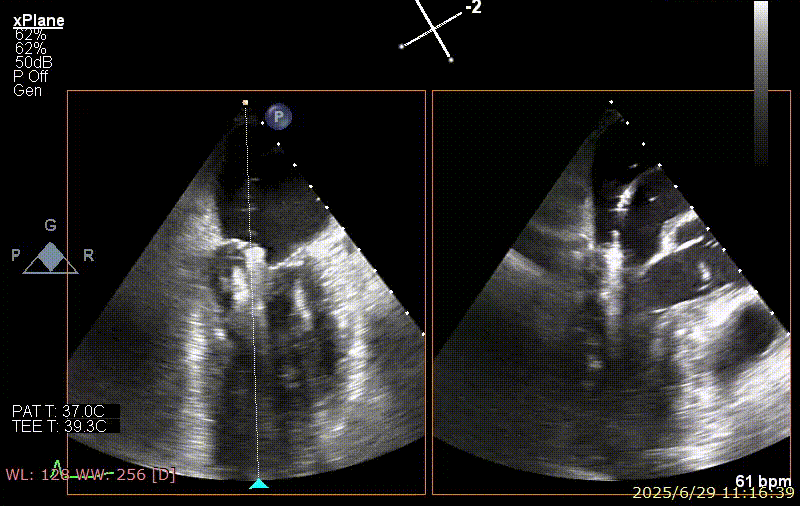
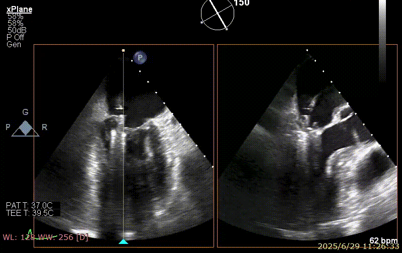
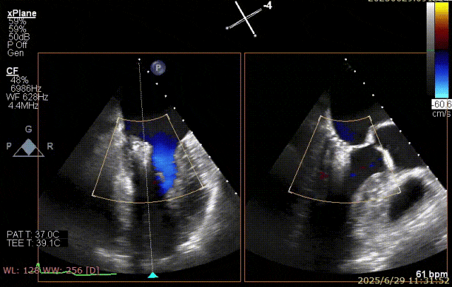
手术步骤












器械植入后二尖瓣 AP 径约 35 mm,CC 径约 39 mm;夹合器固定好、组织桥稳定,前瓣夹闭后瓣叶长度 25 mm,后瓣夹闭后瓣叶长度 7 mm;二尖瓣开放好,瓣口呈大小双孔,二尖瓣瓣口面积约 2.8 cm²,平均压差 1 mmHg,关闭可,二尖瓣反流明显减轻(从术前反流 4+显著改善至 1+),手术全程无需体外循环支持,无需输血,无需射线全超声引导。患者术后第二日回普通病房,患者恢复良好,术后第五日即出院。
郑宝石教授介绍,经右胸小切口穿房间隔介入二尖瓣缘对缘钳夹治疗二尖瓣反流优势在于该入路减少过弯,对输送系统部件性能要求较低,手术路径短,钳夹调节简单准确且房间隔穿刺高度要求低于经股 TEER。另外,手术在全超声引导下完成,安全无射线危害;术前 3D 重建可在体外准确模拟手术路径。
本次由我院心胸外科郑宝石教授团队协同多科室顺利完成的 TEER 手术,不仅展现了团队整体实力,同时标志着我院二尖瓣反流经导管介入治疗方面取得重大突破。
好文章,需要你的鼓励