-
协同护安康 温情暖人心——本溪市中心医院以爱与专业守护生命
2026-05-06 -
柔性引进强学科 专家赋能促发展 | 记航天中心医院泌尿外科专家张保
2026-05-06 -
检验速度与精度双飞跃!黄山华泽医院迈瑞 MT8000 智能化检验流水线正式投入使用
2026-05-06 -
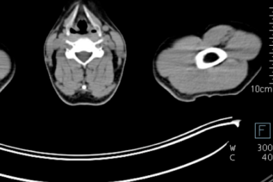
【医路有术】一间手术室搞定「诊断+治疗+评估」,毫米级精准跑赢生死时速
2026-05-06 -
身患多病曾心脏骤停,又遇肿瘤!和祐胃肠外科带他成功「闯关」
2026-05-06 -
不用经皮穿刺,避免肾损伤:FANS 技术用「人体自然腔道」解决大结石
2026-05-06 -
全国首批!我院心血管内科成功植入双腔主动螺旋固定无导线起搏器,为七旬大爷解决「心」头大患
2026-05-06 -
老人摔出「人生大坎」,多学科联手成功置换肩关节
2026-05-06 -
强直 20 年,他脊柱脆如玻璃!我院数字化精准外科技术让「最危险的骨折」有了安全解法
2026-05-06 -
成都京东方医院成功实施房颤一站式脉冲消融+左心耳封堵术
2026-05-06










