-
【高尚病例】巨大硬化性肺细胞瘤 1 例
2026-03-17 -
【高尚病例】直肠癌 MRI 评估与 TNM 分期
2026-03-17 -
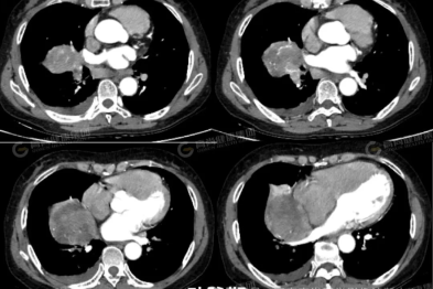
37 岁男子「身材修长」,心脏却是常人两倍大,元凶竟是这种罕见病
2026-03-17 -
河北一洲肿瘤医院外科成功救治结肠癌复发合并完全性肠梗阻患者
2026-03-17 -
哺乳期「堵奶」?差点要命!警惕这类症状
2026-03-17 -
一次微创手术修复三处「心病」,17 岁湘妹子在汉重获「心」生
2026-03-17 -
生死竞速,托举生命!河科大二附院 ECMO 团队全力抢救危重患者,为生命重启希望
2026-03-17 -
七旬老人肛周脓肿险酿大祸,多学科紧急手术助其转危为安
2026-03-17 -
60 岁阿姨突发胃痛 5 小时,急查 CT:胃穿孔
2026-03-17 -
10 年没做肠镜,一查肠子上长了 3 处肿瘤!
2026-03-17








