-
医院活动
长治市中医医院健康科普行——万场健康知识讲座走进长治市第八中学
2026-04-24 -
健康患教
警惕!!春季这 4 种眼病高发
2026-04-23 -
学科建设
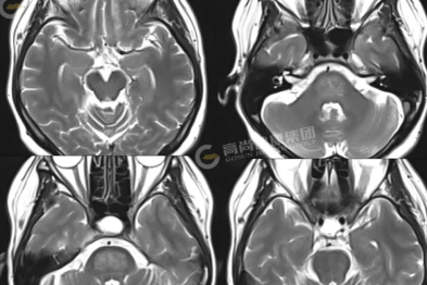
【高尚病例】脑桥中央髓鞘溶解症
2026-04-23 -
健康患教
泪囊炎有哪些症状?挤压内眼角有脓性分泌物,是泪囊炎吗?
2026-04-23 -
健康患教
当「快乐水」变成「催命符」,你的胆囊正在「求救」
2026-04-23 -
医院文化
【我与融和的故事】同天生日,十年相伴——我是阳光融和有缘人
2026-04-23 -
学科建设
桂北首例!一附院石海林泌尿外团队完成腹腔镜腔静脉癌栓+右肾根治性切除术
2026-04-23 -
健康患教
桂林男子鼻喉取出 3 条蚂蟥!医生提醒:野外活动千万别大意
2026-04-23 -
学科建设
古稀老人跌倒后忽视颅伤,颅内「淤血」渐袭!神经内镜「清淤」,精准破危局
2026-04-23 -
学科建设
高龄老人腹腔被粪便和组织液浸透,医护联手闯过「肠劫」
2026-04-23









