近日,我院卒中团队成功救治一名因颅内静脉窦非脓性血栓形成(CVST)突发危重症状的 34 岁产妇。经过紧急手术与精心治疗,患者最终康复出院,未遗留任何神经功能缺损,实现了从「生死边缘」到「完全恢复」的逆转,再次为广大产后女性敲响健康警钟。
34 岁的阿女士在分娩后第 8 天,开始出现持续性头痛。其间她尝试居家休息,也前往当地乡卫生院接受了输液治疗,症状虽有过短暂缓解,却始终反复,未能彻底痊愈。因许多产妇都会出现疲劳、失眠等不适,阿女士和家属都未引起足够重视。
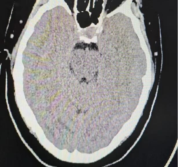
11 月 6 日凌晨,阿女士头痛突然加剧,随即出现言语不清、右侧肢体无力和呕吐等典型神经系统症状。当地县医院头颅 CT 提示脑出血后立即建议转至我院进一步救治。然而在 120 转运途中,阿女士病情急剧恶化,出现意识障碍、全身抽搐、血氧持续下降,生命一度危在旦夕。
阿女士到达我院后,急诊团队迅速开展气管插管、呼吸机辅助通气、抗癫痫及镇静等紧急处置。经进一步影像检查,卒中团队明确诊断为颅内静脉窦非脓性血栓形成,伴症状性癫痫及脑出血,是一种危险性极高、进展迅速的急危重症。援疆专家、神经内科主任林镇洲在评估后立即作出决定:必须紧急取栓,尽快恢复颅内静脉回流,才能最大限度保护患者生命和脑功能。

在与时间赛跑的抢救中,林镇洲与神经内科副主任阿地力江·阿布力米提主刀,迅速为阿女士实施经皮颅内静脉取栓术联合经皮颈静脉球囊扩张成形术。手术采取微创介入方式,通过颈静脉穿刺,将导管精准送达血栓阻塞部位,在影像引导下将血栓吸除、捕捉并清理干净,同时利用球囊撑开狭窄段,进一步改善静脉回流。这种方式无需开颅,创伤小、速度快,能够迅速降低颅内压力,是目前救治静脉窦血栓的关键手段之一。

得益于我院卒中团队的成熟经验和介入技术,手术过程顺利,成功取出多条暗红色血栓,使受阻的静脉通路重新畅通。术后患者被转入重症监护室进行严密监护,病情逐渐稳定并于 11 月 16 日转入普通病房。在近 20 天的精细化管理、抗凝治疗及康复护理下,患者头痛消失,言语、肢体活动恢复正常,无癫痫再发,出院时未遗留任何神经功能缺损。


林镇洲表示,此次病例再次证明多学科协作和快速介入的重要性,医护团队将继续加强相关疾病的诊疗能力提升,推进卒中中心规范化建设,为更多危重患者争取最佳救治时机。同时他提醒广大产妇,如果出现持续性或逐渐加重的头痛,一定要尽早就医,「越早干预,越有可能避免严重后果甚至完全康复。」
好文章,需要你的鼓励