近日,西安市中医医院心脏泛血管杨征团队成功完成一例下肢动脉斑块旋切术,为一位深受下肢动脉硬化闭塞症折磨的患者解除了病痛。
五年跛行,酸痛难忍
患者李先生(化名)饱受下肢疼痛折磨已有五年之久。五年间,他走路时双腿总像灌了铅,没走多远就酸痛难忍,必须停下休息。最近几个月,情况急剧恶化,每行走 200 米就疼痛钻心,冰凉麻木,静息状态下疼痛也频繁发作,夜间常常因疼痛难以入睡。

心血管病医院韩勇主任医师、刘奇主治医师立即收治患者,安排 CTA 检查,发现李先生的下肢动脉多发闭塞,股浅动脉血管被完全「堵死」,如果不及时干预,很可能面临肢体坏死甚至截肢的风险。
精准「清障」,6 小时打通生命通道
面对李先生的复杂病情,心血管病医院院长李逢春组织科内讨论。考虑到患者血管闭塞段较长、病变复杂,传统支架植入术存在异物留存、再狭窄率较高等局限性,心脏泛血管杨征团队最终决定,采用国际先进的血管斑块旋切技术。
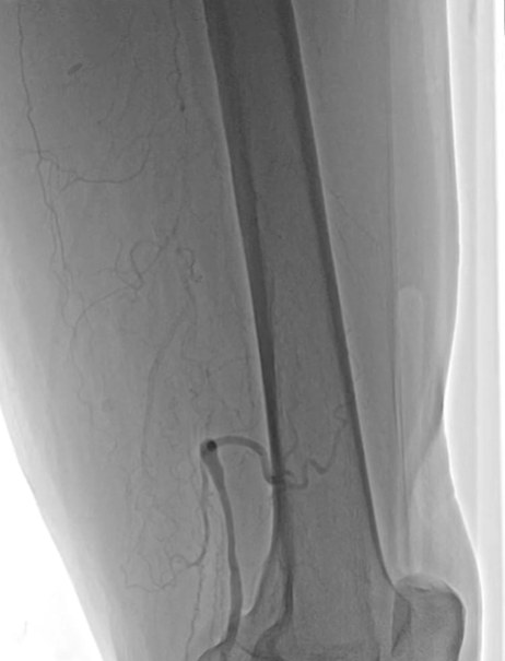
手术当天,在局部麻醉下行下肢动脉造影,提示股浅动脉近端形成无残端闭塞,闭塞长度达惊人的 40 cm,这就意味着全程都需要「摸着石头过长江」。由于闭塞长度过长且复杂,杨征副主任医师果断启动 DSA 及超声导引双指引确保手术安全性。

在功能科王艳夏医师的辅助下,手术团队与导管室李锐主管护师、鱼祥护师通力合作,同时建立正向、逆向通路,使用多种心脏泛血管技术最终应用 TIP-IN 成功双向「会师」,面对「坚如磐石」的病变,将仅有头发丝粗细的导丝顺利通过靶病变到达远端动脉血管。沿导丝送入旋切系统,导管前端的高速旋转刀片如同「微型隧道盾构机」,精准地将血管内的斑块粉碎并同步抽吸出体外。后顺利置入下肢动脉药物球囊两枚进行双保险,大大降低血管出现再狭窄概率。整个过程耗时 6 小时,40 cm 的超长闭塞的血管成功恢复了通畅血流。(术者:杨征。助手:李臻、何涛志)

术前、术后,韩勇主任医师对患者进行精准辨证施治,给予内服及外用方药综合调理。

警惕下肢动脉硬化闭塞的早期信号
下肢动脉硬化闭塞症是一种由全身性动脉硬化病变引起的周围血管疾病。患者最常见的前期症状包括:
✿下肢或足部发凉、酸胀、麻木
✿间歇性跛行(行走一段距离后因疼痛需停下休息)
✿静息痛(不活动时也感到疼痛,夜间加重)
温馨提示
高血压、高血脂、糖尿病和长期吸烟是下肢动脉闭塞的主要危险因素。特别是糖尿病患者和老烟民,更需要关注下肢血管健康。中医调护是治疗下肢动脉闭塞不可或缺的一环,其精髓在于「养」与「防」 。
如有上述下肢缺血症状,请及时前往专科门诊就诊,早发现、早诊断、早治疗是关键!
好文章,需要你的鼓励