69 岁的陈阿姨平时身体不错,但近日家人发现她不太对劲,眼睛是黄的,皮肤也越来越黄,就如同「小黄人」一般。
陈阿姨也觉得自己身体越来越不对劲,小便颜色逐步加深直至如浓茶一般,于是来到了桂林医学院附属医院肝胆胰外科就诊。
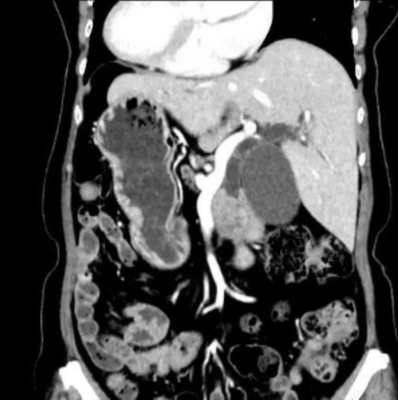
经过相关检查发现,陈阿姨胰腺头部出现了一个直径约 2 cm 的肿瘤,压迫了胰头旁的十二指肠乳头,十二指肠乳头是胆管及胰管的开口,是胆汁及胰液排出的必经之路。
陈阿姨的皮肤黄染正是由于这个「肿瘤」的捣乱,从而导致胆汁无法排入肠道引发的梗阻性黄疸。综合陈阿姨各项临床检查,主要诊断考虑为胰腺癌。
如果不及时解除压迫疏通管道,胆红素将持续在身体内蓄积,导致皮肤瘙痒,并对大脑和神经系统引起不可逆的损害,更重要的是,陈阿姨所患的胰腺癌恶性程度极高,一旦发现,就必须争分夺秒尽早手术根除,防止转移。
根据陈阿姨的病情,进行胰头十二指肠切除术是唯一有可能根治的方法。
但胰头十二指肠切除术需切除胃大部、十二指肠、部分胰腺及胆总管、胆囊,并完成胰肠、胆肠、胃肠的消化道重建等工作,涉及的重要血管及脏器较多。
手术难度高、风险大,稍有不慎就会出现大出血及其他严重后果,术后并发症多,是外科中难度非常高的一项手术。
然而更加棘手的是,各项检查提示,陈阿姨是一名发生率约为百万分之一的心肝脾胃肠等内脏位置 180 度反位的 「镜像人」。为「镜面人」实施如此复杂的手术更是难上加难。

外科医生手术操作习惯和思维模式是在正常解剖的基础上培养出来的,患者胸腹脏器完全反位,其解剖与正常解剖完全相反,所以手术中主刀医生的手术站位与常规完全相反。
手术中主刀医生要时刻保持警惕,不断提醒自己,同时要在与正常人相对应的相反部位进行解剖分离和切除病灶,如果操作不当就会损伤正常器官造成并发症,完成该手术需要术者有扎实的外科基础和娴熟的外科手术技巧。
针对陈阿姨的病情特点,肝胆胰外科全体医生在科主任喻亚群教授的带领下进行了详细的术前讨论,制定了细致的治疗方案,周密的术前准备与患者评估。
在充分的医患沟通并征得患者及家属的同意后,首先由血管介入科吕中元医师为陈阿姨实施经皮经肝胆道穿刺引流术进行引流减黄,待陈阿姨黄疸消退,在麻醉科副主任王刚团队及手术室团队的配合下,由肝胆胰外科副主任刘国兴博士与李江发博士、李铂、彭昊、何孝祥组成的医师团队顺利完成胰头十二指肠切除术。
术中,手术位置从左上腹变成了右上腹,刘国兴博士只能改为逆向手术入路。

「整台手术就像『脑筋急转弯』,手术过程中大家头脑里始终有根弦紧绷着,时刻提醒我们不要按照习惯操作,以免误伤患者的其他组织」刘国兴副主任医师说。
手术按照既定方案顺利完成,然而,医生悬着的心还不能彻底放下。
除了手术过程中的风险,由于胰头十二指肠切除术涉及到消化道重建,术后出现相关并发症的风险也很高,比如术后出血、消化道瘘(如胰瘘)等。若出现消化道瘘,由于消化液具有极强的腐蚀性,极有可能导致大面积的腹膜炎及腹腔大出血,甚至可危及生命。
同时,陈阿姨还对青霉素类、头孢类、喹诺酮类抗生素过敏,一旦术后发生感染可能面临无药可用的窘境。
所幸的是,陈阿姨有医院各专业团队的细致配合:临床药学部为陈阿姨制定详细的围手术期用药方案,重症医学科为陈阿姨麻醉后的复苏保驾护航,康复治疗部及时采用针灸、理疗措施促进肠道恢复,防止腹胀损伤消化道吻合口,肝胆胰外科凌玉谢、周春梅、覃蕊专业的护理团队悉心照料。
陈阿姨恢复良好,在术后不到 48 小时内即可下床行走,72 小时内肠道功能恢复,空肠内滴注营养科为陈阿姨量身配置的肠内营养液,陈阿姨吸收良好,排便通畅,术后恢复很快。
在住院期间,陈阿姨平安度过一道又一道难关,未发生任何并发症,现已出院。
据查询相关报道,这是桂林首例成功完成的镜像人胰头十二指肠切除术。
好文章,需要你的鼓励