脑干被医学界称为「生命中枢」,聚集着控制呼吸、心跳、意识等最核心生命功能的神经核团。脑干出血是致死率、致残率最高的脑血管病,也是后果最严重的出血性卒中,约占脑出血病例的 6%~10%,常见于脑桥,致死率高达 47%~80%。
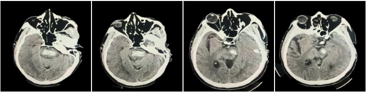
近日,我院成功救治一名 54 岁突发脑干出血患者。该患者因「突发意识不清 2 小时」被紧急送至我院,急诊科团队迅速启动卒中绿色通道,经头颅 CT 检查,确诊为脑干出血约 3 ml。由于脑干位置特殊、功能关键,脑干出血被称为神经外科的「手术禁区」,治疗过程中每一步都关乎生死。
在积极控制血压、给予止血药物治疗后,患者复查头颅 CT 显示出血量增加至 7 ml,病情进一步加重。医疗团队综合评估认为,脑干区域手术风险极高,经与家属充分沟通,最终决定实施个体化保守治疗方案。同时,医院立即组织呼吸科、麻醉科等多学科专家进行联合会诊,共同制定精准、系统的救治策略。

医疗团队迅速构建起覆盖监测、治疗、支持与康复的全方位救治体系。在严密控制血压、规范使用止血药物、积极脱水降颅压的同时,同步开展亚低温治疗以减轻脑水肿,并系统预防坠积性肺炎、应激性溃疡、深静脉血栓等并发症。呼吸科与麻醉科团队协同实施气道管理与呼吸支持,先后进行气管插管、呼吸机辅助通气和经皮气管切开,保障呼吸平稳;同时建立中心静脉及中长导管通路,确保治疗与营养支持顺利实施。在此基础上,充分发挥我院中西医结合诊疗优势,辨证予活血化瘀、醒脑开窍中药,配合针灸治疗,促进神经修复与意识恢复,为患者后续康复奠定坚实基础。



经过医护团队连续多日的精心治疗与密切监护,患者病情逐步好转:意识状态从深度昏迷转为浅昏迷,生命体征趋于平稳,成功度过危险期。目前患者神志呈昏睡状,可遵指令完成眨眼、点头等动作,健侧肢体也能遵嘱运动。康复科专家已介入会诊,为患者制定早期康复方案,包括正中神经肌肉电刺激、全身肌力训练、中枢神经系统疾病推拿等,以促进苏醒和神经功能恢复。
本例危重脑干出血患者的成功救治,充分体现了我院神经外科团队在急危重症领域的专业能力,更凸显了多学科协作在复杂疾病诊疗中的核心价值。我院卒中绿色通道 24 小时畅通,为突发脑血管疾病患者提供快速、精准、高效的救治服务,以实际行动践行「生命至上」的医者使命。
预防脑干出血,应注意节制不良生活习惯,合理调整饮食结构,控制体重,劳逸结合,并定期监测血压、血糖、血脂水平,避免长期处于亚健康状态。对于患有高血压、糖尿病、高血脂等重点人群,应密切监测基础病进展,一旦发现血压异常升高或出现前所未有的头部不适,请立即拨打 120 急救电话。时间就是大脑,时间就是生命!
专家介绍

连成章
神经外科主任
副主任医师
山西省神经外科学会委员
好文章,需要你的鼓励