1 月 10 日,河北医科大学第一医院膝关节外二科,成功完成了河北省首例机器人辅助膝关节单髁置换手术。这标志着河北医大一院膝关节单髁置换手术,在个体化、智能化、精准化上再次取得新的突破!
宁大爷今年 69 岁,但是他腿疼了有十余年,近半年更是明显加重,已经演变到了只要走路就会出现钻心的刺痛,严重影响生活质量。这可急坏了一辈子要强的他,本身他岁数不是很大,以后的日子还很长,如果不能走路,该怎么办呢?
期间也接受过保守治疗,像针灸、贴膏药,甚至是关节腔注射药物,效果都不是很好。
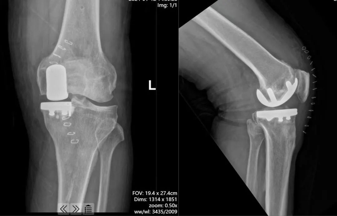
儿子就带着父亲,来到了河北医科大学第一医院膝关节二科,门诊秦永辉医生为他安排 X 线检查。结果提示膝关节内侧,已经到了骨头磨骨头的阶段,如果继续保守治疗,不会有很好的效果,建议手术进行干预。
于晓光主任为患者进行了仔细的查体和一系列术前检查,确定患者前内侧骨关节炎的病变,仅局限在一个间室,可以用微创的单髁置换手术解决。家属经考虑后选择了更加智能化、个体化的治疗方式机器人辅助膝关节单髁置换手术
相较于传统手术方式,术前可以更加精准采集患者的资料,从而实现更加精确的术前设计。


术中机器人的机械臂辅助,定位、打导板的定位孔,借助机器人内部程序和术前规划验证,并可以随时调整手术计划 。手术的精准度,将毫米级的单髁置换手术再提升一个水平。
骨科学科主任刘国彬膝关节外二科主任于晓光带领膝关节二科医生团队,完成了这台超高精度的手术。

好文章,需要你的鼓励