近日,东院区呼吸与危重症医学科主任尚东带领团队成功完成东院区首例「硬质气管镜下硅酮支架取出术」,该手术的成功开展,标志着东院区在复杂气道疾病介入治疗方面取得新突破。

赵阿姨 2023 年因食管恶性肿瘤在外院行手术治疗,术后发生吻合口瘘及气管食管瘘,无法经口进食,并反复出现呛咳、肺部感染,病情复杂危重,随后转入总院区呼吸与危重症医学科,李满祥主任团队成功为其实施「硬质气管镜下支架植入术」,术后恢复良好,可正常进食。


一年前,赵阿姨因支架长期留置引发反复咳嗽、咳痰,肉芽组织增生,虽经气管镜清理后症状暂时缓解,但由于其合并「频发室性早搏、二联律」,心脏情况差,无法耐受全身麻醉,赵阿姨的支架一直未能取出。

今年 9 月,赵阿姨有强烈的取出支架意愿,遂入住东院区呼吸与危重症医学科。入院后影像学提示其气管食管瘘口已基本愈合,具备取出支架的条件,但动态心电图仍显示频发室早,室早二联律,麻醉风险较高。为保障赵阿姨是安全,科室迅速启动多学科协作(MDT)机制,联合麻醉手术部、心血管内科、医学影像科、胸部外科专家进行全面讨论。经充分评估,最终制定手术方案:术前先行「左侧星状神经节阻滞术」改善心律失常,为后续麻醉及手术创造条件。
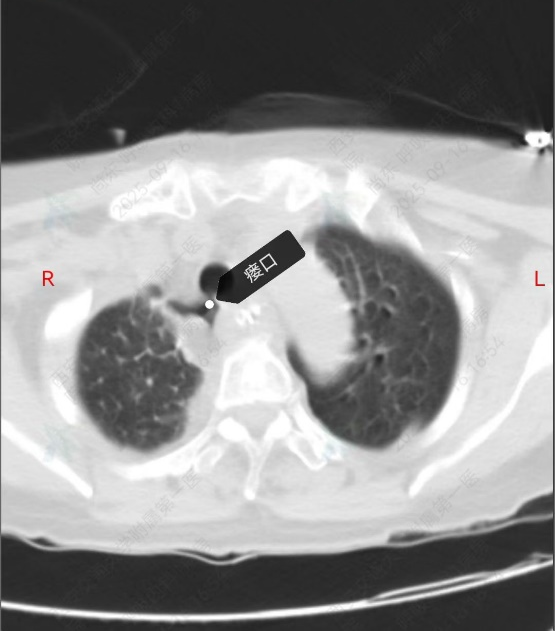
9 月 16 日,在东院区副院长、麻醉手术部主任高巍,副主任医师庞芸全程监护下,尚东主任带领团队成功为赵阿姨施行「硬质气管镜下硅酮支架取出术」。术中仔细清理支架周围感染灶及增生肉芽,完整取出留置两年之久的支架,并确认瘘口愈合良好,手术过程顺利,生命体征平稳。


术后赵阿姨恢复良好,咳嗽、咳痰症状明显缓解,家属对治疗效果非常满意。此项高难度手术的成功开展,不仅体现了东院区呼吸与危重症医学科在硬质气管镜介入治疗领域的娴熟技术,更彰显了东院区以患者为中心、依托多学科协作攻克复杂疑难疾病的综合实力与团队凝聚力。
气管内支架置入术是一种重要的呼吸介入治疗技术,旨在通过植入管状假体来重建气道结构、维持通气功能。其应用需严格掌握适应症并规避禁忌症。
适应症
①恶性肿瘤引起的气道狭窄:如肺癌、食管癌等压迫或侵犯气管、支气管导致的狭窄。
②炎症性疾病引起的气道狭窄:如气道真菌感染、支气管内膜结核等引起的气道壁糜烂、坏死、增厚和瘢痕形成。
③先天性气道发育异常:如先天性气管狭窄等。
④外伤或手术后的气道狭窄:如气管切开术、气管插管术等手术后的气道狭窄。
禁忌症
①无法耐受手术操作:患者存在严重的凝血功能障碍(无法纠正)、血流动力学极不稳定、或预计无法耐受全身麻醉及硬质气管镜操作。
②病变无法通过内镜到达或支架无法覆盖
③临终状态:预期寿命极短,行支架置入对改善生存质量无益。
气道支架是解除气道狭窄的「救命神器」,但长期存留体内则可能转变为「潜在风险源」。气道内支架作为一种特殊类型的气道异物,长期放置可能导致气道内肉芽过度增生、黏膜损伤、支架结构疲劳(断裂或移位),引发咳嗽、咯血、再狭窄甚至感染。因此,在支架完成治疗使命且患者状况允许时,应尽早评估并安全取出。
①出现支架相关并发症:如支架移位、变形、断裂、肉芽组织增生等,导致气道狭窄或阻塞,影响呼吸功能。
②病情改善后支架不再需要:例如因肿瘤压迫气管置入支架,后续肿瘤缩小或消失,支架继续留存可能引发并发症。
本期审核专家

尚 东
总院呼吸与危重症医学科副主任、东院区主任;主任医师、博士、硕士研究生导师。
个人简介:2017 年在加拿大麦吉尔大学维多利亚医院呼吸病研究所做访问学者。第十批中组部援疆干部。中国医生协会呼吸医师分会临床呼吸生理常委;陕西医学会呼吸结核委员会委员;陕西省医师协会呼吸医师委员会委员;陕西省保健协会呼吸委员会常委;中国抗癌协会肿瘤呼吸病学专业委员;中国人体健康科技促进会-呼吸介入专业委员会。
供稿:叶新丽
编辑 :王雯欣
责任编辑:刘炳圻
好文章,需要你的鼓励