
近日,西安交通大学第一附属医院小儿外科曹振杰主任团队联合麻醉手术部,成功为一名 9 岁女童完成单孔腹腔镜下腹膜后巨大肿物切除术,以高超技术为患儿解除病痛,彰显了一附院小儿外科的精湛水平与人文关怀。
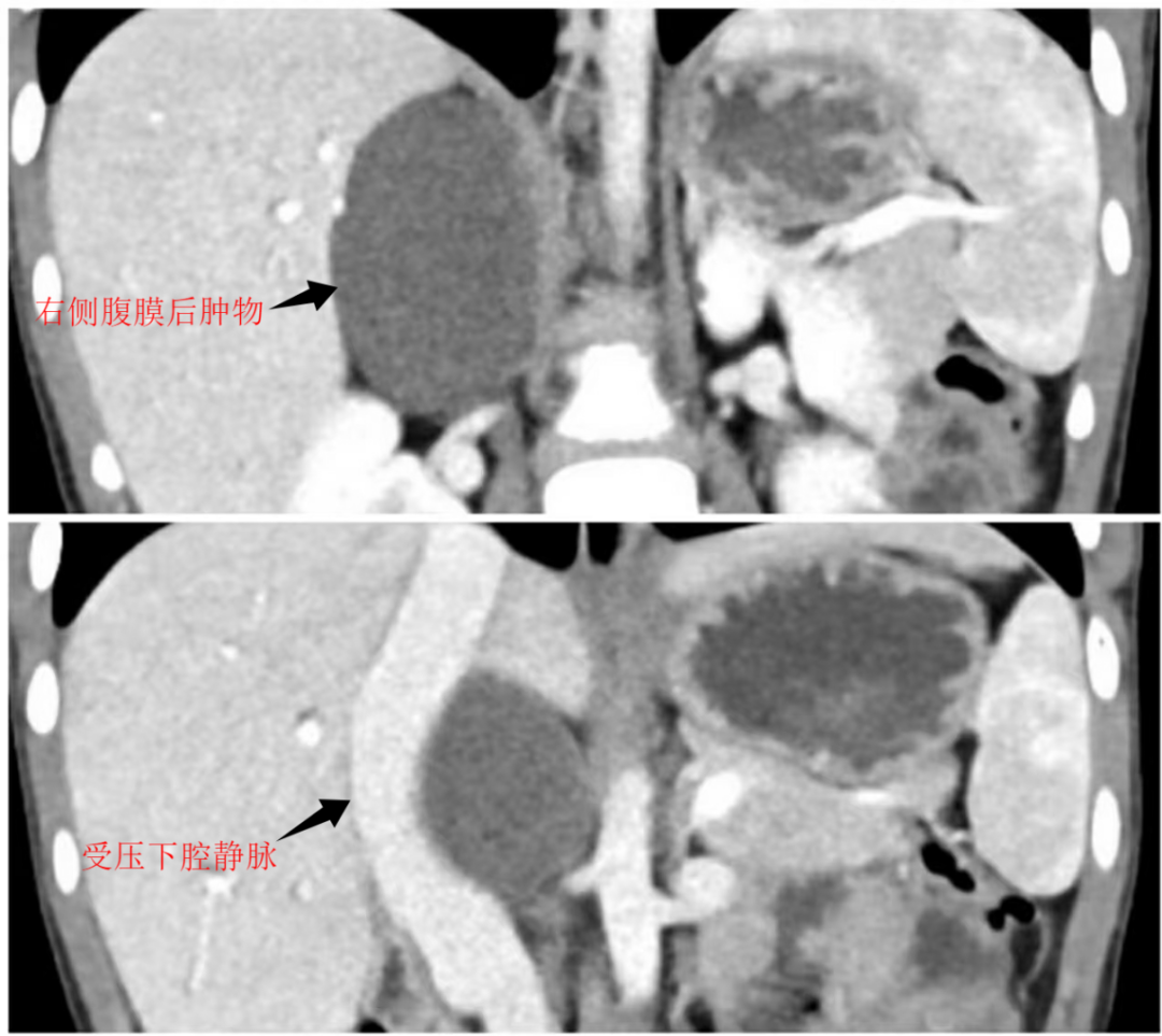
患儿右侧腹膜后巨大肿物,CT 下测量肿物达、57 mm×40 mm×65 mm,并且毗邻解剖复杂----周围脏器血管受挤压均发生不同移位:右侧肾上腺受压移位、与病灶边界不清;下腔静脉受压向右前移位,同时还毗邻肝脏邻近肝右叶明显受压呈弧形;右侧肾脏受压;胰头及十二指肠被向左前挤压移位。复杂的解剖毗邻关系以及肿物巨大的占位效应,加之不明确良恶性,若不及时干预恐引起严重的不良后果(如高血压、肠梗阻、肿瘤侵犯转移等)。然而,患儿腹腔空间狭小,肿物大且深,加之复杂的解剖关系,使得手术风险极高。


为了以最小的代价解决问题,曹振杰主任团队联合麻醉科、影像科等多学科专家,经过严谨的术前评估与讨论,最终决定采用单孔腹腔镜技术实施肿物切除。术中探查见:肿物将胆囊及肝脏向前顶起,右侧肾上腺向右侧挤压推移,下腔静脉与十二指肠被向前挤压推移。肿物系实性椭球形,质地坚韧不能推动,包绕于右侧肾上腺、右侧肾动静脉、下腔静脉及腹主动脉之间。其中右肾上腺静脉横跨肿物表面,且肿物左缘与腰大肌粘连紧密。曹振杰主任团队面对困难,精准操作、仔细分离,最终将肿物完整切除。在此过程中,团队克服了三大难关:
操作空间受限:儿童腹腔较小,且单孔腹腔镜技术下肿物的巨大占位效应使有效操作空间极度狭窄;
血管分离风险:肿物与下腔静脉、肾动静脉及肾上腺血管紧密相邻,稍有不慎可能导致大出血;
脏器保护难题:肿物与周围组织脏器粘连,需精准操作,避免脏器损伤。
凭借丰富的经验和娴熟的技术,团队通过单孔腔镜技术完整切除肿物,以最小的创伤为患儿解决了病痛。
术后经过对症治疗,患儿已顺利康复出院。单孔腹腔镜技术的优势在该案例中得到充分体现:

专家呼吁:儿童定期体检至关重要
曹振杰主任提醒家长:「儿童腹膜后肿物早期常无典型症状,多数通过体检偶然发现。此次病例若非体检及时检出,肿物可能继续生长并引发严重并发症。」建议每年为孩子进行腹部超声检查,尤其出现腹痛、不明原因高血压或发育异常时更需警惕。
交大一附院小儿外科始终秉承「微创化、精准化、个体化」理念,此次高难度手术的成功,标志着团队在儿童复杂肿瘤微创治疗领域再上新台阶。未来,科室将继续探索技术创新,为更多患儿提供安全、高效、温情的医疗服务。
好文章,需要你的鼓励