发布于:2020-10-14
原创

关于癌症,这三点你一定要知道!

目前人类还没有彻底攻克癌症这道难题,因此,通过远离癌症风险因素来预防癌症发生,是减少国人癌症负担的重要途径。

癌症可以有效预防,远离发病风险

中国是世界癌症大国,全球每年癌症新发病例中,约四分之一来自中国。不得不承认,目前人类还没有彻底攻克癌症这道难题,因此,通过远离癌症风险因素来预防癌症发生,是减少国人癌症负担的重要途径。

2019 年 2 月,国家癌症中心、中国医学科学院肿瘤医院陈万青教授等在《柳叶刀》子刊 Lancet Glob Health 上发表一项研究,对国内 22 个省、4 个直辖市及 5 个自治区潜在可改变的致癌风险因素进行了系统分析,将选定的 23 个风险因素分为五个类别:行为、饮食、代谢、环境和传染病来源。

行为因素:吸烟、二手烟、饮酒、缺乏运动等。

饮食因素:水果摄入量较低、蔬菜摄入量较低、低膳食纤维摄入、低钙饮食摄入,以及红肉、加工肉制品、盐腌制蔬菜等。

代谢因素:超重、糖尿病等。

环境因素:PM2.5、紫外线照射等。

感染因素:幽门螺旋杆菌,HBV、HCV、HIV、HPV、EB 病毒,华支睾吸虫以及人类疱疹病毒 8 型等。

 

癌症可以早期筛查发现、治疗

前不久,应盛诺一家邀请,日本著名癌症专科医院——癌研有明医院癌症筛查中心主任、日本知名内科专家&内窥镜专家土田知宏,在长江商学院北京校友会健康系列讲座上分享了《癌症早期发现的秘诀》。

土田教授分享道,通过癌症筛查早期发现癌症,对症治疗,可预防因癌症而造成的生命损失。

那么,具体如何筛查能够早期发现癌症呢?土田教授分享了癌研有明医院是怎么做的。


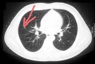
1、肺癌筛查:超低剂量 CT

2015 年,癌研有明医院体检中心引进了超低剂量 CT,辐射剂量从 1.54 mSv 降为 0.40 mSv;2016 年经过调整拍摄条件,进一步将剂量降低到 0.12 mSv,达到与 X 光片同样程度,但效果却远远优于 X 光片,可发现毫米级的肺部肿瘤。

关于癌症,这三点你一定要知道!

5 mm 大的微小肺癌


2、胃癌筛查:无痛胃镜、幽门螺旋杆菌检查、钡餐检查

胃镜检查是诊断胃病的金标准,对于肉眼观察不明显的位置,还可以放大和染色来进一步辨别。高质量的胃镜检查非常需要检查医生的经验和耐心。

关于癌症,这三点你一定要知道!

染色后与周围表现异常的早期胃癌


3、食道癌、喉癌筛查:内窥镜

现在,对于内窥镜医生来说,喉咙并不只是一个通过点了,使用 NBI 技术可以发现早期癌。这个部位如果发现晚期癌的话,手术结果会导致失声,因此可以在早期就发现可以保声对患者是非常有意义的。


4、大肠癌筛查:无痛肠镜、便潜血、大肠 CT 检查

在日本,大肠癌每年都在增加,更是女性死亡原因的头位。常规的便潜血检查非常简便,但阳性者的精密检查率较低。如果能用肠镜检查,可以发现早期的大肠癌,且 5 年相对生存率接近 100%,是有机会可以治疗的。

做肠镜检查时,为了清洗干净大肠,受检者需要喝 2L 左右的泻药提前做准备,而且部分女性受检者可能会感觉到羞涩。对此,癌研有明医院体检中心也引入了大肠 CT 检查。受检者只需要内服一片泻药和一瓶 120 mL 的显影剂就可以了。

但是,如果只考虑检查效果,还是建议选择做一次肠镜。


5、乳腺癌筛查:钼靶检查、超声波检查

钼靶检查都能显示出细微的钙化,敏感度为 80%~90%,效果良好。在癌研有明医院体检中心,会使用钼靶+超声波,一起进行乳腺癌筛查。因为对于乳腺发达的人群、年轻人,超声波检查将更有效。

如果不满 35 岁,可以只接受超声波检查。

 

6、子宫癌筛查:宫颈细胞诊、子宫内膜部细胞诊

虽然都是子宫癌,但宫颈癌和子宫内膜癌从发生部位、发病年龄、风险增加的年龄段等都完全不一样。通过宫颈细胞诊筛查宫颈癌,诊断率较高;但宫颈检查对子宫内膜癌的正确率只有 50%,需要追加子宫内膜部细胞诊为好。

 

7、肝癌筛查:肿瘤标志物、AFP 检查、超声波检查

95% 的肝癌患者都是乙型/丙型肝炎病毒的感染者,通过肿瘤标志物和 AFP 检查并用,可以有效提示肝癌风险;此外,超声波检查可以扫描出 10 mm 以上的肿瘤。

 

8、胰腺癌、胆囊癌、胆管癌筛查:CT、MRI 检查

胰腺癌、胆囊癌、胆管癌是消化器官癌症的难点,早期时验血检查会显示为正常,而且根据受检者的体型,超声波检查有时也很难发现,因此早期发现比较困难。这种情况,建议接受 CT 或 MRI 检查等。

 

9、甲状腺癌筛查:验血(甲状腺功能)、超声波检查

甲状腺癌根据组织形态,有时进展缓慢,只需要定期观察。

 

*声明:本内容仅代表文章来源方观点,不代表本站立场。本内容仅供医学药学专业人士阅读,不构成实际治疗建议。

推荐阅读

合作咨询