「高压超过 180」「四肢无力」「头晕」...... 当这几个名词聚集到一个 55 岁的男人身上时,会发生什么?
「回想起自己之前患病经历,到现在都感觉后怕!」2023 年 2 月 13 日下午,在郑州大学第三附属医院(省妇幼保健院、省妇女儿童医院)神经外科的病房里,来自汝州市的老张在和神经外科主治医师王向辉倾诉自己的故事时。
症状
老张长期在当地建筑队工作,2016 年底,正在工地干活的张先生,感觉左侧半身乏力还伴有头晕的症状。
因患有高血压,开始老张并没有在意 ,直到发现自己嘴歪后,才赶紧在工友的陪伴下到当地医院就诊。
经诊断,老张患有脑梗塞(中风),遗留左侧肢体轻偏瘫,后经过住院治疗和中药治疗后恢复正常,但身体需要长期服用降血压、抗凝、改善脑循环等药物治疗。
脑梗塞好了以后,老张还像往常的日子一样,偶尔早晨起床有左侧身体麻木的情况,活动一会儿,症状就会消失,而原本需要长期坚持服用的药物,他在坚持了一段时间后,就开始断断续续,想起来吃,想不起来不吃。
1 月 26 日,正在家过年的老张,老感觉头晕、浑身没劲且面部通红充血,家人结合老张之前的身体情况,当下决定到当地医院检查,发现老张双侧颈动脉有斑块,颈内动脉闭塞,情况又变得十分危急。
老张说,他是家里的「顶梁柱」,可不能倒下。在当地医院治疗了一段时间后,2 月 2 日,老张在家人的陪伴下来到郑州大学第三附属医院找到了神经外科主任单峤,单峤经过详细的查体、询问病史,大致判断患者颈内动脉闭塞及伴随其他脑血管病变引起脑供血障碍可引起相关的症状,但要明确颅内血管病变严重程度,还需要住院做进一步检查。
手术
收治入院后,单峤安排老张做了全脑血管造影,同时,召集神经外科、影像科、介入科等团队联合会诊,结合造影结果,对他的病情进行充分评估,最终诊断患有双侧颈内动脉闭塞疾病。
目前,双侧颈外动脉通过颞浅动脉分支向颅内代偿供血,左侧椎动脉开口轻度狭窄,右侧椎动脉开口处重度狭窄,情况不容乐观,需要尽快进行神经介入手术。
神经外科主任单峤告诉患者,双侧颈内动脉闭塞,主要依靠双侧椎动脉颅内代偿供血,而右侧椎动脉严重狭窄,导致脑供血不足,一旦狭窄进一步加重,会引起严重后果,需尽早接触狭窄,改善颅内供血。
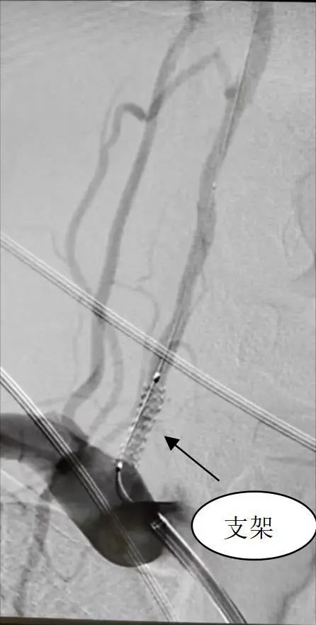
结合老张的情况,单峤带领的介入团队制定了手术方案,双侧颈内动脉闭塞无法挽回,计划实行右侧椎动脉狭窄球囊扩张及支架植入术,保障颅内代偿供血顺畅。
但因老张右侧椎动脉起始处极度狭窄及迂曲,常规方法微导丝难以通过,手术时,单峤果断换用多功能微导管导向,置入长交换微导丝顺利放入球囊扩张支架,再次造影见右侧椎动脉开口处狭窄明显改善,残余狭窄程度<10%,支架位置良好,手术顺利完成。





目前,老张左侧肢体肌力恢复正常,左侧感觉障碍消失,正住院接受康复治疗,进一步恢复后,可以出院正常生活。
专家这样说
神经外科主任单峤提醒患者,颈内动脉、椎动脉血管狭窄或闭塞是造成脑梗塞的一个重要因素,血管狭窄或闭塞后使得脑供血减少或中断,大脑组织就会因缺血产生功能性障碍;除此之外,大部分的脑血管闭塞都是在动脉狭窄的基础上不断加重,粥样硬化斑块不断增生,最后完全堵塞动脉管腔。
如果出现短暂或反复的脑缺血发作,如头晕、恶心、呕吐、头晕头痛、肢体麻木、偏瘫、言语障碍、视物不清、口歪眼斜等症状,要及时到医院就诊,明确病因,及时治疗。
除此之外,日常生活中要注意健康饮食,监测血压、血糖、血脂,戒烟、戒酒,合理运动,避免熬夜,保持良好睡眠,才能保持健康,远离疾病。
单峤主任简介:

单峤,主任医师
硕士生导师,神经外科主任
好文章,需要你的鼓励