整整两个小时,在陈祥等主任,主刀翟韶兵、胡斌等医师的默契配合下,小南瓜一般大的肝脏巨大肿块被完整取了出来……
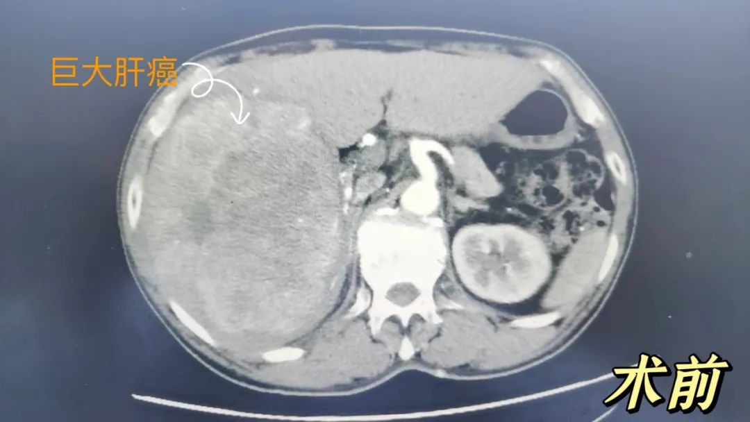
时间回到 2023 年 5 月,63 岁的农民王大伯因「乏力一月」去医院检查,竟然查出:肝脏占位,考虑巨大肝癌;腹腔积液。AFP>20000.0ng/ml。
患者既往有卖血史,「慢性丙型肝炎、慢性乙型肝炎」病史 20 余年。外院考虑手术难度大,风险高,建议介入保守治疗。
王大伯找到句容市人民医院普外科陈祥主任医师。这么大的肿瘤确实罕见,在仔细阅读 CT 片后,陈祥给王大伯吃了「定心丸」:王大伯肝功能 Child 分级
(肝硬化患者肝脏储备功能进行量化评估的分级标准 )B 级,未见明显肝硬化。目前肝右叶占位性病变考虑原发性肝癌,虽病灶巨大,但未见侵犯腔静脉、门静脉未见明显癌栓,可以手术切除。
入院后对王大伯的病情进行更全面的评估,给予增加肝脏储备功能、补充白蛋白、利尿等措施,改善患者肝功能。并请感染科、介入科、肿瘤内科、影像科等进一步多学科讨论(MDT),认为病灶可行切除。


经过仔细的术前讨论及充分的术前准备,制定了详细的治疗方案及手术应急预案,一切为了确保手术安全。
术中探查:肝右叶明显肿物,大小约 18×15×15 cm,足足一个小南瓜般!
分离肝圆韧带、切断肝镰状韧带、显露第一肝门、分离结扎肝右动脉、游离肝十二指肠韧带……手术刀在距离肿瘤 1.0 cm 处切开肝脏包膜,组织剪深入肝实质内,贴着肝脏肿瘤钝性分离。肝短静脉、肝右静脉、右肝管及肿瘤的营养血管分别予丝线结扎后切断,直至肝右叶完整切除。术中出血 400 ml,肝门总的阻断时间 30 分钟,手术时间 2 小时。

术后病理显示:肝细胞性肝癌,III 级。
癌组织紧邻肝被膜未见突破,切缘未见癌组织残留。
在医护人员的精心治疗及护理下,王大伯术后恢复良好,很快出院。目前已经进入化疗、靶向药物治疗等综合治疗阶段。
陈祥主任医师介绍:肝癌的治疗方法大致有三:第一,肝硬化不很严重,Child 分级 A 级或 B 级(经短期护肝治疗后肝功能恢复到 A 级),肿块局限左或右叶,一般能手术尽量手术切除;或先介入治疗 1-2 次后肿块缩小后再手术(但需注意介入对肝脏的影响)。其次,不能手术者,常选介入治疗,碘油沉积好者效果也不错。但是如有门脉栓塞者慎重,广泛门脉栓塞者,介入治疗后有可能引起肝功能严重损害而恶化,加速死亡。第三,肝癌局部治疗,主要是微波及射频治疗,其主要针对较小肿瘤,对大肿瘤,彻底灭活较困难。
好文章,需要你的鼓励