近日,华润武钢总医院卒中中心再攀技术新高峰,成功开展院内首例经桡动脉入路大脑中动脉取栓术。这一技术突破,不仅标志着医院在复杂血管条件下急性缺血性卒中救治能力的跨越式提升,更为血管重度迂曲的患者带来了更高效、安全的治疗新选择。
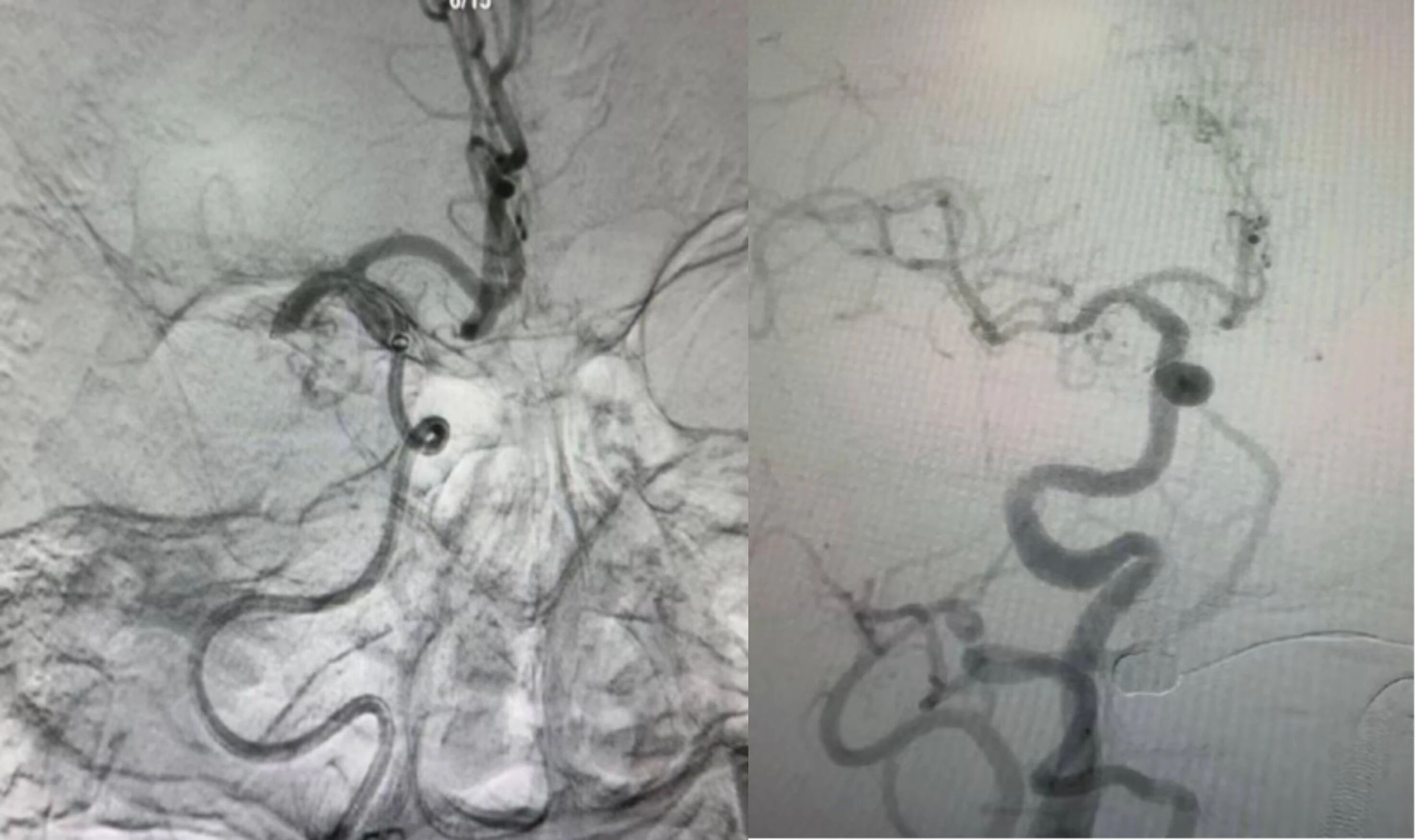
62 岁的王先生突发意识不清、左侧肢体无力,发病仅 2 小时便被紧急送至医院急诊科。卒中中心团队迅速响应,经颅内 CT 检查排除出血后,评估患者 NIHSS 评分 18 分,左侧肢体肌力 0 级,情况危急。磁共振检查确诊为右侧额颞枕顶叶及基底节区急性大面积脑梗死,右侧大脑中动脉重度狭窄或闭塞。团队立即为患者实施静脉溶栓,但因血管闭塞严重,溶栓效果未达预期。

当机立断改通路:
· 常规取栓需经股动脉穿刺,但患者右侧无名动脉开口过低,常规通路建立屡屡失败。时间就是大脑。每拖延一分钟都可能导致不可逆的神经损伤。
神经内科闵汇刚主任医师当机立断,决定改用桡动脉入路。通过西蒙导管成袢技术,团队成功建立血管通路,运用 SWIM 抽拉结合技术精准取出新鲜血栓。术后复查造影显示闭塞血管完全再通,且无颅内出血等并发症。
经过后续精心治疗与护理,王先生现已意识清晰、言语流利,四肢活动恢复正常,生活可完全自理。此次采用的经桡动脉入路技术,具有显著临床优势:术后止血便捷,能有效降低股动脉假性动脉瘤等并发症风险,更能解决股动脉穿刺无法到达责任血管的难题,大幅提升患者治疗安全性与舒适度。


此次首例经桡动脉取栓术的成功,彰显了华润武钢总医院卒中中心的快速响应能力与精准救治水平。医院将持续精进技术,为广大脑血管病患者提供更全面、优质的医疗服务,守护市民生命健康。
专家简介

闵汇刚 神经内科主任
主任医师
武汉科技大学教授及硕士生导师
好文章,需要你的鼓励