交代背景
7 岁男孩,腹痛 1 天,发热半天,就诊于外院儿科门诊,查体右下腹压痛明显,腹部超声提示阑尾炎、阑尾粪石,血常规提示血项高;外科会诊建议手术切除阑尾。家属辗转就诊于消化内科,家属愿意接受内镜治疗,安排绿色通道入院。
战场侦查
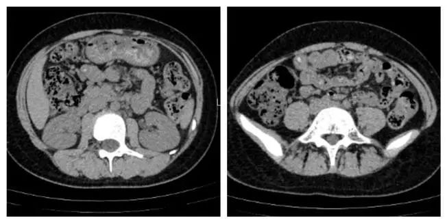
腹部 CT 提示急性阑尾炎并粪石形成。血常规提示白细胞显著增高,感染指标明显增高。

制定计划
今天下午在导管室利用「eyeMax」洞察辅助行内镜下逆行性阑尾炎治疗术。
粮草先行
内镜主机、子镜主机、C 臂机、相关器械准备。
清理航道
积极肠道准备。
航母到位
操作短镜抵达盲肠,见阑尾内口黏膜略充血。

舰载战机
通过短镜操作孔道置入子镜,刘鹏飞主任操作子镜进入阑尾腔,阑尾腔中段见管腔变窄,狭窄处见多枚粪石嵌顿。
集中清理
经子镜以生理盐水反复冲洗,清理出较多脓液、大量粪渣,子镜越过粪石抵达阑尾盲端,见阑尾远段黏膜广泛苍白、水肿,局部黏膜呈紫红色,黏膜表面有大量絮状脓苔附着,与超声术前判断完全符合。

精准打击
经子镜反复冲洗阑尾腔,由操作孔道置入超细取石网篮,直视下兜取粪石,收束网篮,固定后随子镜退出阑尾腔。

空中预警
在 X 线动态监测见粪石清除,造影提示阑尾腔通畅,造影剂无外渗。

战场收尾
置入斑马导丝,退出子镜,置入阑尾支架。

凯旋而归
X 线确认支架位置合适,退镜结束治疗。术后小朋友自述腹痛明显缓解,术后第一天查房,小朋友腹痛消失,活动自如,感染指标下降;术后第三天复查阑尾支架位置良好,支架通畅,家属对于治疗效果非常满意。

该病例是延大附院消化团队第 2 次将子镜应用于阑尾炎内镜治疗,第 1 次直视下以超细取石网篮套取粪石后取出。
阑尾炎常见,常规外科手术切除是不得不为的最后选择。阑尾腔是人体消化内镜的最后盲区,结肠镜置入子镜可进入阑尾腔,将最后的盲区一览无余,清晰显示,全方位无死角查看阑尾腔内情况,并以合适的方式取出粪石,解除阑尾腔梗阻,有效治疗阑尾炎。我们将阑尾炎内镜治疗技术,与 X 线造影技术和「eyeMax」洞察系统子镜技术相结合,为急性阑尾炎的治疗,提供更优选项。
好文章,需要你的鼓励