发布于:2020-05-19
原创

做 CT 时憋没憋气能看出来吗?

在心脏 CTA 检查中,需病人配合屏住呼吸,这是为了防止在扫描过程中呼吸引起胸廓起伏,在重建图像时产生错层、模糊伪影,连接不起来,如果控制不好呼吸,检查相当于白做,无法诊断。

有一次,一个刚做完胸部 CT 的患者问医生:「 憋不憋气你们能看出来吗?」

这个问题问的非常好,应该有很多人都会有这样的疑惑,憋不憋气能看出来吗?为什么要憋气?不憋气会怎么样?

憋气的原因

CT 照胸部和腹部时一般都要让患者深吸气憋气,是为了让肺泡充盈,肺部视野更加清晰。(如图 1)

做 CT 时憋没憋气能看出来吗?

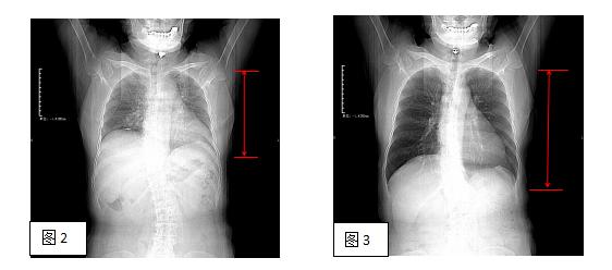
那么之所以要憋气是因为呼吸时膈肌上下移动,从而引起肺部和腹部器官上下移动。(如图 2、3)

做 CT 时憋没憋气能看出来吗?

不憋气的影响

不憋气的话照出来的图像会有不同程度的模糊,造成假象影响观察;就像拍照,人动的话照出来的图像就会不清晰,可能是如下这样的。(如图 4、5,箭头标记处所示不憋气出现的重影)

做 CT 时憋没憋气能看出来吗?

更有甚者,也可能是这样的:(如图 6、7)

做 CT 时憋没憋气能看出来吗?

但是,如果是 16 排以上的螺旋 CT,因为扫描速度很快,不憋气的话影响也是比较小的,本院用的是 64 排 CT,患者不憋气照出来的图像也比较清晰;也好比是高档的相机,能够捕捉移动的镜头。所以不用太担心,如若患者意识不清或因疾患不能很好的配合憋气动作,医生也能分辨出那些是病变,那些是因为呼吸引起的模糊。

另外,不同位置的 CT 对于是否憋气有不同要求,如果是胸部的 CT,一般需要深吸气憋气,这样才可以让肺部尽可能的打开,肺泡充盈,肺部视野更加清晰,减少不必要的模糊伪影;做心脏造影对于憋气是比较严格的。

在心脏 CTA 检查中,需病人配合屏住呼吸,这是为了防止在扫描过程中呼吸引起胸廓起伏,在重建图像时产生错层、模糊伪影,连接不起来,如果控制不好呼吸,检查相当于白做,无法诊断。

所以,在扫描过程中要积极配合才可。如果是头、上肢、下肢等位置的 CT 对于呼吸影响非常小,这种情况就是不需要憋气的。

憋气时间长短

对于 CT 扫描屏气的时间长短,每个人有略微的差别。这主要是取决于扫描范围,扫描的范围越长,那么扫描时间也就越长,屏气的时间自然也要长,反之亦然。

综上所述,不仅憋不憋气能看出来,吸气、没吸气也能看出来。采集标准清晰的图像是每一个影像工作人员的坚守,精准书写每一份报告是每一个影像人的责任,当然这其中的功劳少不了每一个患者的配合。

*声明:本内容仅代表文章来源方观点,不代表本站立场。本内容仅供医学药学专业人士阅读,不构成实际治疗建议。

推荐阅读

合作咨询