患者蒋爷爷今年 90 岁高龄,因「双髋疼痛 20 余年,双膝疼痛 2 年」入院,入院时无法行走,由家人轮椅推入病区。
爷爷称自己经常头晕,上下肢体无力,经检查竟意外发现脑出血情况,紧急转入神经疾病科。

入科时,蒋爷爷神清语晰,自述「头痛」,神经疾病科史树贵教授团队判断四肢肌张力正常,右侧上下肢肌力 3 级,左侧肢体肌力正常,肢体痛觉对称存在。
最终诊断结果为:
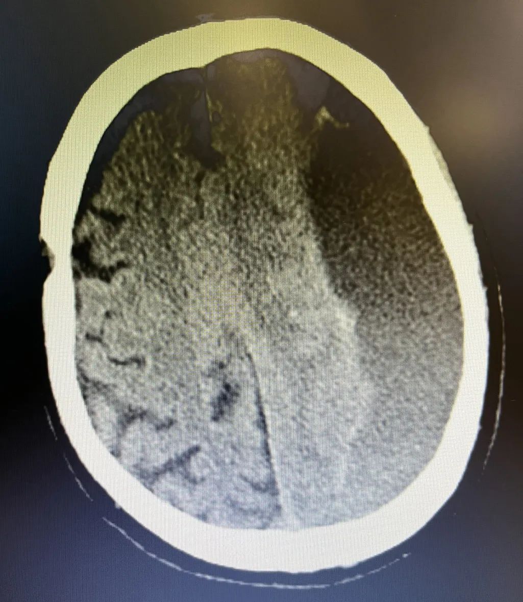
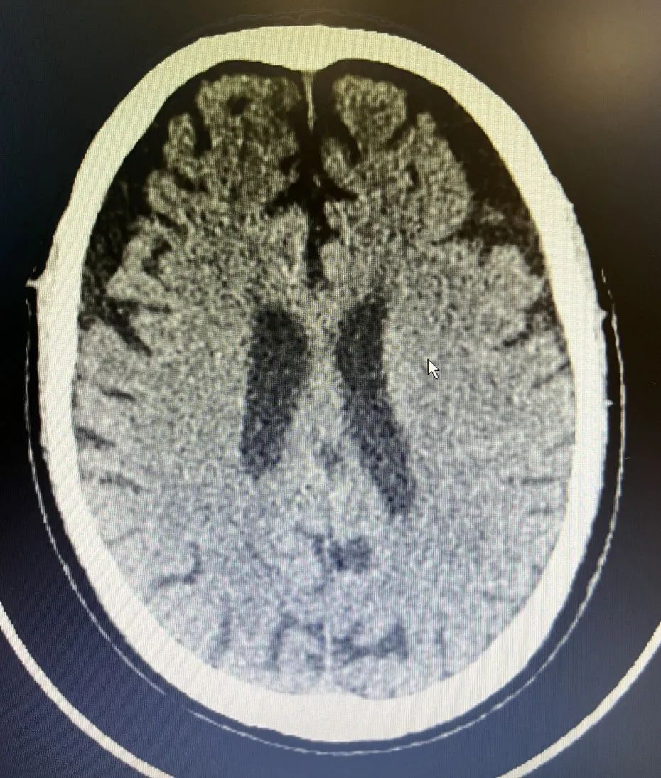
1. 左侧额顶颞枕部慢性硬膜下血肿伴大脑镰下疝形成。
2. 右侧额顶部硬膜下血肿
3. 双侧髋关节骨性关节病
4. 股骨头无菌性坏死(双侧)
爷爷脑部血肿体积较大且脑疝形成,不及时手术治疗便会引发生命危险。
病情十分紧急,蒋爷爷入科后立刻执行神经外科一级护理,立即安排在局麻下进行急诊硬脑膜下钻孔引流术。
由于患者已是 90 岁高龄,做脑部手术风险大,且容易复发,再次脑出血引发血肿,病人家属及医护们都为他揪心着。
来不及半分耽误,神经疾病科副主任医师叶信珍亲自操刀进行手术,带领团队顺利清除部分血肿,并且保留引流管持续引流。术后蒋爷爷安返病房。

术后恢复期,蒋爷爷积极配合治疗,在医护人员的悉心照料下,生命体征较稳定。
好文章,需要你的鼓励