在青春的赛道上,13 岁本应是如初升太阳般绚烂的年纪——足球场上的追风奔跑、课堂里的专注眼神,都该是这段时光最生动的注脚。
但对于小熙(化名)来说,一场突如其来的疾病,却让他从活力少年骤然坠入生命的深渊。
从确诊脑癌到陷入昏迷,前后不过 13 天。万幸的是,京滇两地专家联手攻坚,用专业与坚守,在这场与死神的拉锯战中,为小熙撬开了一道弥足珍贵的希望缝隙。
11 月初的足球场上,小熙还在和队友们肆意挥洒汗水,奔跑、传球间满是少年的活力。可这份活力没能持续太久,他开始频繁觉得眼花,看东西模糊不清,家人连忙带他配了新眼镜,症状却丝毫没有改善,甚至还发现小熙目光变得越来越呆滞。11 月 17 日,家人带小熙到当地医院做了详细检查,而这张检查单,彻底改写了他的人生轨迹。
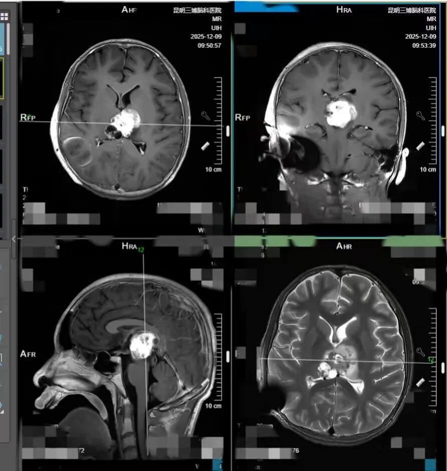
检查结果赫然显示:大脑第三脑室占位性病变,初步考虑为生殖细胞瘤,且肿瘤已伴出血,体积十分巨大,压迫着整个大脑中枢。确诊的消息如同惊雷,而小熙的病情更是急转直下——短短三天,他的手脚开始无力,连饭碗都端不稳。11 月 20 日,小熙被紧急转往昆明接受治疗,医院立即启动脱水、放疗等对症处理,可死神的脚步并未放缓。治疗期间,小熙的意识逐渐模糊,最终陷入昏迷,癫痫发作更是频繁且难以控制。
12 月 1 日,昆明三博脑科医院院长、首都医科大学三博脑科医院副院长、国内知名脑肿瘤专家张宏伟教授将在昆明坐诊。为了抓住这最后的希望,11 月 30 日,小熙被紧急转入昆明三博脑科医院。

入院后的加急检查,结果比预想的更棘手。「肿瘤位置极差,跨越了中脑、丘脑、第三脑室和双侧脑室,考虑是混合生殖细胞瘤,不仅体积大、血运丰富,已经出现出血情况。」张宏伟教授拿着检查报告,向小熙母亲详细解释,「这么大的肿瘤压迫着关键脑组织,才引发了昏迷、癫痫、脑积水、颅内压增高等一系列并发症。其实孩子两个月前就该出现症状了,比如头疼、视物模糊、耳鸣、反应迟钝等就是典型信号。」
听了张教授的介绍,小熙的母亲才反应过来,原来孩子 10 月份出现的头疼,并不是感冒;而 11 月初出现的眼花看不清楚也不是视力下降,11 月中旬出现的反应慢、走路不稳已经是肿瘤的加强预警信号。
惋惜之余,张宏伟教授迅速给出判断:「如果能早一个月发现并干预,还能有手术切除的机会。但现在病情进展太快,已经错过了手术时机。放疗起效需要一定的时间,孩子的情况根本等不起,当下唯一的出路,就是利用肿瘤对化疗的敏感度,先通过精准化疗缩小肿瘤,让孩子恢复意识,才能为后续治疗争取空间。」
时间就是生命。张宏伟教授立即牵头,组织昆明三博脑科医院相关科室骨干与首都医科大学三博脑科医院化疗专家开展多学科会诊,反复研讨后敲定了精准的化疗方案。12 月 1 日下午,小熙就顺利接受了第一次化疗。

化疗过程如同在刀尖上行走,医生团队全程严密监测小熙的生命体征,根据小熙的身体反应精细调整药物剂量,每一个决策都慎之又慎。幸运的是,化疗之路比预想中平稳。随着肿瘤开始逐渐缩小,脑积水得到缓解,颅内压也慢慢恢复正常,小熙的意识开始苏醒——从毫无反应的昏迷,到能睁开眼睛的嗜睡,再到后来可以清晰应答、自主进食,甚至能下床活动。
小熙的案例并非个例,临床上,很多儿童脑肿瘤都难逃「发现即晚期」的困境。究其原因,往往是家长将孩子早期出现的、看似普通的症状,误判为「感冒」「挑食」「调皮」,任由肿瘤在孩子颅内悄悄生长、恶化,等到症状明显时再就医,常常因治疗选择有限降低生存期和生活质量,甚至彻底错过了最佳治疗时机。
儿童脑肿瘤的早期症状可能并不典型,但只要家长细心观察,就能发现异常。结合小熙的案例及临床经验,这些信号一定要警惕:
视力下降:如小熙一般,无明显诱因的视力下降、视物模糊,配镜后也无改善,需警惕颅内肿瘤压迫视神经。
头痛呕吐:尤其是清晨起床时头痛明显,伴有喷射性呕吐,可能是颅内压升高的表现。
精神异常:孩子突然变得嗜睡、烦躁不安、反应迟钝,或出现无故哭闹、情绪波动大等情况。
运动障碍:走路不稳、肢体无力、频繁摔跤,或出现肢体抽搐、癫痫发作。
发育异常:年龄较小的婴幼儿可能出现头围异常增大,或生长发育迟缓、性早熟等情况。
平衡失调:出现站立不稳、容易眩晕,或动作协调性明显下降。
张宏伟教授提醒,儿童脑肿瘤并非「绝症」,早期发现、规范治疗,很多孩子都能获得良好的预后。如果孩子出现上述异常症状,一定要及时到正规医院的神经外科或儿科就诊,通过头颅 CT、MRI 等检查明确诊断,避免延误治疗。
好文章,需要你的鼓励