60 岁的刘女士 10 个月前,发现自己左下颌长了一个肿块,检查怀疑为恶性肿瘤,在医师指导下进行了手术治疗,病理诊断为左侧口咽中-低分化鳞癌。术后进行了常规化疗及放射治疗,本来以为病情逐渐好转,没想到仅 10 个月后,在复查肺部 CT 时,又发现双肺多发小结节,结合病史,医生建议尽快进行明确诊断,如发生肺转移,需尽快进行规范治疗。
60 岁的刘女士入院前 10 月,因扪及左下颌肿块于外院就诊,诊断考虑恶性肿瘤并行外科手术切除,术后组织病理学提示:左侧口咽中-低分化鳞癌,术后分期:T3N2bM0 IVA 期。
术后以 TP 方案化疗及外放射放疗多次,随访复查病情评估完全缓解 CR。
2 个月前刘女士复查胸部 CT 提示:双肺多发小结节,医生说,结合病史不除外肺转移。
于是刘女士找到到重庆松山医院肿瘤科杨志祥主任,希望能得到有效治疗方案。
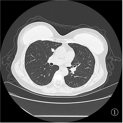
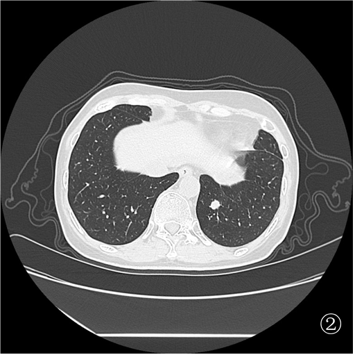
为进一步明确诊断,制定后续治疗方案,杨志祥主任组织讨论后拟行 CT 引导下肺占位穿刺活检,由于右肺占位(图①)毗邻升主动脉及肺动脉,初步拟定行图②左肺占位穿刺活检。


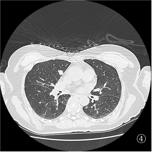
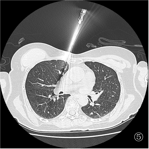
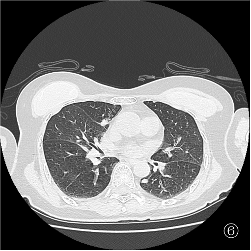
患者俯卧定位扫描(图③):由于胸腔及肺组织受压,左肺占位距离膈肌<1 cm,行穿刺活检必然损伤膈肌,可能造成严重并发症。于是决定经胸前穿刺右肺占位活检(图④),但由于病灶小于 1 cm 且邻近大血管,必须精准制导(图⑤)。穿刺后扫描局部少许出血,未见气胸(⑥)。




穿刺组织病理及免疫组化结果出来后,医生结合病史,患者诊断口咽鳞癌伴肺转移明确(T3N2bM1 IVC 期)。根据规范化、个体化治疗原则,杨志祥主任团队为刘女士制定了个性化抗肿瘤治疗方案。

抗肿瘤治疗后两个周期复查,患者肺部转移灶明显缩小,肿瘤评估部分缓解 PR。


杨志祥主任告诉我们,此例患者取得良好效果,得益于抗肿瘤治疗前明确诊断:患者肺部占位关系诊断及分期,故须活检明确。
难点在于肺部占位较小(均<1 cm), 左肺占位穿刺相对安全,但由于俯卧位时病灶邻近膈肌,穿刺势必损伤膈肌。右肺占位穿刺风险较大(邻近重要大血管),故穿刺术前须精准定位,穿刺时须精准制导。另外,明确诊断后严格遵循循证医学证据科学治疗。
好文章,需要你的鼓励