今年 60 岁的张大叔(化名)半年前突然感到声音嘶哑,说话费力。想着自已平日身体硬朗便完全没放在心上,抽烟饮酒也一如既往,直至声音越来越哑、吐词不清,感觉都不是自己在说话,到当地医院检查后,纤维喉镜发现,张大叔的喉腔右侧室带、声带新生物样隆起,表面粘膜不平整,且右侧声带完全固定。


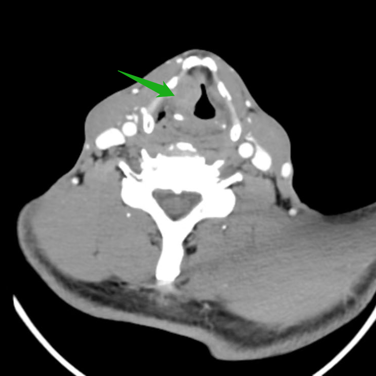
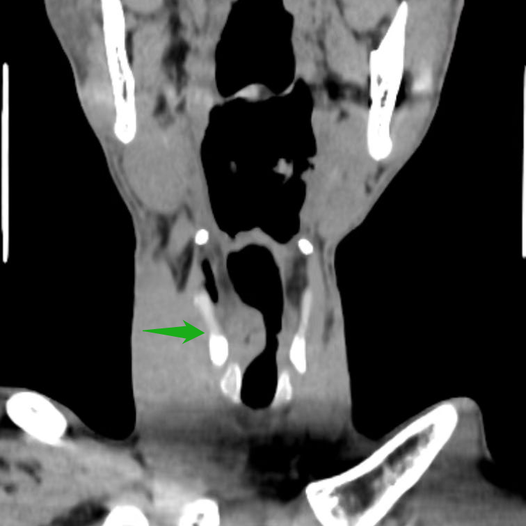
医生考虑喉新生物为恶性肿瘤,已经到了中晚期,建议先活检,再全喉切除。但张大叔平日里喜欢与朋友畅谈,不肯切全喉,家里的亲戚轮番来劝。耳鼻咽喉头颈外科刘蓉蓉主任、姬长友教授接诊后,立刻完善颈部 CT,显示 1. 右侧室带及声带增厚伴软组织结节形成,考虑新生物,建议病理组织学检查 2. 颈部少许小淋巴结。


取右侧声带病变组织活检,证实了喉癌的判断。考虑到喉癌范围极大,右侧声带已经固定,建议张大叔全喉切除。但其仍「意志坚定」,坚决不切全喉。刘蓉蓉主任、姬长友教授详细研究,制定了把右喉体及右侧甲状软骨板「连锅端」,保留左侧喉组织的方案,既可以彻底解决问题,又照顾到张大叔关于保留喉功能的顾虑。
目前,张大叔恢复顺利,通过后期发音、呼吸和吞咽功能训练重建,仍有机会重获新「声」,投入到正常的工作和生活中。
刘蓉蓉主任提醒,喉鳞状细胞癌(简称为「喉癌」),是头颈部常见恶性肿瘤,烟、酒是重要诱发因素。
喉癌根据原发部位的不同,可以分为「声门上型、声门型、声门下型」,其中最常见的是「声门型喉癌」,即「声带癌」,原发于声带的癌症。最典型的症状是渐进性声音嘶哑,喉腔被肿瘤占据后,开始出现呼吸困难,最后病逝于窒息或肿瘤转移。对于有长期吸烟、饮酒史或者有家族史的危险人群,具有「慢性咽炎」的症状,建议定期进行电子喉镜检查。
好文章,需要你的鼓励