家住贵州省现年 70 岁的王爷爷(化名)近 1 年多来总感觉口腔上腭部隐隐作痛,由于没影响到日常用餐,也就一直没太重视。
最近的 1 个月,王大爷的上腭疼痛开始变得频繁,痛起来迟迟得不到缓解。在当地医院检查发现:腭部长了一个肉芽样新生物。经病理检查确认是恶性肿瘤

王爷爷一家来到重庆松山医院,寻求耳鼻咽喉科刘蓉蓉主任进一步诊疗。
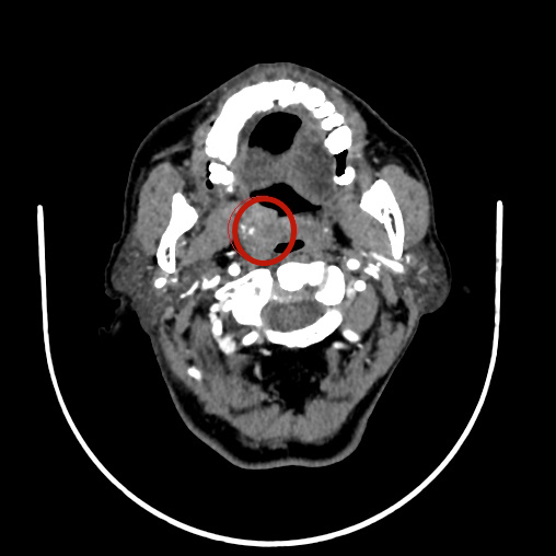
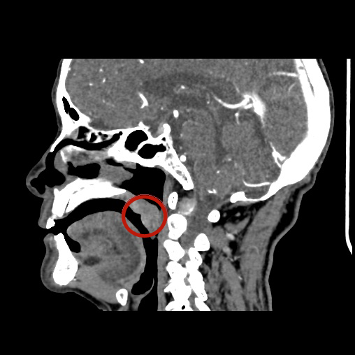
经过影像学检查,王爷爷腭部的肿瘤范围明确初步诊断为:软腭恶性肿瘤(鳞癌)


刘蓉蓉主任介绍道:「我们发现肿瘤侵犯了软腭全层,为了防止肿瘤复发,需要做扩大范围的切除。由于切除范围比较大,切除以后的创面修补会比较困难。幸运的是,目前肿瘤还局限在软腭范围内,没有侵犯硬腭,颈部淋巴结也没有发现有转移迹象。」
术中发现如刘主任术前评估的一致,王爷爷的软腭肿瘤不但侵犯了全层,而且范围比较大。肿瘤切除后,形成了直径约 2 cm 的腭部穿孔,加之口腔内操作空间极其狭窄,修补起来困难很大。刘主任运用扎实精湛的外科技术,对腭部穿孔进行了修补。
同时,为促进创面更好的愈合,提高修补的成功率,应用新型口腔修复膜对创面进行了覆盖,相当于上了一道「双保险」。手术顺利完成,目前,患者恢复良好
刘蓉蓉主任提醒:口腔咽喉的不适感很容易被大家忽视,但是这个区域发生肿瘤的几率并不低。如果发现口腔咽喉不适,务必到医院就诊检查,早发现,早治疗。
什么是腭部肿瘤?
腭部分为软腭和硬腭
平均发病年龄 45 岁,多见于男性,恶性肿瘤占 42.4%。
▶ 症状:
早期症状不明显,容易被忽略。随着病情进展,可能出现局部疼痛、口腔溃疡、口腔出血、口腔异味、牙齿松动、说话含混不清以及吞咽困难等。
▶ 病因:
与吸烟、饮酒、喜欢吃刺激性食物等生活习惯有关。
▶ 治疗:
以手术切除为主,部分恶性肿瘤患者需要辅助以放疗和化疗。
▶ 预防:
定期做口腔咽喉检查,如果发现有白斑等癌前病变,及时进行处理,防止恶变。戒烟酒。
好文章,需要你的鼓励