【编者按】:本文旨在向公众普及假性动脉瘤相关知识。文中病例资料均经脱敏处理,仅作为医学知识科普使用,描述医护人员对患者的人文关怀,不构成任何诊疗建议。如出现相关症状及身体不适请及时前往医院就诊。
在临床诊疗中,部分术后患者可能会面临并发症的风险,假性动脉瘤便是其中较为常见的一种。近日,河北燕达医院血管外科团队接诊了一例术后并发假性动脉瘤的患者,通过超声引导下凝血酶微创干预的方式为患者实施了治疗。该案例为该类并发症的个体化诊疗积累了临床经验,也让我们对这一术后并发症有了更清晰的认识。
据了解,患者因基础疾病接受相关术后,初期恢复进程顺利。在术后常规拆除穿刺点加压绷带后,患者出现了穿刺点区域胀痛的不适症状。医生查体发现局部存在隆起、皮肤淤青等表现,伴有压痛及搏动感,听诊可闻及异常杂音。
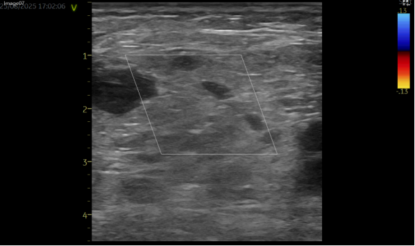
床旁超声检查提示:腹股沟区皮下可见特定范围的无回声区,边界清楚、形态欠规则,可见通道与动脉相连,动脉持续血流灌注;CDFI 示动脉与包块间分流口内可探及双向血流,包块内血流紊乱呈涡流,结合临床症状及检查结果,考虑为假性动脉瘤。
什么是假性动脉瘤呢?它多由创伤(包括医源性损伤)引发,指动脉壁被撕裂或穿破后,血液从破口流出,在动脉周围组织包裹下形成的血肿。 需要注意的是,与真性动脉瘤不同,假性动脉瘤没有完整的血管壁,并非由血管壁扩张形成。此类病变若不及时干预,瘤体可能进一步增大,还可能压迫周围组织器官造成疼痛和功能障碍,甚至存在破裂出血、血栓脱落引发远端栓塞等风险,但个体病情进展存在差异,需结合具体情况判断。
针对该患者的情况,团队首先采取了制动加压包扎的保守治疗方式,但患者无法耐受长期卧床,拆除绷带后复查超声,显示假性动脉瘤未见缩小,且通道流速较高。为在保障治疗效果的同时提升患者舒适度,血管外科团队结合患者整体病情、身体状况等进行综合评估后,决定采用超声引导下凝血酶封堵术这一微创干预方式。
超声引导下凝血酶封堵术已成为临床处理假性动脉瘤的常用微创方式之一。该患者的手术过程顺利,在注射凝血酶 1 分钟后,超声复查显示瘤腔内活动血流消失,瘤体已血栓化,动脉与假性动脉瘤的通道封闭,听诊杂音及体表震颤感均消失。术后患者不适症状得到缓解,恢复顺利,次日出院(此为该患者个体恢复情况,不同患者因病情严重程度、体质、合并基础疾病等差异,恢复周期及效果可能不同)。
在此提醒,术后患者若出现穿刺点或手术区域异常隆起、胀痛、搏动感等症状,需及时告知医护人员,以便尽早明确诊断并干预。同 时,假性动脉瘤的治疗需遵循个体化原则,医生会根据瘤体位置、大小、与周围组织的关系、患者整体健康状况等综合因素制定治疗方案,患者无需过度焦虑,积极配合诊疗即可。





声明:本文为健康科普,仅供参考,不能作为医疗诊断和治疗建议。如有不适,请及时就医。
供稿/血管外科 侯国峰
图文/运营部
好文章,需要你的鼓励