近日,55 岁的王先生(化姓)突发 A 型主动脉夹层合并心包填塞,血压暴跌至休克水平,生命垂危。这种疾病堪称「血管炸弹」,稍有延误便可能致命。在患者家属未到场的紧急情况下,我院启动绿色通道,多学科团队无缝协作,成功将其从死神手中夺回。目前患者病情稳定,正逐步康复。
「医生,快救救他!」急促的呼救声打破了急诊科的平静。55 岁的王先生被同事送往我院急诊,彼时他突发剧烈胸痛,面色苍白如纸。
急诊医生见状立刻上前接诊,凭借多年处理危重病例的临床直觉,瞬间警觉主动脉夹层这一致命疾病的可能。
医护团队当即开通急诊绿色通道,无需等待挂号缴费,直接将患者推送至 CT 室进行紧急 CTA 检查。
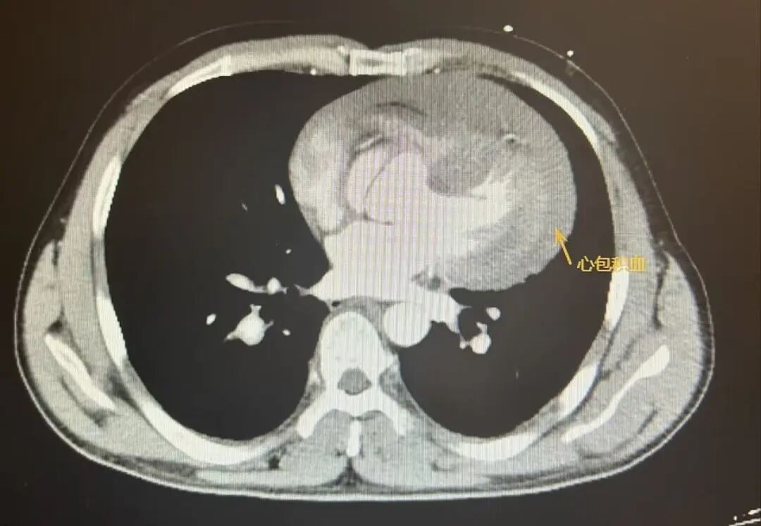
检查结果很快出炉,确诊为 A 型主动脉夹层——简单说就是主动脉内膜撕裂,血液冲进血管壁夹层,如同水管壁「鼓包」,随时可能破裂致命。

更危急的是,患者已出现大量心包积液和心包填塞症状,心脏外层的包膜腔里积满液体,像给心脏套上了「紧箍咒」,压迫心脏无法正常舒张泵血,血压骤降至 50-70 mmHg,生命进入倒计时。

确诊消息传来,心脏大血管外科团队第一时间赶到急诊科会诊。此时一个棘手的问题摆在面前:王先生的家属远在外地,尚未抵达医院,而 A 型主动脉夹层的救治窗口期极短,每拖延一分钟都可能造成不可挽回的后果。
团队没有丝毫犹豫,一边迅速启动危重患者应急预案,一边紧急请示总值班和院领导。
院领导当即拍板:「以患者生命为重,全力开通绿色通道!」医护人员立刻拨通患者家属的电话,用最简洁明了的语言说明病情凶险程度和手术必要性。
电话那头的家属虽心急如焚,但对医院给予充分信任,当即远程授权手术,为救治争取了关键时间。
就在手术团队紧锣密鼓准备术前工作时,险情再次升级。王先生突然出现休克症状,血压直线跌至 70/40 mmHg,监测仪上的各项指标持续报警,代谢性酸中毒接踵而至,双下肢皮肤浮现出危险的花斑 —— 这是身体循环衰竭的危险信号,意味着血压已无法支撑末梢供血,随时可能出现心跳骤停,生命体征濒临崩溃边缘。

「不能等,必须立刻手术!」我院副院长、心脏中心主任张晶教授当机立断。
指令下达的瞬间,多学科协作机制全面启动:麻醉科医生火速到位,精准实施麻醉并全程密切监测生命体征;血库接到紧急调血指令后,快速调配所需血液制品,确保术中用血供应不间断;彩超室医生携带设备赶到手术室,全程实时提供影像学支持,为手术精准开展保驾护航。

手术室的灯光彻夜通明,一场与死神的赛跑正式打响。张晶教授带领团队有条不紊地开胸、插管、清除心包积液与血块,快速建立体外循环,精准剪除病变血管、置换人工血管,每一个动作都沉稳有力,每一个决策都关乎生死。

麻醉科团队紧盯监测仪,根据患者生命体征实时调整用药剂量,维持着脆弱的生命平衡;护士团队默契配合,递器械、输液体、记数据,忙而不乱;血库的血液制品及时送达,为手术顺利进行提供坚实保障。
各科室团队无缝衔接、协同作战,共同顶住了术中可能出现的血管破裂、大出血等多重风险挑战。
时针缓缓指向凌晨三点,手术室的大门终于缓缓打开。「手术成功了!」当这句话从医生口中说出时,所有参与救治的医护人员都露出了疲惫却欣慰的笑容。

历经近 8 小时的高强度奋战,王先生的生命体征终于趋于平稳,成功脱离生命危险。
目前,王先生已转入重症监护室接受进一步治疗。经过医护人员的精心照料,他的病情持续稳定,各项指标逐步恢复正常,正在向康复迈出坚实步伐。
此次危重患者的成功救治,不仅彰显了我院心脏大血管外科的精湛技术水平,更体现了多学科协作的强大合力和急诊绿色通道的高效畅通,充分展现了我院「以患者为中心」的服务理念和应对突发危重疾病的过硬应急处置能力。
未来,我院将继续打磨医疗技术、优化服务流程,为广大患者的生命健康筑牢安全防线。
专家简介

张晶
德驭医疗集团首席专家
副院长
心脏中心主任
孔繁熙

心脏中心副主任
心脏大血管外科副主任
主任医师
医学博士
好文章,需要你的鼓励