腹主动脉瘤,不是肿瘤,而是腹主动脉的血管壁在受到某些病理因素的破坏后,高速、高压的血流使其扩张膨大,当直径超过正常腹主动脉直径的 1.5 倍以上时,这一小段腹主动脉就像吹起来的「气球」。当腹主动脉瘤继续扩张膨大,发生破裂时,就会出血,甚至休克死亡。因此,腹主动脉瘤也被称为藏在人体里的「不定时炸弹」。
近日,南京江北医院心脏大血管外科团队凭借精湛技术与默契配合,为 70 岁合并多种基础疾病的腹主动脉瘤患者成功实施 腹主动脉覆膜支架腔内隔绝术 + 髂动脉支架置入术。
这是我院首例此类手术,标志着医院在大血管疾病微创诊疗领域实现新突破,为区域内同类患者提供了更优质、便捷的医疗选择。
高龄患者携 「多重风险」 求医
病情复杂挑战重重
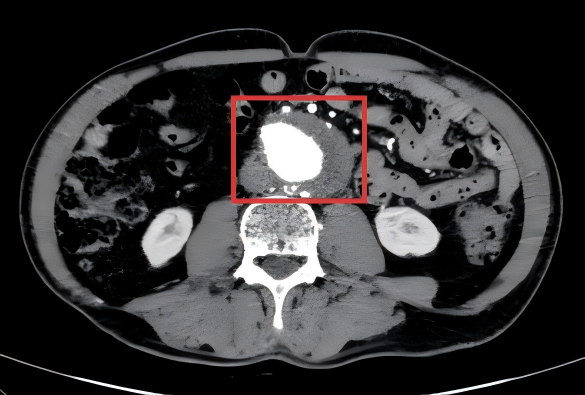
近日,70 岁的王大爷(化姓)出现大便发黑的情况,于是来到家附近的医院就诊,准备进行胃肠镜检查。然而腹部 CT 却提示「腹主动脉瘤」 。
由于腹主动脉瘤如同腹腔内的 「定时炸弹」,一旦破裂死亡率极高,当地医院建议王大爷暂停胃肠镜检查,转至上级医院明确诊断并优先处理动脉瘤。
王大爷在家人的陪同下随即前往南京江北医院就诊,经动脉 CTA 检查后,明确诊断为 腹主动脉瘤样扩张伴附壁血栓形成、主动脉多发溃疡,手术指征明确,遂收入院接受治疗。


更具挑战性的是,王大爷的既往病史复杂:
多学科评估 + 个性化方案
微创技术破解难题
针对王大爷的高危情况,南京江北医院心脏大血管外科张晶教授团队牵头开展病例讨论,全面评估王大爷的血管解剖形态、基础疾病控制情况及手术耐受性。团队认为,腹主动脉覆膜支架腔内隔绝术作为微创术式,具有创伤小、出血少、恢复快的优势,更适合王大爷。
经过反复推演手术流程、模拟支架释放路径,并制定详细的围手术期管理计划(包括术前优化血压、血糖控制,术后预防感染、监测凝血功能等),团队最终确定了 「腹主动脉覆膜支架腔内隔绝术+髂动脉支架置入术」 的手术方案,简单来说,就是在血管内部植入特制的覆膜支架,像给破损的水管「打补丁」一样,精准修复了溃疡、隔绝了动脉瘤和夹层,并疏通了闭塞和狭窄的髂动脉。
在完成术前准备后,手术正式实施。在麻醉科、导管室等科室的密切配合下,手术团队通过王大爷双侧腹股沟处的微小切口,精准穿刺股动脉,将覆膜支架沿血管通路送至腹主动脉瘤病变部位,成功完成支架释放与定位,并同期置入髂动脉支架以完善血流重建。整个手术过程顺利,术中出血量少,王大爷生命体征平稳,未出现明显并发症。


首例手术实现技术突破
护航区域百姓血管健康
术后,王大爷在心脏大血管外科病房接受精细化护理,血压、血糖得到严格管控,恢复情况良好。
此次首例腹主动脉瘤覆膜支架腔内隔绝术的成功实施,不仅验证了医院在大血管微创诊疗领域的技术实力,更填补了区域内相关诊疗空白。未来,医院将持续提升大血管疾病诊治水平,为更多高龄、高危患者提供 「家门口」 的优质医疗服务,助力守护群众血管健康。
建议以下人群定期进行腹主动脉瘤筛查:
所有 65 岁以上男性:应至少进行一次腹部血管超声检查;
60 岁以上有吸烟史的男性:吸烟是腹主动脉瘤最重要的危险因素之一;
有腹主动脉瘤家族史者:遗传因素在发病中起重要作用;
长期高血压、高血脂患者:这些疾病加速动脉硬化进程;
冠心病、外周动脉疾病患者:这些疾病常与腹主动脉瘤共存。
筛查方法首选 「腹主动脉彩超」,这是一种无创、无辐射、价格低廉且准确性高的检查方式。当超声发现异常时,可进一步做 CT 血管造影 (CTA) 获得更精确的三维影像,为治疗规划提供依据。
平时应该如何预防?
坚决戒烟:吸烟会显著增加腹主动脉瘤发生和破裂风险,是首要控制因素;
严格控制血压:高血压是导致动脉瘤进展和破裂的关键因素,目标血压一般应控制在<140/90 mmHg;
调节血脂:通过饮食控制和必要时的药物治疗,保持血脂在正常范围;
健康饮食:减少高脂肪食物摄入,选择高蛋白、低脂肪食物,多吃蔬果,保证饮食均衡;
适度运动:规律的有氧运动有助于控制体重和改善血管健康,但已确诊动脉瘤者应避免剧烈运动;
控制血糖:糖尿病患者应良好控制血糖,减少血管损伤。
好文章,需要你的鼓励