近日,在我院骨科主任周昊嵬的带领下我院成功为一位足拇外翻的患者实施了三代微创足拇外翻手术,这一突破成功标志着我院在足部疾病微创治疗领域迈出了重要一步,也为众多饱受足拇外翻疾病困扰的患者带来了新的希望。
【病例背景】
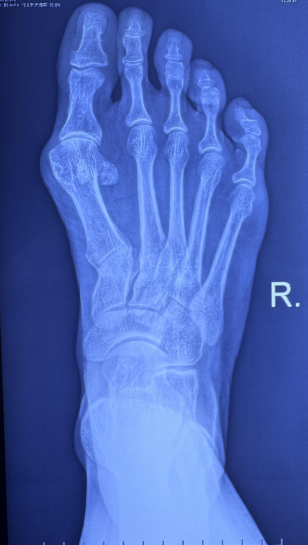
患者加拿大外籍女性,因 6 个月前出现右足大拇趾肿痛,活动受限,休息不见好转,保守治疗无效,于我院骨科门诊就诊,详细询问病史、查体、行右足 X-ray 检查提示右足拇外翻及第一跖趾关节轻度关节炎。故门诊以「右足拇外翻;右第一跖趾骨关节炎」诊断收住我院。

【查体】
右足大拇趾外翻,第一跖趾关节红肿,压痛,第一跖趾关节轻度受限,趾端运动、感觉及血运良好。脊柱及其余四肢未见明显异常。
【初步诊断】
中度右足拇外翻:右第一跖趾骨关节炎。
什么是拇外翻?
拇外翻,俗称「大脚骨」外翻,是一种常见的足部畸形疾病。当拇外翻角大于 15°,跖间角大于 10°,并结合患者的临床表现,即可诊断为足拇外翻。随着病情发展,患者会出现穿鞋困难、疼痛难忍等症状,严重影响日常生活质量。
如何应对与处理?
1. 专业诊断:通过体格检查和 X 光评估,可明确严重程度并排除其他疾病。
2. 非手术治疗:
-换穿合适的鞋:选择鞋头宽松、支撑良好且跟低的鞋是首要措施,可减少挤压和摩擦。
-使用辅助装置:如分趾垫、夜间夹板或矫形器,可能有助于缓解症状和延缓进展(效果因人而异)。
-锻炼与拉伸:加强足底肌肉、拉伸跟腱有助于维持足部功能。
-疼痛管理:休息、冰敷或口服消炎药可缓解急性疼痛。定制鞋垫可改善足底压力分布。
3. 手术治疗:
若畸形严重、疼痛明显或保守治疗无效,可考虑手术。手术方式多样,包括软组织重新平衡、截骨矫形等,需根据个人情况定制。术后需要一段时间的康复和护理。
【本次病情的诊疗经过】
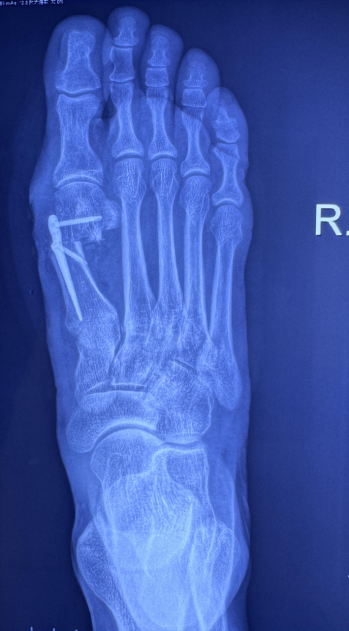
该患者完善术前各项准备后,于收住院第二日在全麻下行 右足拇翻截骨矫形内固定术,手术顺利,病情稳定,预后良好。
术后 影像学示:外翻角矫正至正常范围,跖骨间角恢复至正常范围。

【出院后情况】
后来我院复查体:右足伤口敷料清洁干燥,肢端运动、感觉及血运良好。清洁换药,伤口无红肿及液体渗出,示恢复良好。
本次我院接诊的这位患者足拇外翻多年,且在近六个月前出现足部疼痛并进行性加重,日常生活都受到了极大的限制。在我院骨科主任周昊嵬的带领下,医疗团队对该患者的病例进行了案例讨论及术前病例分析并制定了详细的手术计划,最终决定为该患者采用第三代微创拇外翻技术为其进行治疗。在麻醉科与手术室相关工作人员的紧密配合下,手术顺利完成。术后患者患足外观恢复良好。
未来,我院将继续秉持着「以人为本」的理念,深入开发足拇外翻技术的更新与应用,继续探索创新,为更多足踝方向的患者带来新的治疗希望,助力他们摆脱病痛,重获正常生活!
好文章,需要你的鼓励