26 岁女子咳嗽、胸闷、发热,口服感冒药物久治无效,还住进了医院,居然与养了鹦鹉有关?
平时小杨(化名)身体健康,却被心爱的小宠物鹦鹉「送」进了医院,这让她有些困惑,又觉得神奇!
近期,小杨出现了咳嗽、胸闷、发热的症状,自己当做感冒在家服药了一周多,然而病情并没有得到缓解,反倒愈演愈烈,胸闷得厉害。平时身体健康的她,第一次因为「感冒」被「撂倒」,是她没想到的……

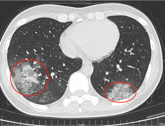
就诊于西安高新医院呼吸与危重症医学科后,行胸部 CT 检查,发现她肺部多发「团片影」。蹊跷的是,李霞医生发现其肺部病灶与普通肺炎影像表现不一,那么,致其不适的感染病原微生物到底是什么?令人匪夷所思。
呼吸与危重症医学科高和飞副主任仔细查阅小杨的胸部 CT,发现其肺部病灶的确「不典型」。于是追问小杨的接触史,这才了解到,原来小杨素来喜欢鸟,家中还养着一只美丽的鹦鹉。这只鹦鹉聪明伶俐,可爱的鹦鹉经常令她爱不释手。

「不排除患者的肺炎与鹦鹉接触有关」,医生迅速做出了判断。高和飞副主任医师迅速行支气管镜检查,经支气管镜下收集肺灌洗液行 mNGS(病原微生物宏基因组检测) 检测出鹦鹉热衣原体。
最后寻得真相——这次小杨「不典型肺炎」的真正「杀手」竟是较罕见的鹦鹉热衣原体所致!经及时调整抗生素治疗后小杨痊愈出院了。

鹦鹉热是一种人畜共患的传染病,主要是由革兰阴性菌胞内寄生的鹦鹉热衣原体引起。鹦鹉热衣原体在普通人群中并不常见,通常在鸟类和家禽间相互接触传染,也可以由带病的家禽和鸟类经过人接触后传染,该病最初在国外发现玩鹦鹉者出现不明原因发热,故名为「鹦鹉热」。
人类主要是经呼吸道吸入受染鸟类气溶胶而感染(可通过呼吸道传染也可通过飞沫直接传播或通过排泄物污染尘埃而间接传染),潜伏期 1-2 周。鹦鹉热衣原体经呼吸道吸入后首先进入肝和脾的网状内皮细胞增殖,再经血液进入肺和其他器官,临床表现可有多样性,
可引起类似流感的全身症状,如高热、咳嗽、头痛、肌痛,肺部浸润性病变等,多数预后较好,少数可累及心脏、肝脏等脏器发生多器官功能衰竭死亡。
高和飞副主任医师表示这种可能性很低。因为感染与否,不仅和接触病原菌数量有关,还与人体免疫力有关。只有疫鸟病原菌数量多,人和疫鸟频繁接触,人体免疫力低下才易发病。所以在此提醒,饲养或接触鸟类、家禽的市民需谨慎,如出现高热、咳嗽、头痛、肌痛等类似流感的症状,小心患上鹦鹉热衣原体肺炎!
由于鹦鹉热衣原体感染是人畜共患疾病,必须做好疾病监测,及时发现病情,尽早采取家禽免疫、扑杀、休市等有效措施,消灭传染源,在处理鸟类粪便或清洗鸟笼时应注意个人防护,佩戴口罩、手套,勤洗手等。做到早发现、早诊断、早治疗。
好文章,需要你的鼓励