以为只是简单的腰部酸痛
没想到是肚子里
长了一颗 180 mm 的巨大肿瘤
如同一个「哈密瓜」大小
几乎占满整个右侧腹部

已经康复出院的
70 岁洪大妈(化名)
回想起这段经历
仍感到难以置信
「啥时候长的?咋能长这么大?」
三个月前,洪大妈的右侧腰部开始出现酸胀疼痛,起初这种不适感还能忍受,然而,随着时间的推移,疼痛感逐渐加剧,到了让她无法承受的地步。
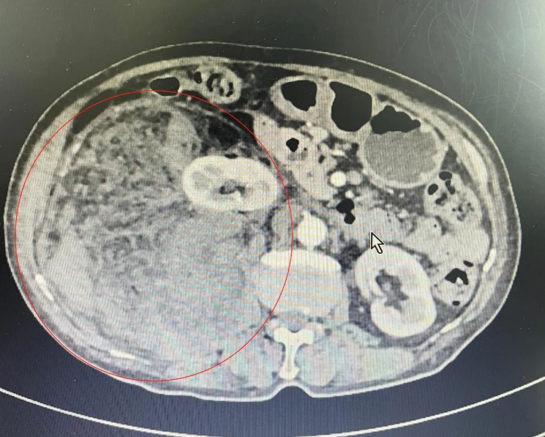
更令人担忧的是,在她的右侧腹部,竟能触摸到一个明显的肿物,家人也是心急如焚,立即带着洪大妈前往漳州第三医院进行检查。结果令人十分震惊,一个「哈密瓜」般大小的巨大肿物,占满了右侧腹部空间,CT 显示大小约 140 mmX87 mmX181 mm,初步考虑为「腹膜后肿瘤」。

「时间紧迫,手术是当务之急!」面对如此巨大的肿瘤,手术无疑是最为理想的治疗选择。
但由于肿瘤体积巨大,血供极其丰富,且可能侵犯肝脏、右肾、右侧输尿管、肠道、下腔静脉等重要脏器;腹腔内几乎没有操作空间,难以辨认正常的解剖间隙,为手术增加了新的挑战!
这场手术的难度极大、风险极高!泌尿二科韩聪祥副院长立即召集多学科专家进行术前讨论,制定出一份严谨周密的手术方案。
术中,在韩聪祥副院长的带领下,且有普外二科团队的协同助力,整个手术过程有条不紊、配合紧密。他们如同「扫雷」一般,克服重重困难,一点点地细致分离周围组织器官,精准地拆除了这个「巨大肿瘤」。最终,在多学科医疗团队的娴熟协作之下,成功将这颗深藏腹中的「巨无霸」肿瘤及其受侵犯的部分组织切除,为患者拆除了这颗威胁生命的「炸弹」。


目前,在泌尿二科医护团队的精心治疗和悉心护理下,洪大妈已顺利出院。

漳州第三医院泌尿二科温馨提醒:腹膜后肿瘤位置较深,多数患者在早期一般无明显体征及症状,中晚期以腹部包块、腹痛、腹胀为主要表现,当肿瘤组织压迫邻近器官时,也可出现水肿、发热等相应症状,肿瘤常常会侵犯重要大血管及重要脏器, 临床表现各异,手术难度差异很大。
复杂的腹膜后肿瘤切除手术易损伤邻近大血管及脏器,会导致严重的并发症甚至危及生命;若发现腹部不适等症状应及时到医院就诊,有助于疾病的早发现、早诊断、早治疗。
此患者的成功救治
充分体现了漳州第三医院
处理疑难重症的综合能力和技术水平
展现了泌尿二科团队
良好的学科优势和技术水平
今后,我们将更加努力
为更多的患者提供
先进、便捷、满意的医疗服务
好文章,需要你的鼓励