13 岁的少年小宇(化名)因胸口的凹陷,被阴霾笼罩了成长之路。近日,漳州第三医院胸外科在叶惠龙总院长与陈定柱副院长的统筹规划领导下,凭借精湛的手术技术与精细化的诊疗管理,成功为小宇实施 重度不对称漏斗胸矫正手术,帮助这位少年摆脱胸廓畸形困扰。
小宇自出生起便存在轻微胸廓凹陷,家人起初未予重视。进入青春期后,胸廓凹陷情况持续加重,形成明显的「漏斗状」,不仅严重影响外观,更直接导致其运动后反复胸闷、气喘,活动能力大幅下降。
家人带着小宇找到漳州第三医院胸外科陈定柱副院长就诊。陈定柱副院长亲自主诊,统筹协调科室诊疗资源,指导诊疗团队开展全面评估为小宇进行了全面细致的体格检查,结合胸部 CT 检查结果,明确诊断为重度不对称漏斗胸——CT 报告显示,小宇的 Haller 指数约为 4.94。医学上,Haller 指数是评估漏斗胸严重程度的核心指标,正常人平均约为 2.52,指数>3.5 即可诊断为重度漏斗胸,小宇的指数已接近 5.0,意味着胸廓凹陷极其严重,心肺组织受到明显压迫,这也是其活动后胸闷气喘的根本原因。

在叶惠龙总院长的统筹规划下,陈定柱副院长带领胸外科团队综合考量患者年龄、病情特点与生长发育情况,经过多轮专业研讨,为小宇量身定制了个性化微创矫正方案,方案既兼顾矫正的精准性与有效性,又充分考虑术后恢复效率,最大限度去降低手术创伤。
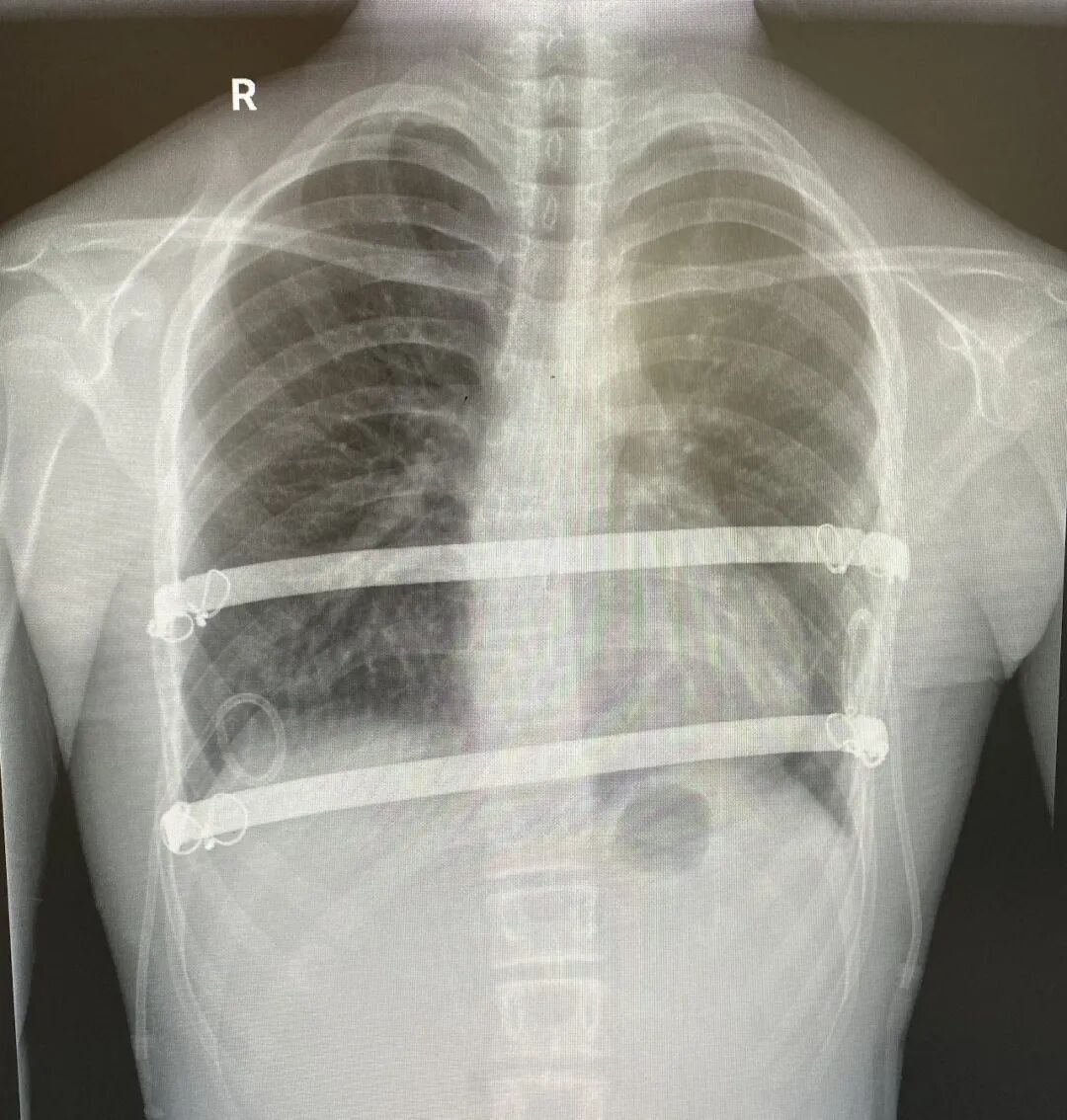
手术过程中,胸外科团队在麻醉科与手术室团队的密切配合下,凭借精湛的手术操作技巧,精准分离组织、细致操作,成功将凹陷胸骨复位,彻底解除心肺组织压迫,精准重塑正常胸廓形态。整台手术过程平稳顺利,实现了创伤小、出血少的预期效果。


术后,在胸外科医护团队的精心照护与规范术后管理下,小宇恢复速度远超预期,胸闷、气喘的症状彻底消失。

漏斗胸是儿童及青少年最常见的先天性胸壁畸形,男性发病率显著高于女性,若畸形持续进展,不仅会压迫心肺、影响脏器功能,还会给患者带来沉重的心理负担,手术是目前治疗重度漏斗胸的唯一有效方式。
医者仁心,术臻至善。漳州第三医院胸外科将始终以叶惠龙总院长、陈定柱副院长为引领,依托强大的专家团队与先进的微创技术优势,秉持精细化的诊疗与手术管理理念,以专业的医术与温暖的服务守护每一位胸壁畸形患者的健康与自信,用精湛技术为患者撑起一片天,助力他们向阳生长、挺起未来!
好文章,需要你的鼓励