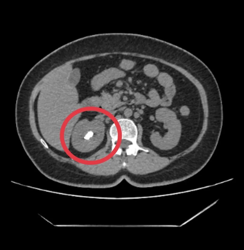
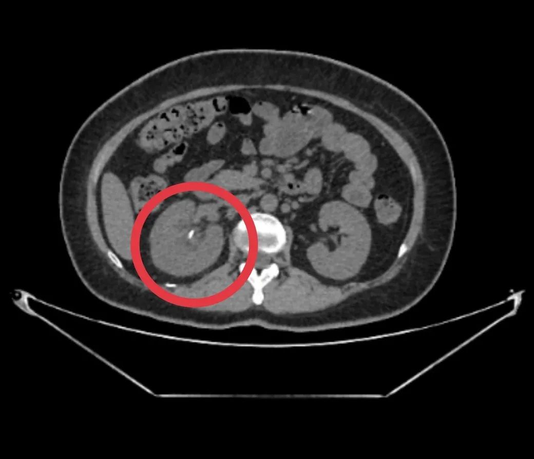
许女士(化名)的经历,为我们敲响了输尿管内支架规范管理的警钟。一年多前,她因右侧输尿管上段结石合并肾积水就诊,却恰逢早期妊娠无法手术,医生为其植入输尿管内支架以缓解梗阻。然而,因未按时返院更换,如今再次就医时,CT 检查显示支架上已附着大量结石,形态如同 「棒槌」—— 这正是支架长期留置引发的典型问题。

面对复杂情况,许女士来到了漳州第三医院泌尿一科,陈川聪主任带领团队制定了精准的手术方案:通过「经尿道膀胱结石钬激光碎石取石术」「经尿道右侧输尿管软镜联合钬激光碎石取石术」及「经尿道右侧输尿管内支架取出术」,分步骤处理病灶。术中可见,右侧双 J 管(输尿管内支架的常用类型)头端已被直径约 4.0 cm×3.0 cm 的膀胱结石完全覆盖,医生先将膀胱内结石击碎取出,再通过输尿管软镜深入肾盂,将附着在支架及肾盂内的结石彻底粉碎并吸出,最终成功取出所有结石和滞留的支架,手术过程顺利。

为什么输尿管内支架
不能长期留置
输尿管内支架是泌尿外科常用的「临时通路」,主要用于解除输尿管梗阻(如结石、肿瘤、狭窄等导致的尿液排出不畅),保护肾功能。但它并非「终身装置」,长期留置会带来多重风险:
01
感染风险激增
支架属于体内异物,长期留置会成为细菌滋生的「温床」。尿液中的细菌易在支架表面定植、繁殖,引发尿路感染,初期可能表现为尿频、尿急、腰痛等症状,若未及时处理,感染可能扩散至肾盂,甚至引发全身性感染(如败血症),严重时危及生命。及时更换支架能减少细菌附着机会,降低感染风险。
02
结石「乘虚而入」
尿液中含有尿酸、草酸钙等结晶成分,支架表面的微小缝隙和粗糙结构会成为结晶沉积的「基地」。随着时间延长,结晶逐渐聚集形成结石,不仅会附着在支架表面,还可能包裹支架、堵塞管腔,甚至扩散至膀胱、肾盂,就像许女士的「棒槌状」结石一样,大幅增加后续治疗难度。
03
输尿管损伤加重
支架长期刺激输尿管黏膜,会导致黏膜充血、水肿、增生,甚至形成瘢痕。久而久之,可能引发输尿管狭窄,严重时还会因持续摩擦导致黏膜溃疡、穿孔,反而影响尿液排出,与支架「保护输尿管」 的初衷背道而驰。适时更换支架能减少黏膜持续受损的机会,降低并发症风险。
输尿管内支架的留置时间需严格遵循医嘱,通常为 1-3 个月(具体时长需根据病情调整)。植入支架后,患者应按时返院复查,根据医生评估及时更换或取出,避免因「拖延」导致病情复杂化。小小的支架,只有规范管理,才能真正发挥其 「通路」 作用,守护泌尿系统健康。
好文章,需要你的鼓励