目前正当开学季,常州市第二人民医院胸心外科却连续收治了两名青春期少年,就诊时均自述在剧烈运动后,感到咽部、胸口出现明显的疼痛,脖子处有肿胀感,严重的患者甚至出现不能平躺的表现。紧急送医后,医生诊断其为「自发性纵隔气肿」。
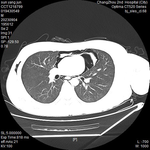
据悉,就诊过程中,这两个小伙子手捂胸口,神情痛苦,都有不同程度的疼痛感,通过胸部 CT 检查,医生告知这是出现了纵隔气肿。
常州二院胸心外科主任吴奇勇科普:「纵隔是左右纵隔胸膜之间的器官结构和结缔组织,而纵隔气肿则是在没有外伤、病菌感染、邻近脏器损伤的情况下,空气异常进入纵隔胸膜内结缔组织间隙之间,导致患者出现胸痛、干咳、呼吸困难、颈部吞咽困难等症状。纵隔气肿不仅会出现疼痛,还会出现皮下气肿。最常见的部位为颈部皮肤肿胀,也可发生面部、肩部等,触摸肿胀部位时,感觉像是握雪球的感觉,医学上称为『握雪感』。对于纵隔气肿这个疾病,胸部 CT 无疑是最快、最有效的辅助检查。值得特别注意的是,自发性纵隔气肿导致纵隔内压力上升,对心脏和大血管产生压迫,容易引发心衰,也可能引发严重的纵隔感染,这些都有可能危及生命。」


自发性纵隔气肿在临床上是一种少见的疾病,一般来说,身体高强度负荷是发病的一个主要诱因。可能有的孩子在暑假不运动,一开学学生们打成一片,一下子来个剧烈运动,导致肺泡内压升高、肺泡破裂,肺泡内的空气剥离血管鞘到达肺门部,从而形成纵隔气肿。
吴奇勇表示:「其实家长也不需要太紧张,大多数纵隔气肿轻症患者,经过卧床休息,给予抗生素及止痛、吸氧等一般处理,1 周左右气体可以吸收痊愈;少数患者需要禁食,给予肠道外营养。对于纵隔积气较多,有压迫症状,经一般处理仍不见好转的患者,可在局麻下于胸骨上切迹处做切开引流排气减压。有皮下气肿者同样可做上胸部皮肤切开,挤压排气。」
幸运的是,由于救治及时,这两名患者在经过充分休息,通过吸氧、抗炎止痛、预防感染等治疗后,复查影像学明确气肿已完全吸收,都陆续康复出院了。
「人体处于生长发育的青春期时,日常作息应当要劳逸结合,尽量避免处于过分疲劳的状态中。」吴奇勇提醒广大家长,如果家中有 14-15 岁年龄段的男孩,且身形消瘦,应当对其运动量与休息时间给予充分关注,一旦发现不明原因的胸痛或呼吸困难等不适,应当及时就医,以免小伤拖成大病。
好文章,需要你的鼓励