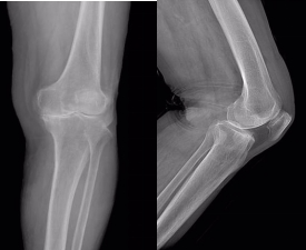
俗话说:「人老腿先老」,骨性关节炎是老年人群最常见的关节退行性疾病,其特征是关节软骨侵蚀、骨赘形成、软骨下硬化及滑膜和关节腔内一系列生化、形态学改变。
由于人口老龄化及肥胖人数增长,本病的发病率逐年升高,在 65 岁以上的人群中,约有 1/3 的人罹患本病,女性发病率明显高于男性。且随年龄增长,病情逐渐加重,最终导致关节疼痛、畸形、活动受限甚至无法正常行走,严重影响了正常生活,实施关节置换术从而提高生活质量是一个非常不错的选择。

近日,北京大学第三医院关节外科李杨副主任医师赴延安市中医医院(北京大学第三医院延安分院)为「春雨行动」第六批活动招募的两名患者开展了高难度、复杂的单侧全膝关节表面置换术,术中结合「鸡尾酒」疗法,极大的提高了他们的生活质量。
病例回顾
今年 85 岁高龄的姬奶奶、75 岁的孙爷爷均患有多年严重的膝关节骨性关节炎,起初以为适当休息就可缓解疼痛;然而,随着年龄的增长,膝关节疼痛的愈发加剧,经辗转多家医院寻求保守治疗后,症状缓解不明显,近期自觉膝关节疼痛难忍、无法正常行走,严重影响了生活质量,听闻延安市中医医院正在开展「春雨行动」-骨关节置换手术援助公益行活动,遂在家人陪同下,不约而同地来到骨科门诊完善检查、评估病情后报名参加了第六批公益活动。
入院后,北医三院驻延专家、骨科主任姜宇组织科室集体讨论,并邀请北京大学第三医院关节外科专家团队远程会诊,结合影像学资料,完善相关化验检查,排除了手术禁忌症后,为他们设计了详尽、周密的手术治疗方案。




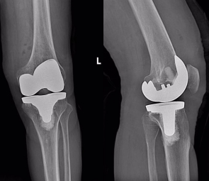
术前准备完善后,北京大学第三医院关节外科专家李杨副主任医师来到延安为两位患者先后实施了左侧人工全膝关节表面置换术。术中见膝关节软骨磨损严重,克服了因下肢力线与畸形、骨质缺损、骨骼质量、肌肉萎缩、关节强直等引起的种植体的准确放置、韧带间的平衡和肢体对线的恢复等诸多难题,为他们顺利植入了仿生的人工假体。
北医三院延安分院副院长、骨科主任姜宇介绍:
全膝关节置换术是治疗终末期膝骨关节炎的一种有效且持久的治疗手段,通过将膝关节中的受损部分切除,使用仿真人工关节替代的手术方式,随着对膝关节生物力学研究的不断深入,膝关节假体设计理念不断更新,人工膝关节置换手术也日趋成熟。对于终末期骨性关节炎特别是伴有畸形的患者来说,全膝关节置换术是一种行之可靠的治疗手段。只要适应症选择正确,假体选择恰当,术中精细操作,术后早期积极主动功能锻炼,不仅能减轻患者的疼痛,重建关节功能,更能提高老年患者的生活质量。
人工膝关节置换术的作用主要有:
1. 关节疼痛完全消失或明显减轻,由于膝关节疼痛消失,能更多地活动,从而加强了腿部肌肉力量;
2. 恢复膝关节活动的稳定性及灵活性;
3. 生活质量改善,能够轻松地完成日常生活并能参加一些运动。
好文章,需要你的鼓励