要说脖子对我们有多重要?大家是不是脑子里浮现出这样的画面?
影视剧特别是武侠剧里, 主角站在人身后, 对准脖子一掌击倒, 这样的熟悉桥段,你一定觉得这未免有些夸张。
但从医学角度而言,我们的脖子部位确实是非常脆弱的。
那里分布着人体重要的生命线——颈动脉和椎动脉。它们负责将营养和氧气输送给大脑,这个工作很关键,如果大脑缺血缺氧达 8 分钟以上,就会造成脑组织不可逆转的损伤,人体就会出现偏瘫,或者影响说话。
家住龙岗年逾七旬的杨老伯就因为这条重要的生命线出了问题,差点走不了路生活无法自理。
杨老伯七个月前开始出现头晕,还伴有站立、行走不稳的症状,甚至有两次还晕厥了过去。他不想给儿女添麻烦,本想和老伴把这事瞒过去,奈何症状反反复复,已经严重影响到生活质量,别说儿女承欢膝下了,他现在是下地走动都不敢。病情到了再也不能拖的地步,家人赶紧把杨老伯送到附近的龙岗区人民医院就诊。
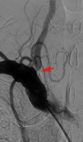
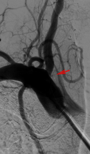
来到医院神经外科就诊时,头颈部血管 CTA 检查提示:他的右侧颈内动脉分叉部重度狭窄;双侧椎动脉开口狭窄。也就是说杨老伯供应大脑血运的四根血管里面已经有三根狭窄了,现在就靠一根血管强撑着,还随时可能出现完全阻塞不通的情况。这唯一的生命通道一旦阻塞,就会发生人们常说的「中风」(脑卒中),后果不堪设想。

其实,杨老伯以前就患过脑梗塞,还有 2 型糖尿病、高血压这些病史,健康状况不容乐观。针对他的特殊情况,神经外科贾军主任组织科内团队成员进行全面讨论、病情评估,确定杨老伯的症状都是由双侧椎动脉开口狭窄造成的脑组织后部循环缺血造成的,决定为他发生狭窄较重的右侧椎动脉开口施行药物涂层支架置入术,为大脑恢复足够量的血流供应,拓宽杨老伯的生命线。
这些年,随着医学水平的不断进步,想必支架手术很多人也听过了,但是这药物涂层支架又是什么东西呢?
常用的椎动脉开口支架通常都是球囊扩张金属裸支架,有文献报道,非药物涂层椎动脉开口支架植入术后,再狭窄发生率高达 25%-35%,增加了脑梗死复发的风险,不少患者需要再次进行介入手术治疗,严重影响了椎动脉开口支架植入治疗的有效性,还徒增患者二次手术的经济负担和风险。
于是经过医学科研人员的不断优化改进,为了降低再狭窄的药物涂层支架诞生了。
药物涂层支架,就是将药物通过适当的方法,涂抹于支架表面,使之形成一个药物池,在血液的冲刷和溶解作用下,药物不断从支架表面洗脱,便在局部发挥作用。
原来还是个自带 buff 的支架啊!
药物涂层支架较之传统金属裸支架,具有靶向性好,术后再狭窄率低的优点。并可降低患者因支架内血管再狭窄而进行二次手术的概率和经济负担。
杨老伯的这次手术,也是我院首次使用药物涂层支架治疗椎动脉狭窄。术中,在贾军主任的指导下,董广宇副主任医师介入团队顺利实施椎动脉开口球囊成形及药物涂层支架置入手术,术后椎动脉开口基本恢复至正常大小。



手术非常成功。
神经外科专家提醒,支架再先进,也不是一劳永逸,术后依然不能大意。为预防支架内再狭窄,手术后配合药物治疗之外还需要进行脑卒中的预防措施:合理用药,改变发病危险因素,肢体训练,改变不良生活习惯等,如控制好高血脂、高血压、糖尿病等危险因素、戒烟等。此外,专家还建议:血管病变是否适合植入药物涂层支架,还需由专科医生综合评估决定。
好文章,需要你的鼓励