大年三十,万家团圆之际,黔江中心医院创伤医学科内,一场与死神赛跑的紧急救治悄然展开。患者王某因严重车祸伤转入我院,入院时已处于休克状态,生命垂危,情况万分紧急。一场关乎生命与肢体的抢救,在这个特殊的夜晚争分夺秒地进行。
危急时刻:迅速识别,精准判断
患者面色苍白,伤肢肿胀呈进行性加重,足背动脉搏动微弱,几不可及。值班医生迅速接诊,细致开展体格检查,凭借扎实的专业功底和高度责任心,第一时间判断为「左股骨下段粉碎性骨折,下肢血管及肢体动静脉损伤」。他深知,若救治延迟,不仅肢体可能坏死丧失,更将直接威胁患者生命。


绿色通道:多学科联动跑出急救「加速度」
医院创伤中心应急预案即刻启动。值班医生第一时间上报病情,院总值班迅速统筹调度。院领导靠前指挥,全程关注救治进展。急诊科、手术室、超声科、影像科、输血科、麻醉科、肝胆血管外科、重症医学科等创伤中心紧急联络人迅速集结。绿色通道全程开放,检查、配血、术前准备实现「零等待」「零停顿」。床旁超声与影像评估快速完成,患者由急诊直送手术室,各环节无缝衔接,为抢救赢得宝贵时间。
精准手术:多科协作,保住患肢
无影灯下,硬仗打响。麻醉成功后,由创伤中心组成的手术团队立即投入战斗。术中证实股动静脉完全损伤、左股骨下段粉碎性骨折。在积极抗休克的同时,团队精细吻合修复血管,成功恢复下肢血供;随即为骨折部位清创复位、外固定架临时固定,最大限度控制损伤、稳定生命体征。术后患者转入 ICU,进入下一阶段严密监护与综合治疗。

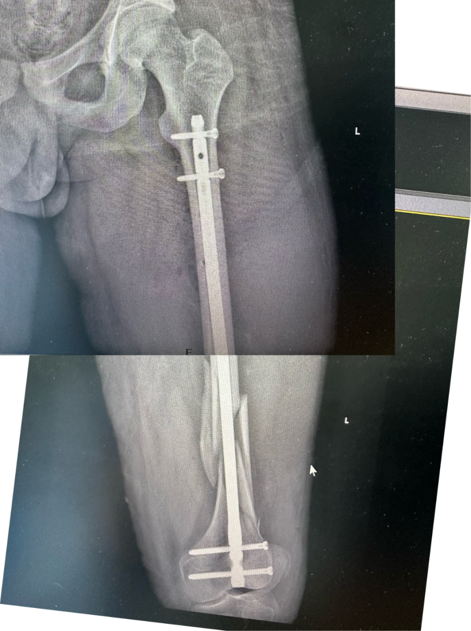
从除夕到初愈:守护从未停歇
术后,ICU 团队 24 小时值守,密切监测循环、呼吸及肢体血运,精准调控抗凝、抗休克抗及营养支持方案,为患者平稳度过危险期提供了坚实保障。2 月 24 日,待病情稳定后,患者顺利接受了「左股骨粉碎性骨折闭合复位髓内钉内固定术」。
目前,患者恢复良好,生命体征平稳,肢体血运及功能逐步改善,近期即可顺利出院。家属含泪感激:「是医院的全力救治,给了我家人第二次生命。」


这场除夕夜的紧急救援,不仅展现了我院创伤中心高效响应与多学科协作的强大合力,更是一曲医者用坚守诠释责任、用专业守护生命的动人赞歌。当万家灯火点亮团圆之夜,这群「不归人」用自己的方式,守护着生命的希望与尊严。
好文章,需要你的鼓励