暑期来临,武汉大学人民医院(湖北省人民医院)口腔科正畸门诊迎来就诊高峰。不少家长正抓紧假期带孩子咨询「龅牙、小下巴、地包天」等颜面发育问题。医院口腔科主任、口腔正畸专家彭友俭教授提醒广大家长,暑期是打破儿童口腔不良习惯链条、干预牙颌面畸形的「关键窗口期」。
在口腔科诊室,8 岁女孩雯雯(化名)的病例颇具代表性。雯雯的母亲焦急地向彭友俭教授求助:「孩子睡觉总张着嘴,大门牙越来越外凸,有时还打呼噜。」
检查显示,雯雯呈现出典型的下颌后缩面容:龅牙、上唇外翻、小下巴——这正是长期口呼吸所致。更令人担忧的是,其下唇内侧布满深凹齿痕,唇部皮肤粗糙泛红;手指甲短秃参差,甲床损伤明显。经询问,雯雯承认有咬唇和咬指甲的习惯。
彭友俭教授指出,「孩子同时存在『口呼吸、咬唇、咬指甲』三个不良习惯,虽不常见,但危害严重,极易形成恶性循环。」儿童因鼻炎或腺样体肥大导致口呼吸,持续的气流冲击会引发上颌前突和下颌后缩。为适应错位的牙齿,孩子会不自觉地吮咬下唇,进一步加重畸形;同时,咬指甲等行为往往反映出紧张情绪,也是问题的表现。
口腔畸形不仅影响面容美观,长期呼吸道不畅所致的慢性缺氧,还可能损害儿童大脑发育,导致注意力不集中、认知功能下降,若无尽早干预,可能影响孩子智力发育。唇部齿痕与受损的甲床,都是家长应早期发现的警示信号。
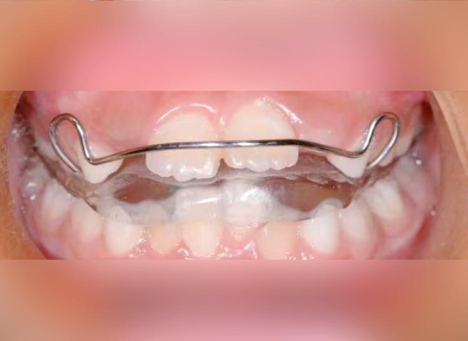
针对雯雯的复杂病情,医院 MDT 诊疗团队制定了「双线并进」的治疗方案:由耳鼻咽喉-头颈外科通过微创手术解决鼻炎及腺样体肥大问题,消除口呼吸根源;口腔科同步定制功能矫治器前导下颌、内收上颌、破除不良习惯,改善已有的上颌前突、下颌后缩畸形,并指导雯雯进行吹气球等唇肌训练。


彭友俭教授介绍,儿童颌骨在发育早期可塑性极强,7 至 9 岁是矫正的黄金年龄,此阶段干预事半功倍。他强调,口呼吸及相关不良习惯(如偏侧咀嚼、咬唇、咬指、吐舌等)是大部分牙颌面畸形的主因,危害远超家长想象。
家长可在家进行简单自查:在孩子熟睡时,将撕成细条的纸巾悬于口前,若纸条飘动则提示口呼吸;观察孩子进食发现偏侧咀嚼引发的大小脸;发现下唇深凹齿痕、指甲短秃伴甲床损伤多为咬唇或咬指所致;吮吸拇指可能导致前牙无法咬合,指关节齿痕是其征兆;吐舌习惯则常伴随吐词不清或下牙牙缝。
「早期识别并干预口腔不良习惯,可有效避免约 70% 的牙颌面畸形发生。」彭友俭教授呼吁,暑期孩子在家时间长,也更有利于适应矫治器,同时便于灵活安排复诊时间。家长应充分抓住暑期这一宝贵时间窗口,如发现孩子存在上述警示信号,务必及时前往正规医疗机构,寻求专业口腔正畸医生的帮助,为孩子的颜值与健康发育保驾护航。
好文章,需要你的鼓励